相关产品推荐更多 >
万千商家帮你免费找货
0 人在求购买到急需产品
- 详细信息
- 询价记录
- 文献和实验
- 技术资料
- 库存:
99
- 保质期:
已收到实际货物为准
- 供应商:
北京诺博莱德科技有限公司
- 保存条件:
已收到实际货物为准
详细信息:
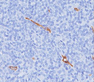
| 克隆号 : | D2-40 |
| Ig分类 : | IgG1 |
| 适用组织: | 冷冻切片/石蜡切片 |
| 阳性部位: | 细胞质 |
| 阳性对照: | 扁桃体 |
| 特异性 : | 此抗体识别存在于胚胎睾丸和睾丸生殖细胞肿瘤中一种分子量为40kDa 的糖蛋白,D2-40还可以与淋巴管内皮反应,但是不与血管内皮反应。 |
| 推荐效价: | •原液使用前应以适当比例稀释 推荐稀释度为1:25~1:50 •工作液不必稀释,直接滴加使用 |
风险提示:丁香通仅作为第三方平台,为商家信息发布提供平台空间。用户咨询产品时请注意保护个人信息及财产安全,合理判断,谨慎选购商品,商家和用户对交易行为负责。对于医疗器械类产品,请先查证核实企业经营资质和医疗器械产品注册证情况。
- 作者
- 内容
- 询问日期
文献和实验Monoclonal Antibody Production
Mouse Immunization Order 6 six week old Balb/C mice and let the ARC know they are coming. Have your antigen ready for when they arrive. Once they get there earmark the mice and perform a pre-bleed on them to be used as an ELISA control
Monoclonal Antibody Production
and screening of the hybridomas: 1. Bleeding Mice (1) Place the mouse in a mouse restrainer. (2) Sterilize the tail with 70% ethanol. (3) With a razor blade,nip off the last 2 mm of the tip of the tail. (4) Using a milking motion,pull blood down and let
Monoclonal Antibody Production Protocol
complete with MCM instead of PCM (= IMDM - m ), and keep it in the incubator for fused cells. Isolation of spleen cells Sacrifice mouse by cervical dislocation. Immerse mouse in 70% Ethanol. Remove spleen ( on the left side ) and transfer into a small
技术资料暂无技术资料 索取技术资料









