相关产品推荐更多 >
万千商家帮你免费找货
0 人在求购买到急需产品
- 详细信息
- 文献和实验
- 技术资料
- 免疫原:
Recombinant protein
- 形态:
liquid
- 保存条件:
Store at -20˚C
- 克隆性:
Monoclonal antibody
- 适应物种:
Human
- 保质期:
12 months
- 抗原来源:
Recombinant Rabbit
- 供应商:
南京赛戈巍生物科技有限公司
- 宿主:
Recombinant Rabbit
- 应用范围:
WB,ICC,IHC
- 靶点:
Uniprot:P78552
- 抗体英文名:
IL13 Receptor alpha 1 Rabbit mAb
- 规格:
50ul/100ul
Cancer/testis antigen 19 antibody
CD213a1 antibody
CD213A1 Antigen antibody
CT 19 antibody
CT19 antibody
I13R1_HUMAN antibody
IL 13 receptor subunit alpha 1 antibody
IL 13R alpha 1 antibody
IL 13R subunit alpha 1 antibody
IL 13Ra antibody
IL 13RA1 antibody
IL-13 receptor subunit alpha-1 antibody
IL-13R subunit alpha-1 antibody
IL-13R-alpha-1 antibody
IL-13RA1 antibody
IL13 receptor alpha 1 chain antibody
IL13R antibody
IL13RA antibody
Il13ra1 antibody
Interleukin 13 receptor alpha 1 antibody
Interleukin 13 receptor alpha 1 chain antibody
interleukin 13 receptor subunit alpha 1 antibody
Interleukin-13 receptor subunit alpha-1 antibody
NR 4 antibody
NR4 antibody
计算分子量:50/40 kDa
配方:1*TBS (pH7.4), 1%BSA, 40%Glycerol. Preservative: 0.05% Sodium Azide.
应用详情:WB: 1:500-1:2,000
IHC: 1:50-1:200
ICC: 1:100-1:500
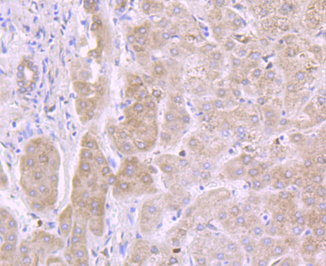
图片:

Western blot analysis of IL13 Receptor alpha 1 on A549 cell lysates using anti-IL13 Receptor alpha 1 antibody at 1/500 dilution.
,

Immunohistochemical analysis of paraffin-embedded human liver tissue using anti-IL13 Receptor alpha 1 antibody. Counter stained with hematoxylin.
,

ICC staining IL13 Receptor alpha 1 in HepG2 cells (green). The nuclear counter stain is DAPI (blue). Cells were fixed in paraformaldehyde, permeabilised with 0.25% Triton X100/PBS.
风险提示:丁香通仅作为第三方平台,为商家信息发布提供平台空间。用户咨询产品时请注意保护个人信息及财产安全,合理判断,谨慎选购商品,商家和用户对交易行为负责。对于医疗器械类产品,请先查证核实企业经营资质和医疗器械产品注册证情况。
文献和实验h)即可。2. 修复大法——不仅仅是「煮一煮」微波炉修复:简单易行效果好,CST 推荐使用微波炉完成修复。合适的修复液:根据抗体说明书使用合适的修复液。用柠檬酸修复后,切片需浸泡在修复液中,自然冷却;而用 EDTA 修复后,切片可直接从修复缸中取出,直接进行下一步。注:使用不同的修复方式和不同生产商的抗体检测人肺癌组织中 EGFR 的表达。第一排为 CST 的 EGF Receptor (D38B1) XP® Rabbit mAb(#4267),EDTA 的修复方式明显优于柠檬酸盐及胃蛋白
gi|165715|gb|M14577.1|RABTCBCA1 Rabbit T-cell receptor germ... 22 36 gi|632491|gb|U15514.1|OCU15514 Oryctolagus cuniculus smooth... 22 36 gi|165082|gb|K03256.1|RABHBBB1B1 Rabbit beta1-globin gene (... 22 36 gi|165065|gb|J00664.1|RABHBB4 rabbit
PriCells: Introduction of Isolation and Culture of Human Alveolar Epithelial Cells
and some ethical issues pertaining to use of human tissues in certain countries, most studies were based on isolation and culture of cells from the lungs of small laboratory animals including mouse, rat, and rabbit. However, not much information on species
技术资料暂无技术资料 索取技术资料





![CBX5 Conjugated Antibody[C31049]](https://img1.dxycdn.com/p/s14/2025/0923/278/4431488150116040791.jpg!wh200)
![Cdx1 Conjugated Antibody[C49939]](https://img1.dxycdn.com/p/s14/2025/0923/305/2150219664296040791.jpg!wh200)
![Phospho-NDRG1 (Thr346) Polyclonal Antibody Biotin Conjugated[C91934Bio]](https://img1.dxycdn.com/p/s14/2025/0922/498/0460884283108299691.jpg!wh200)
![STK16 Antibody[40341]](https://img1.dxycdn.com/p/s14/2025/0922/568/0046652811090600791.jpg!wh200)
