相关产品推荐更多 >
万千商家帮你免费找货
0 人在求购买到急需产品
- 详细信息
- 文献和实验
- 技术资料
- 免疫原:
recombinant protein
- 形态:
liquid
- 保存条件:
Store at -20˚C
- 克隆性:
Monoclonal antibody
- 适应物种:
Human;Mouse;Rat
- 保质期:
12 months
- 抗原来源:
Recombinant Rabbit
- 供应商:
南京赛戈巍生物科技有限公司
- 宿主:
Recombinant Rabbit
- 应用范围:
WB, ICC/IF, IHC, IP, FC
- 靶点:
Uniprot:P13807
- 抗体英文名:
Glycogen synthase Rabbit mAb
- 规格:
50ul/100ul
Glycogen synthase 1 (muscle) antibody
Glycogen synthase 1 antibody
GSY antibody
GYS antibody
Gys1 antibody
GYS1_HUMAN antibody
muscle antibody
计算分子量:84 kDa
配方:1*TBS (pH7.4), 1%BSA, 40%Glycerol. Preservative: 0.05% Sodium Azide.
应用详情:WB: 1:1,000
IHC: 1:50-1:200
ICC: 1:50-1:200
FC: 1:50-1:100
图片:

Western blot analysis of Glycogen synthase on Hela lysates using anti- Glycogen synthase antibody at 1/1,000 dilution.
,

Immunohistochemical analysis of paraffin-embedded mouse skeletal muscle tissue using anti-Glycogen synthase antibody. Counter stained with hematoxylin.
,

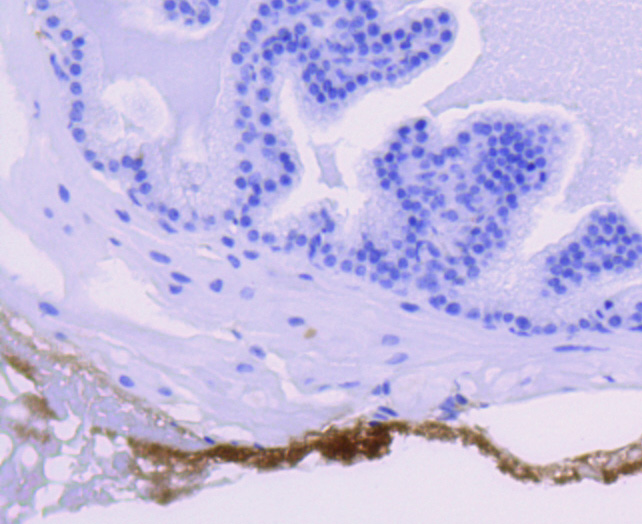
Immunohistochemical analysis of paraffin-embedded mouse prostate tissue using anti-Glycogen synthase antibody. Counter stained with hematoxylin.
,

ICC staining Glycogen synthase in PC-3M cells (green). The nuclear counter stain is DAPI (blue). Cells were fixed in paraformaldehyde, permeabilised with 0.25% Triton X100/PBS.
,

ICC staining Glycogen synthase in Hela cells (green). The nuclear counter stain is DAPI (blue). Cells were fixed in paraformaldehyde, permeabilised with 0.25% Triton X100/PBS.
,

ICC staining Glycogen synthase in NIH-3T3 cells (green). The nuclear counter stain is DAPI (blue). Cells were fixed in paraformaldehyde, permeabilised with 0.25% Triton X100/PBS.
,

Flow cytometric analysis of 293 cells with Glycogen synthase antibody at 1/50 dilution (red) compared with an unlabelled control (cells without incubation with primary antibody; black). Alexa Fluor 488-conjugated goat anti rabbit IgG was used as the secondary antibody.
风险提示:丁香通仅作为第三方平台,为商家信息发布提供平台空间。用户咨询产品时请注意保护个人信息及财产安全,合理判断,谨慎选购商品,商家和用户对交易行为负责。对于医疗器械类产品,请先查证核实企业经营资质和医疗器械产品注册证情况。
文献和实验Glycogen Synthase Kinase-3 in Neurological Diseases
Glycogen synthase kinase-3 (GSK-3) occupies an unusual niche in cellular regulation via its negative regulation of a series of important cellular target proteins coupled with its own sensitivity to several major signaling
Measurement of Glycogen Synthesis and Glycogen Synthase Activity in 3T3-L1 Adipocytes
also promotes the dephosphorylation and activation of glycogen synthase, which incorporates UDP-glucose into glycogen chains.
从 UDP葡萄糖把葡萄糖单位转移到直链的α( 1→ 4)葡聚糖上而合成糖原的酶, EC 2. 4. 1. 11。△ G0 ′ =-3千卡。糖原的α -( 1→ 6)键的生成由别种酶——糖原枝化酶进行。此酶的磷酸化型( D型,非活化)与磷酸化型(Ⅰ型,活化)之间的相互转换是酶催化的, D型酶是为 6-磷酸葡萄糖活化的变构酶。
技术资料暂无技术资料 索取技术资料





![AKT1 Antibody[48488]](https://img1.dxycdn.com/p/s14/2025/0923/496/0462304380155040791.jpg!wh200)
![TEK Antibody[37274]](https://img1.dxycdn.com/p/s14/2025/0922/359/6146153295428599691.jpg!wh200)

![TNFSF13B Conjugated Antibody[C33095]](https://img1.dxycdn.com/p/s14/2025/0923/278/4431488150116040791.jpg!wh200)
![CD56 Polyclonal Antibody Biotin Conjugated[C90322Bio]](https://img1.dxycdn.com/p/s14/2025/0922/498/0460884283108299691.jpg!wh200)
