相关产品推荐更多 >
万千商家帮你免费找货
0 人在求购买到急需产品
- 详细信息
- 文献和实验
- 技术资料
- 免疫原:
recombinant protein
- 形态:
liquid
- 保存条件:
Store at -20˚C
- 克隆性:
Monoclonal antibody
- 适应物种:
Human;Mouse;Rat;Zebrafish
- 保质期:
12 months
- 抗原来源:
Recombinant Rabbit
- 供应商:
南京赛戈巍生物科技有限公司
- 宿主:
Recombinant Rabbit
- 应用范围:
WB, IHC, IP
- 靶点:
Uniprot:P07550
- 抗体英文名:
beta 2 Adrenergic Receptor Rabbit mAb
- 规格:
50ul/100ul
ADRB2_HUMAN antibody
ADRB2R antibody
ADRBR antibody
Adrenergic beta 2 receptor surface antibody
Adrenoceptor beta 2 surface antibody
B2AR antibody
BAR antibody
beta 2 adrenoceptor antibody
Beta 2 adrenoreceptor antibody
Beta-2 adrenergic receptor antibody
Beta-2 adrenoceptor antibody
Beta-2 adrenoreceptor antibody
BETA2AR antibody
Catecholamine receptor antibody
OTTHUMP00000160386 antibody
计算分子量:60 kDa
配方:1*TBS (pH7.4), 1%BSA, 40%Glycerol. Preservative: 0.05% Sodium Azide.
应用详情:WB: 1:1,000-5,000
IHC: 1:50-1:200
图片:

Western blot analysis of ADRB2 on zebrafish lysates using anti-ADRB2 antibody at 1/1,000 dilution.
,

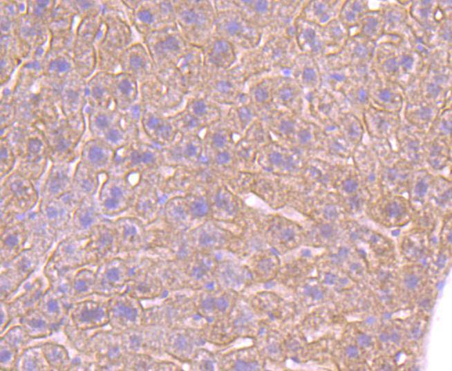
Immunohistochemical analysis of paraffin-embedded mouse liver tissue using anti-ADRB2 antibody. Counter stained with hematoxylin.
,

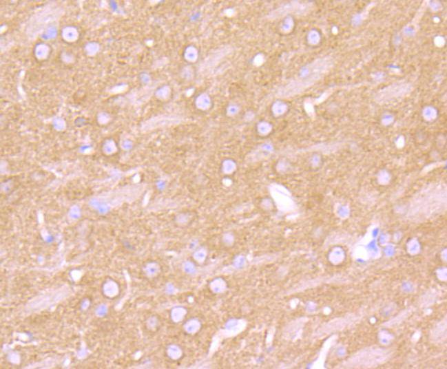
Immunohistochemical analysis of paraffin-embedded mouse brain tissue using anti-ADRB2 antibody. Counter stained with hematoxylin.
风险提示:丁香通仅作为第三方平台,为商家信息发布提供平台空间。用户咨询产品时请注意保护个人信息及财产安全,合理判断,谨慎选购商品,商家和用户对交易行为负责。对于医疗器械类产品,请先查证核实企业经营资质和医疗器械产品注册证情况。
文献和实验Overview of Receptor Allosterism
Ehlert, F.J. 1985. The relationship between muscarinic receptor occupancy and adenylate cyclase inhibition in the rabbit myocardium. Mol. Pharmacol. 28:410‐421.
h)即可。2. 修复大法——不仅仅是「煮一煮」微波炉修复:简单易行效果好,CST 推荐使用微波炉完成修复。合适的修复液:根据抗体说明书使用合适的修复液。用柠檬酸修复后,切片需浸泡在修复液中,自然冷却;而用 EDTA 修复后,切片可直接从修复缸中取出,直接进行下一步。注:使用不同的修复方式和不同生产商的抗体检测人肺癌组织中 EGFR 的表达。第一排为 CST 的 EGF Receptor (D38B1) XP® Rabbit mAb(#4267),EDTA 的修复方式明显优于柠檬酸盐及胃蛋白
gi|165715|gb|M14577.1|RABTCBCA1 Rabbit T-cell receptor germ... 22 36 gi|632491|gb|U15514.1|OCU15514 Oryctolagus cuniculus smooth... 22 36 gi|165082|gb|K03256.1|RABHBBB1B1 Rabbit beta1-globin gene (... 22 36 gi|165065|gb|J00664.1|RABHBB4 rabbit
技术资料暂无技术资料 索取技术资料





![ELL2 Antibody[44683]](https://img1.dxycdn.com/p/s14/2025/0922/568/0046652811090600791.jpg!wh200)
![CELSR2 Antibody[37302]](https://img1.dxycdn.com/p/s14/2025/0922/359/6146153295428599691.jpg!wh200)
![DTX2 Conjugated Antibody[C35711]](https://img1.dxycdn.com/p/s14/2025/0923/278/4431488150116040791.jpg!wh200)
![CDK17 Conjugated Antibody[C28695]](https://img1.dxycdn.com/p/s14/2025/0923/305/2150219664296040791.jpg!wh200)
