相关产品推荐更多 >
万千商家帮你免费找货
0 人在求购买到急需产品
- 详细信息
- 技术资料
- 免疫原:
Recombinant protein
- 形态:
liquid
- 保存条件:
Store at -20˚C
- 克隆性:
Monoclonal antibody
- 适应物种:
Human
- 保质期:
12 months
- 抗原来源:
Recombinant Rabbit
- 供应商:
南京赛戈巍生物科技有限公司
- 宿主:
Recombinant Rabbit
- 应用范围:
WB,IHC,IP
- 靶点:
Uniprot:P01024
- 抗体英文名:
C3 Rabbit mAb
- 规格:
50ul/100ul
别名:Acylation stimulating protein cleavage product antibody
AHUS5 antibody
ARMD9 antibody
ASP antibody
C3 and PZP like alpha 2 macroglobulin domain containing protein 1 antibody
C3 and PZP-like alpha-2-macroglobulin domain-containing protein 1 antibody
C3 antibody
CO3_HUMAN antibody
Complement C3 antibody
Complement C3c alpha'' chain fragment 2 antibody
Complement component 3 antibody
Complement factor 3 antibody
CPAMD1 antibody
HEL S 62p antibody
计算分子量:187 kDa
配方:1*TBS (pH7.4), 1%BSA, 40%Glycerol. Preservative: 0.05% Sodium Azide.
应用详情:WB: 1:500
IHC: 1:50-1:100
IP: 1:10-1:50
图片:
AHUS5 antibody
ARMD9 antibody
ASP antibody
C3 and PZP like alpha 2 macroglobulin domain containing protein 1 antibody
C3 and PZP-like alpha-2-macroglobulin domain-containing protein 1 antibody
C3 antibody
CO3_HUMAN antibody
Complement C3 antibody
Complement C3c alpha'' chain fragment 2 antibody
Complement component 3 antibody
Complement factor 3 antibody
CPAMD1 antibody
HEL S 62p antibody
计算分子量:187 kDa
配方:1*TBS (pH7.4), 1%BSA, 40%Glycerol. Preservative: 0.05% Sodium Azide.
应用详情:WB: 1:500
IHC: 1:50-1:100
IP: 1:10-1:50
图片:

Western blot analysis of C3 on SiHa cell lysates using anti-C3 antibody at 1/500 dilution.
,

Immunohistochemical analysis of paraffin-embedded human liver tissue using anti-C3 antibody. Counter stained with hematoxylin.
,

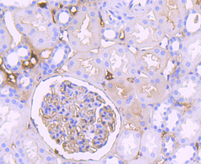
Immunohistochemical analysis of paraffin-embedded human kidney tissue using anti-C3 antibody. Counter stained with hematoxylin.
风险提示:丁香通仅作为第三方平台,为商家信息发布提供平台空间。用户咨询产品时请注意保护个人信息及财产安全,合理判断,谨慎选购商品,商家和用户对交易行为负责。对于医疗器械类产品,请先查证核实企业经营资质和医疗器械产品注册证情况。
技术资料暂无技术资料 索取技术资料
C3 Rabbit mAb[49761]
询价






![XCR1 Antibody[39712]](https://img1.dxycdn.com/p/s14/2025/0922/359/6146153295428599691.jpg!wh200)
![p53 (Acetyl-Lys320) Polyclonal Antibody[HW137]](https://img1.dxycdn.com/p/s14/2025/0922/568/0046652811090600791.jpg!wh200)
![NCBP1 Antibody[46622]](https://img1.dxycdn.com/p/s14/2025/0923/496/0462304380155040791.jpg!wh200)
![PINCH Mouse mAb[64086]](https://img1.dxycdn.com/p/s14/2025/0922/632/2321321568067599691.jpg!wh200)

