相关产品推荐更多 >
万千商家帮你免费找货
0 人在求购买到急需产品
- 详细信息
- 文献和实验
- 技术资料
- 免疫原:
recombinant protein
- 形态:
liquid
- 保存条件:
Store at -20˚C
- 克隆性:
Monoclonal antibody
- 适应物种:
Human;Rat
- 保质期:
12 months
- 抗原来源:
Recombinant Rabbit
- 供应商:
南京赛戈巍生物科技有限公司
- 宿主:
Recombinant Rabbit
- 应用范围:
WB, ICC/IF, IHC, FC
- 靶点:
Uniprot:P00441
- 抗体英文名:
Superoxide Dismutase 1 Rabbit mAb
- 规格:
50ul/100ul
ALS1 antibody
Amyotrophic lateral sclerosis 1 adult antibody
Cu/Zn SOD antibody
Cu/Zn superoxide dismutase antibody
Epididymis secretory protein Li 44 antibody
HEL S 44 antibody
Homodimer antibody
hSod1 antibody
Indophenoloxidase A antibody
IPOA antibody
Mn superoxide dismutase antibody
SOD antibody
SOD soluble antibody
SOD1 antibody
SOD2 antibody
SODC antibody
SODC_HUMAN antibody
Superoxide dismutase [Cu-Zn] antibody
Superoxide dismutase 1 antibody
Superoxide dismutase 1 soluble antibody
Superoxide dismutase Cu Zn antibody
Superoxide dismutase cystolic antibody
计算分子量:16 kDa
配方:1*TBS (pH7.4), 1%BSA, 40%Glycerol. Preservative: 0.05% Sodium Azide.
应用详情:WB: 1:1,000-1:2,000
IHC: 1:50-1:200
ICC: 1:50-1:200
FC: 1:50-1:100
图片:

Western blot analysis of SOD1 on MCF-7 cells lysates using anti-SOD1 antibody at 1/1,000 dilution.
,

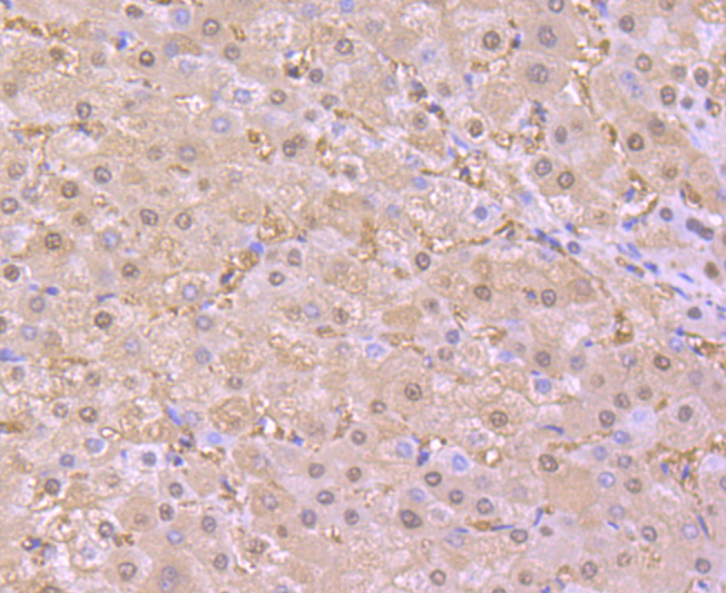
Immunohistochemical analysis of paraffin-embedded human liver tissue using anti-SOD1 antibody. Counter stained with hematoxylin.
,

Immunohistochemical analysis of paraffin-embedded human breast carcinoma tissue using anti-SOD1 antibody. Counter stained with hematoxylin.
,

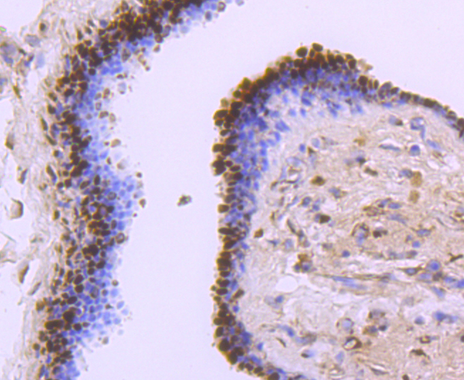
Immunohistochemical analysis of paraffin-embedded rat brain tissue using anti-SOD1 antibody. Counter stained with hematoxylin.
,

ICC staining SOD1 in Hela cells (red). The nuclear counter stain is DAPI (blue). Cells were fixed in paraformaldehyde, permeabilised with 0.25% Triton X100/PBS.
,

ICC staining SOD1 in HepG2 cells (red). The nuclear counter stain is DAPI (blue). Cells were fixed in paraformaldehyde, permeabilised with 0.25% Triton X100/PBS.
,

ICC staining SOD1 in 293T cells (red). The nuclear counter stain is DAPI (blue). Cells were fixed in paraformaldehyde, permeabilised with 0.25% Triton X100/PBS.
,

Flow cytometric analysis of Jurkat cells with SOD1 antibody at 1/50 dilution (red) compared with an unlabelled control (cells without incubation with primary antibody; black). Alexa Fluor 488-conjugated goat anti rabbit IgG was used as the secondary antibody.
风险提示:丁香通仅作为第三方平台,为商家信息发布提供平台空间。用户咨询产品时请注意保护个人信息及财产安全,合理判断,谨慎选购商品,商家和用户对交易行为负责。对于医疗器械类产品,请先查证核实企业经营资质和医疗器械产品注册证情况。
文献和实验Analysis of Oxidative Modification of Proteins
tyrosine nitration catalyzed by superoxide dismutase. Arch. Biochem. Biophys. 298:431‐437. Kim, E., Lowenson, J.D., MacLaren, D.C., Clarke, S., and Young, S.G. 1997. Deficiency
技术资料暂无技术资料 索取技术资料





![LAT Conjugated Antibody[C43949]](https://img1.dxycdn.com/p/s14/2025/0923/278/4431488150116040791.jpg!wh200)
![ELMO2 Antibody[47754]](https://img1.dxycdn.com/p/s14/2025/0923/496/0462304380155040791.jpg!wh200)

![MKL1 Antibody[34018]](https://img1.dxycdn.com/p/s14/2025/0922/359/6146153295428599691.jpg!wh200)
