相关产品推荐更多 >
万千商家帮你免费找货
0 人在求购买到急需产品
- 详细信息
- 文献和实验
- 技术资料
- 库存:
99
- 保质期:
已收到实际货物为准
- 供应商:
北京诺博莱德科技有限公司
- 保存条件:
已收到实际货物为准
详细信息:
| 克隆号 : | EP12 |
| Ig分类 : | 兔IgG |
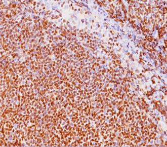
| 适用组织: | 石蜡切片 |
| 阳性部位: | 细胞核 |
| 阳性对照: | 扁桃体 |
| 特异性 : | 此抗体与Cyclin D1特异反应,与其它细胞周期蛋白包括其它D型细胞周期蛋白无交叉反应。 |
| 推荐效价: | •原液使用前应以适当比例稀释 推荐稀释度为1:25~1:50 •工作液不必稀释,直接滴加使用 |
风险提示:丁香通仅作为第三方平台,为商家信息发布提供平台空间。用户咨询产品时请注意保护个人信息及财产安全,合理判断,谨慎选购商品,商家和用户对交易行为负责。对于医疗器械类产品,请先查证核实企业经营资质和医疗器械产品注册证情况。
文献和实验Immunodetection of cyclin D1 and D2/D3 using flow cytometry
that has been kept -20°C. Incubate the cells for at least two hours. Wash once with staining buffer and decant. Add the primary anti-cyclin antibody in a volume of 200 µ l. Incubate overnight at 4°C. Wash twice with cold cyclin staining buffer and add the Cy
Immunodetection of cyclin D1 and D2/D3 using 488/630 nm dual laser flow cytometr(图)
the need for fluorescence compensation. This assay can be used with any instrument employing dual laser excitation, including the B-D Vantage, FACSCalibur and Coulter Elite. Materials Anti-cyclin D1 (Pharmingen cat. no. 14561A, clone G12-4326) or cyclin
Immunodetection of cyclin D1 and D2/D3 using 488/630 nm dual laser flow cytometry
compensation. This assay can be used with any instrument employing dual laser excitation, including the B-D Vantage, FACSCalibur and Coulter Elite. Materials Anti-cyclin D1 (Pharmingen cat. no. 14561A, clone G12-4326) or cyclin D2 /D3 (cat
技术资料暂无技术资料 索取技术资料










