相关产品推荐更多 >
万千商家帮你免费找货
0 人在求购买到急需产品
- 详细信息
- 文献和实验
- 技术资料
- 形态:
liquid
- 保存条件:
Store at -20˚C
- 克隆性:
Monoclonal antibody
- 适应物种:
Human;Rat
- 保质期:
12 months
- 抗原来源:
Recombinant Rabbit
- 供应商:
南京赛戈巍生物科技有限公司
- 宿主:
Recombinant Rabbit
- 应用范围:
WB,IHC
- 靶点:
Uniprot:P18858
- 抗体英文名:
DNA Ligase I Rabbit mAb
- 规格:
50ul/100ul
DNA ligase I antibody
DNLI1_HUMAN antibody
LIG 1 antibody
lig1 antibody
Ligase I DNA ATP dependent antibody
MGC117397 antibody
MGC130025 antibody
Polydeoxyribonucleotide synthase [ATP] 1 antibody
计算分子量:Predicted band size 102 kDa
配方:1*TBS (pH7.4), 1%BSA, 40%Glycerol. Preservative: 0.05% Sodium Azide.
应用详情:WB: 1:500
IHC: 1:50-1:200
图片:

Western blot analysis of DNA Ligase I on different cell lysates using anti-DNA Ligase I antibody at 1/500 dilution.
Positive control:
Lane 1: Daudi
Lane 2: A431
Lane 3: MCF-7
,

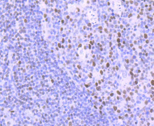
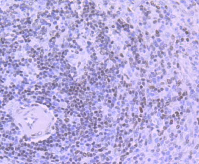
Immunohistochemical analysis of paraffin-embedded human tonsil tissue using anti-DNA Ligase I antibody. Counter stained with hematoxylin.
,

Immunohistochemical analysis of paraffin-embedded human spleen tissue using anti-DNA Ligase I antibody. Counter stained with hematoxylin.
,

Immunohistochemical analysis of paraffin-embedded rat testis tissue using anti-DNA Ligase I antibody. Counter stained with hematoxylin.
风险提示:丁香通仅作为第三方平台,为商家信息发布提供平台空间。用户咨询产品时请注意保护个人信息及财产安全,合理判断,谨慎选购商品,商家和用户对交易行为负责。对于医疗器械类产品,请先查证核实企业经营资质和医疗器械产品注册证情况。
文献和实验到 PVDF 膜上,同时减少蛋白不必要降解,这对于最终获得清晰、可信结果也是需要考虑因素。抗体信息:1.ACC1, Recombinant Rabbit monoclonal IgG. HuaAn. HuaAn biotechnology , inc.2.ATGL, Mouse mAb IgG1, Cat#:RT1058. HuaAn biotechnology , inc.3.p-PERK(Thr981), Rabbit Polyclonal IgG primary antibodies, Cat
实际上将作为阴性对照使用。CST 推荐使用 Histone H3 (D2B12) XP® Rabbit mAb (ChIP Formulated) #4620。该抗体可检测与基因组中所有 DNA 序列结合的所有组蛋白 H3 类型(H3、H3.3、CENP-A)。因此,不管检测的位点活性状态如何,该抗体都能为 ChIP 实验提供通用的阳性对照。 阴性对照 阴性对照抗体(如正常兔 IgG)不能识别特异抗原表位,因此可用于检测非特异性结合。例如,如果阴性对照样品中的产物量等于特异
Studies of the Ubiquitin Proteasome System
Calf intestinal alkaline phosphatase (CIAP; Roche) QIAquick Gel Extraction Kit (Qiagen) T4 DNA ligase kit (Takara) TOP10 chemically competent E. coli strain DH5α (Invitrogen) or other suitable host
技术资料暂无技术资料 索取技术资料





![Goat Anti-Human IgG+IgM+IgA - AF568[L35317]](https://img1.dxycdn.com/p/s14/2025/0922/498/0460884283108299691.jpg!wh200)
![GRP78 / BiP Conjugated Antibody[C27530]](https://img1.dxycdn.com/p/s14/2025/0923/305/2150219664296040791.jpg!wh200)
![IRG1 Conjugated Antibody[C45116]](https://img1.dxycdn.com/p/s14/2025/0923/278/4431488150116040791.jpg!wh200)
