相关产品推荐更多 >
万千商家帮你免费找货
0 人在求购买到急需产品
- 详细信息
- 文献和实验
- 技术资料
- 免疫原:
recombinant protein
- 形态:
liquid
- 保存条件:
Store at -20˚C
- 克隆性:
Monoclonal antibody
- 适应物种:
Human;Mouse;Rat;Zebrafish
- 保质期:
12 months
- 抗原来源:
Recombinant Rabbit
- 供应商:
南京赛戈巍生物科技有限公司
- 宿主:
Recombinant Rabbit
- 应用范围:
WB, ICC, IHC, IP
- 靶点:
Uniprot:P62714
- 抗体英文名:
PP2A alpha + beta Rabbit mAb
- 规格:
50ul/100ul
PP2A alpha antibody
PP2A B antibody
PP2A beta antibody
PP2A-alpha antibody
PP2AA_HUMAN antibody
PP2Ac antibody
PP2CB antibody
PPP2CA antibody
PPP2CB antibody
Protein phosphatase 2 catalytic subunit alpha isoform antibody
Protein phosphatase 2 catalytic subunit beta isoform antibody
Replication protein C antibody
RP C antibody
RP-C antibody
Serine/threonine protein phosphatase 2A catalytic subunit alpha isoform antibody
Serine/threonine protein phosphatase 2A catalytic subunit beta isoform antibody
Serine/threonine-protein phosphatase 2A catalytic subunit alpha isoform antibody
计算分子量:36 kDa
配方:1*TBS (pH7.4), 1%BSA, 40%Glycerol. Preservative: 0.05% Sodium Azide.
应用详情:WB: 1:1,000-1:2,000
IHC: 1:100-1:200
ICC: 1:50-1:200
图片:

Western blot analysis of PP2A alpha + beta on different lysates using anti-PP2A alpha + beta antibody at 1/1,000 dilution. Positive control:
Lane 1: A431
Lane 2: NIH/3T3
Lane 3: 293T
,

Western blot analysis of PP2A alpha + beta on hybrid fish (crucian-carp) brain tissue lysate using anti-PP2A alpha + beta antibody at 1/500 dilution.
,

Immunohistochemical analysis of paraffin-embedded mouse stomach tissue using anti-PP2A alpha + beta antibody. Counter stained with hematoxylin.
,

Immunohistochemical analysis of paraffin-embedded mouse heart tissue using anti-PP2A alpha + beta antibody. Counter stained with hematoxylin.
,

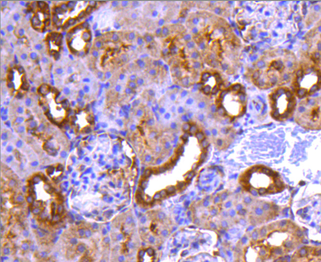
Immunohistochemical analysis of paraffin-embedded rat kidney tissue using anti-PP2A alpha + beta antibody. Counter stained with hematoxylin.
,

Immunohistochemical analysis of paraffin-embedded human tonsil tissue using anti-PP2A alpha + beta antibody. Counter stained with hematoxylin.
,

Immunohistochemical analysis of paraffin-embedded human pancreas tissue using anti-PP2A alpha + beta antibody. Counter stained with hematoxylin.
,

Immunohistochemical analysis of paraffin-embedded mouse brain tissue using anti-PP2A alpha + beta antibody. Counter stained with hematoxylin.
,

ICC staining PP2A alpha + beta in PANC-1 cells (green). The nuclear counter stain is DAPI (blue). Cells were fixed in paraformaldehyde, permeabilised with 0.25% Triton X100/PBS.
,

ICC staining PP2A alpha + beta in Hela cells (green). The nuclear counter stain is DAPI (blue). Cells were fixed in paraformaldehyde, permeabilised with 0.25% Triton X100/PBS.
,

ICC staining PP2A alpha + beta in 293 cells (green). The nuclear counter stain is DAPI (blue). Cells were fixed in paraformaldehyde, permeabilised with 0.25% Triton X100/PBS.
,

ICC staining PP2A alpha + beta in L6 cells (green). The nuclear counter stain is DAPI (blue). Cells were fixed in paraformaldehyde, permeabilised with 0.25% Triton X100/PBS.
风险提示:丁香通仅作为第三方平台,为商家信息发布提供平台空间。用户咨询产品时请注意保护个人信息及财产安全,合理判断,谨慎选购商品,商家和用户对交易行为负责。对于医疗器械类产品,请先查证核实企业经营资质和医疗器械产品注册证情况。
文献和实验for Ca2+-ATPase 28 0.58 gi|510177|emb|Z34886.1|OCHEAMYO1 O.cuniculus mRNA for beta ... 28 0.58 gi|165536|gb|K02444.1|RABMYSBC Rabbit cardiac beta-myosin h... 28 0.58 gi|164738|gb|J04703.1|RABACATP Rabbit smooth muscle sarco(e... 28 0.58 gi|37574168|gb
Protocol for intracytoplasmic staining of cytokines for FACS analysis
; Pharmingen 18195A) for FL2 anti-IL10 (JES5.16E3-PE; Pharmingen 18435A) for FL1 anti-TGF-beta (rabbit anti pan TGF-beta; R&D Systems AB-100-NA home made FITC conjugate) for FL2 8) Wash extensively in saponin buffer followed by PBS + 0.1% azide
v468. chapter 4 WNT 细胞通路 检测细胞GSK3活性与表达水平
and beta isoforms in patients with NIDDM. Diabetologia 40, 940–946. 3. Shaw, P. C., Davies, A. F., Lau, K. F., Garcia-Barcelo, M., Waye, M. M., Lovestone, S., et al. (1998) Isolation and chromosomal mapping of human glycogen synthase kinase-3 alpha
技术资料暂无技术资料 索取技术资料





![CD27 Mouse mAb[63322]](https://img1.dxycdn.com/p/s14/2025/0922/632/2321321568067599691.jpg!wh200)
![BEX1 Antibody[46345]](https://img1.dxycdn.com/p/s14/2025/0923/496/0462304380155040791.jpg!wh200)
![PDE11A Polyclonal Antibody[29737]](https://img1.dxycdn.com/p/s14/2025/0923/305/2150219664296040791.jpg!wh200)
![BNIP3 Conjugated Antibody[C36224]](https://img1.dxycdn.com/p/s14/2025/0923/278/4431488150116040791.jpg!wh200)
