相关产品推荐更多 >
万千商家帮你免费找货
0 人在求购买到急需产品
- 详细信息
- 文献和实验
- 技术资料
- 免疫原:
recombinant protein
- 形态:
liquid
- 保存条件:
Store at -20˚C
- 克隆性:
Monoclonal antibody
- 适应物种:
Human
- 保质期:
12 months
- 抗原来源:
Recombinant Rabbit
- 供应商:
南京赛戈巍生物科技有限公司
- 宿主:
Recombinant Rabbit
- 应用范围:
WB, IHC
- 靶点:
Uniprot:P06858
- 抗体英文名:
Lipoprotein lipase Rabbit mAb
- 规格:
50ul/100ul
EC 3.1.1.34 antibody
HDLCQ11 antibody
LIPD antibody
LIPL_HUMAN antibody
Lipoprotein lipase antibody
LPL antibody
LPL protein antibody
MGC137861 antibody
计算分子量:53 kDa
配方:1*TBS (pH7.4), 1%BSA, 40%Glycerol. Preservative: 0.05% Sodium Azide.
应用详情:WB: 1:500-1:1,000
IHC: 1:50-1:200
图片:

Western blot analysis of Lipoprotein lipase on human placenta tissue lysate using anti-Lipoprotein lipase antibody at 1/1,000 dilution.
,

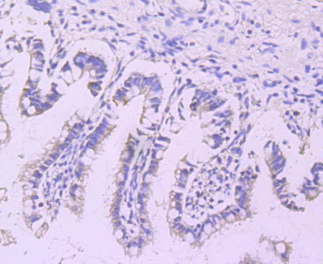
Immunohistochemical analysis of paraffin-embedded human ileum tissue using anti-Lipoprotein lipase antibody. Counter stained with hematoxylin.
,

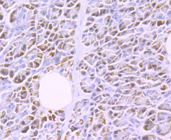
Immunohistochemical analysis of paraffin-embedded human pancreas tissue using anti-Lipoprotein lipase antibody. Counter stained with hematoxylin.
风险提示:丁香通仅作为第三方平台,为商家信息发布提供平台空间。用户咨询产品时请注意保护个人信息及财产安全,合理判断,谨慎选购商品,商家和用户对交易行为负责。对于医疗器械类产品,请先查证核实企业经营资质和医疗器械产品注册证情况。
文献和实验Detecting Ligands Interacting with Lipoprotein Lipase
The primary role for lipoprotein lipase (LPL) is hydrolysis of triglycerides in chylomicrons and very low density lipoproteins (VLDL). This enzyme has also been implicated in the process of atherogenesis (for reviews see refs
In Vitro Transcription and Translation of Lipoprotein Lipase
LPL is regulated post-transcriptionally in response to several hormones. Post-translational regulation occurs in response to feeding (1 ,2 ). Glycosylation of LPL at the first N-linked glycosylation site is essential for catalytic activity
Determining Lipoprotein Lipase and Hepatic Lipase Activity Using Radiolabeled Substrates
Hepatic lipase (HL) and lipoprotein lipase (LPL) are two lipolytic enzymes that play an important role in the metabolism of circulating lipoproteins. Both enzymes catalyze the esterolysis of fatty acids present at the sn -1 (3) position
技术资料暂无技术资料 索取技术资料





![ATG12 Rabbit mAb[52150]](https://img1.dxycdn.com/p/s14/2025/0922/498/0460884283108299691.jpg!wh200)
![AJUBA Conjugated Antibody[C30335]](https://img1.dxycdn.com/p/s14/2025/0923/305/2150219664296040791.jpg!wh200)
![SorLA Rabbit mAb[56560]](https://img1.dxycdn.com/p/s14/2025/0922/632/2321321568067599691.jpg!wh200)
