相关产品推荐更多 >
万千商家帮你免费找货
0 人在求购买到急需产品
- 详细信息
- 文献和实验
- 技术资料
- 免疫原:
recombinant protein
- 形态:
liquid
- 保存条件:
Store at -20˚C
- 克隆性:
Monoclonal antibody
- 适应物种:
Hu, Ms,Rt
- 保质期:
12 months
- 抗原来源:
Recombinant Rabbit
- 供应商:
南京赛戈巍生物科技有限公司
- 宿主:
Recombinant Rabbit
- 应用范围:
WB, ICC, IHC, FC
- 靶点:
Uniprot:P09651
- 抗体英文名:
hnRNP A1 Rabbit mAb
- 规格:
50ul/100ul
Helix destabilizing protein antibody
Helix-destabilizing protein antibody
Heterogeneous nuclear ribonucleoprotein A1 antibody
Heterogeneous nuclear ribonucleoprotein A1B protein antibody
Heterogeneous nuclear ribonucleoprotein B2 protein antibody
Heterogeneous nuclear ribonucleoprotein core protein A1 antibody
hnRNP A1 antibody
hnRNP core protein A1 antibody
HNRNPA1 antibody
HNRPA1 antibody
MGC102835 antibody
Nuclear ribonucleoprotein particle A1 protein antibody
ROA1_HUMAN antibody
Single strand DNA binding protein UP1 antibody
Single strand RNA binding protein antibody
Single-strand RNA-binding protein antibody
计算分子量:33 kDa
配方:1*TBS (pH7.4), 1%BSA, 40%Glycerol. Preservative: 0.05% Sodium Azide.
应用详情:WB: 1:500-1:2,000
ICC: 1:50-1:200
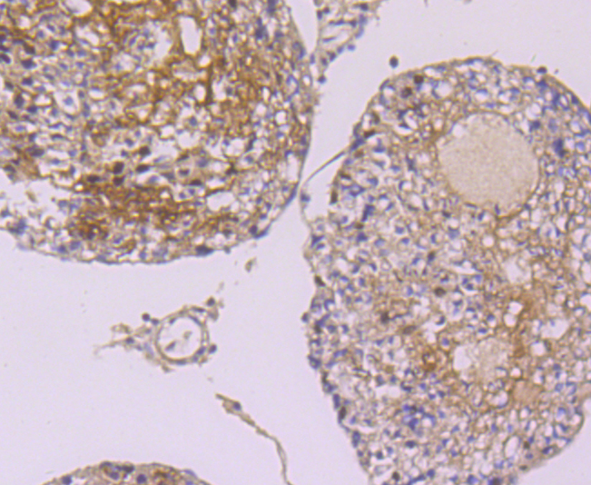
图片:

Western blot analysis of hnRNP A1 on HepG2 (1) and PC-12 (2) cell using anti-hnRNP A1 antibody at 1/1,000 dilution.
,

Immunohistochemical analysis of paraffin-embedded rat testis tissue using anti-hnRNP A1 antibody. Counter stained with hematoxylin.
,

ICC staining hnRNP A1 in MCF-7 cells (green). The nuclear counter stain is DAPI (blue). Cells were fixed in paraformaldehyde, permeabilised with 0.25% Triton X100/PBS.
,

ICC staining hnRNP A1 in Hela cells (green). The nuclear counter stain is DAPI (blue). Cells were fixed in paraformaldehyde, permeabilised with 0.25% Triton X100/PBS.
,

ICC staining hnRNP A1 in HepG2 cells (green). The nuclear counter stain is DAPI (blue). Cells were fixed in paraformaldehyde, permeabilised with 0.25% Triton X100/PBS.
,

Flow cytometric analysis of Jurkat cells with hnRNP A1 antibody at 1/100 dilution (red) compared with an unlabelled control (cells without incubation with primary antibody; black).
风险提示:丁香通仅作为第三方平台,为商家信息发布提供平台空间。用户咨询产品时请注意保护个人信息及财产安全,合理判断,谨慎选购商品,商家和用户对交易行为负责。对于医疗器械类产品,请先查证核实企业经营资质和医疗器械产品注册证情况。
文献和实验:使用 Anti-phospho-Akt (Ser473) Rabbit mAb 对石蜡包埋的人乳腺癌组织进行免疫组织化学分析。(图 A)使用免疫组化试剂盒M&R HRP/DAB Detection IHC Kit,抗体 1:100 稀释;(图 B) 采用普通免疫组化试剂盒,抗体 1:25 稀释。 图 6 免疫组化实验检测 Erk1/2 表达 注:使用 Anti-Erk1/2 Mouse mAb与p44/42 MAPK (Erk1/2)Rabbit mAb 对正常小鼠心脏组织进行免疫
h)即可。2. 修复大法——不仅仅是「煮一煮」微波炉修复:简单易行效果好,CST 推荐使用微波炉完成修复。合适的修复液:根据抗体说明书使用合适的修复液。用柠檬酸修复后,切片需浸泡在修复液中,自然冷却;而用 EDTA 修复后,切片可直接从修复缸中取出,直接进行下一步。注:使用不同的修复方式和不同生产商的抗体检测人肺癌组织中 EGFR 的表达。第一排为 CST 的 EGF Receptor (D38B1) XP® Rabbit mAb(#4267),EDTA 的修复方式明显优于柠檬酸盐及胃蛋白
. In the first section of this chapter, we describe a method for the detection of mRNA subsets associated with RNA-binding proteins such as hnRNP A1 using (1) immunopurification of mRNA-protein complexes, from either whole cell lysates or subcellular fractions
技术资料暂无技术资料 索取技术资料





![Histone H4 (Mono Methyl Lys79) Polyclonal Conjugated Antibody[CHW191]](https://img1.dxycdn.com/p/s14/2025/0923/305/2150219664296040791.jpg!wh200)

