相关产品推荐更多 >
万千商家帮你免费找货
0 人在求购买到急需产品
- 详细信息
- 文献和实验
- 技术资料
- 形态:
liquid
- 保存条件:
Store at -20˚C
- 克隆性:
Monoclonal antibody
- 适应物种:
Human
- 保质期:
12 months
- 抗原来源:
Recombinant Rabbit
- 供应商:
南京赛戈巍生物科技有限公司
- 宿主:
Recombinant Rabbit
- 应用范围:
WB,IHC
- 靶点:
Uniprot:Q9UP52
- 抗体英文名:
Transferrin Receptor 2 Rabbit mAb
- 规格:
50ul/100ul
HFE3 antibody
MGC126368 antibody
TFR 2 antibody
TfR2 antibody
TFR2_HUMAN antibody
TFRC 2 antibody
TFRC2 antibody
Transferrin receptor 2 antibody
Transferrin receptor protein 2 antibody
计算分子量:89 kDa
配方:1*TBS (pH7.4), 1%BSA, 40%Glycerol. Preservative: 0.05% Sodium Azide.
应用详情:WB: 1:500-1:2,000
IHC: 1:50-1:200
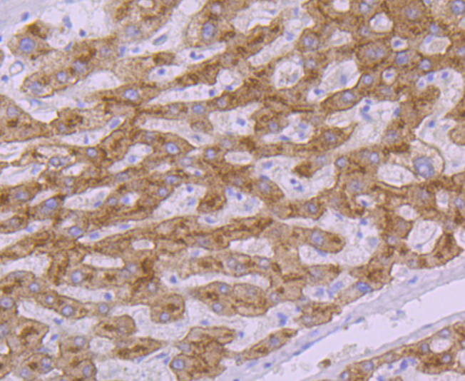
图片:

Western blot analysis of Transferrin Receptor 2 on HepG2 cell using anti-Transferrin Receptor 2 antibody at 1/1,000 dilution.
,

Immunohistochemical analysis of paraffin-embedded human liver tissue using anti-Transferrin Receptor 2 antibody. Counter stained with hematoxylin.
,

Immunohistochemical analysis of paraffin-embedded human liver cancer tissue using anti-Transferrin Receptor 2 antibody. Counter stained with hematoxylin.
风险提示:丁香通仅作为第三方平台,为商家信息发布提供平台空间。用户咨询产品时请注意保护个人信息及财产安全,合理判断,谨慎选购商品,商家和用户对交易行为负责。对于医疗器械类产品,请先查证核实企业经营资质和医疗器械产品注册证情况。
文献和实验Receptor-Mediated Transport of Drugs Across the BBB
receptor-mediated transcytosis or transport (RMT) across the BBB in vivo. Certain peptidomimetic monoclonal antibodies (mAb) for insulin receptor or transferrin receptor can also cross the BBB via RMT on the endogenous receptors. These mAb can act
h)即可。2. 修复大法——不仅仅是「煮一煮」微波炉修复:简单易行效果好,CST 推荐使用微波炉完成修复。合适的修复液:根据抗体说明书使用合适的修复液。用柠檬酸修复后,切片需浸泡在修复液中,自然冷却;而用 EDTA 修复后,切片可直接从修复缸中取出,直接进行下一步。注:使用不同的修复方式和不同生产商的抗体检测人肺癌组织中 EGFR 的表达。第一排为 CST 的 EGF Receptor (D38B1) XP® Rabbit mAb(#4267),EDTA 的修复方式明显优于柠檬酸盐及胃蛋白
secondary antibody review -- data from 99 publications
data
技术资料暂无技术资料 索取技术资料





![SLC4A2 Antibody[45768]](https://img1.dxycdn.com/p/s14/2025/0922/568/0046652811090600791.jpg!wh200)
![UGCG antibody[38820]](https://img1.dxycdn.com/p/s14/2025/0922/359/6146153295428599691.jpg!wh200)
![MZB1 Polyclonal Antibody[28602]](https://img1.dxycdn.com/p/s14/2025/0923/305/2150219664296040791.jpg!wh200)
