相关产品推荐更多 >
万千商家帮你免费找货
0 人在求购买到急需产品
- 详细信息
- 文献和实验
- 技术资料
- 免疫原:
recombinant protein
- 形态:
liquid
- 保存条件:
Store at -20˚C
- 克隆性:
Monoclonal antibody
- 适应物种:
Human;Rat
- 保质期:
12 months
- 抗原来源:
Recombinant Rabbit
- 供应商:
南京赛戈巍生物科技有限公司
- 宿主:
Recombinant Rabbit
- 应用范围:
WB, IHC
- 靶点:
Uniprot:O14745
- 抗体英文名:
EBP50 Rabbit mAb
- 规格:
50ul/100ul
EBP50 antibody
Ezrin radixin moesin binding phosphoprotein 50 antibody
Ezrin-radixin-moesin-binding phosphoprotein 50 antibody
Na(+)/H(+) exchange regulatory cofactor NHE RF antibody
Na(+)/H(+) exchange regulatory cofactor NHE-RF1 antibody
Na+/H+ exchange regulatory co factor antibody
NHERF 1 antibody
NHERF antibody
NHERF-1 antibody
NHERF1 antibody
NHRF1_HUMAN antibody
NPHLOP2 antibody
Regulatory cofactor of Na(+)/H(+) exchanger antibody
Slc9a3r1 antibody
Sodium hydrogen exchanger regulatory factor 1 antibody
Sodium-hydrogen exchanger regulatory factor 1 antibody
Sodium/hydrogen exchanger regulatory factor 1 antibody
Solute carrier family 9 (sodium/hydrogen exchanger) member 3 regulator 1 antibody
Solute carrier family 9 (sodium/hydrogen exchanger), isoform 3 regulatory factor 1 antibody
Solute carrier family 9 isoform 3 regulatory factor 1 antibody
Solute carrier family 9 isoform A3 regulatory factor 1 antibody
Solute carrier family 9 member 3 regulator 1 antibody
计算分子量:50 kDa
配方:1*TBS (pH7.4), 1%BSA, 40%Glycerol. Preservative: 0.05% Sodium Azide.
应用详情:WB: 1:1,000-1:2,000
IHC: 1:50-1:200
图片:

Western blot analysis of EBP50 on MCF-7 cells lysates using anti-EBP50 antibody at 1/1,000 dilution.
,

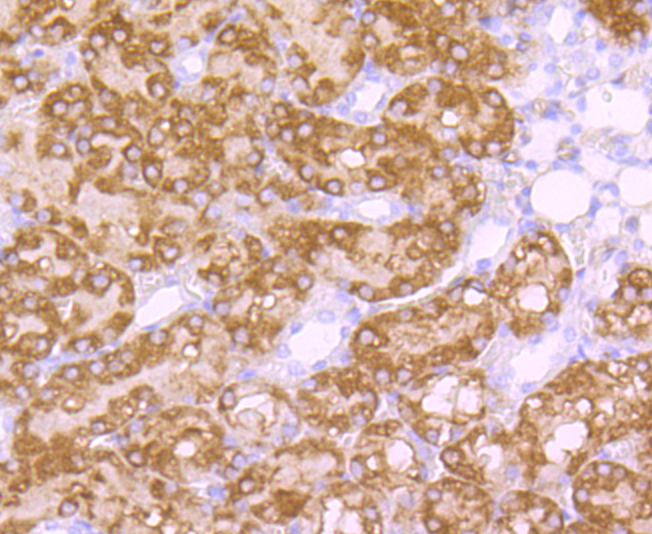
Immunohistochemical analysis of paraffin-embedded rat kidney tissue using anti-EBP50 antibody. Counter stained with hematoxylin.
,

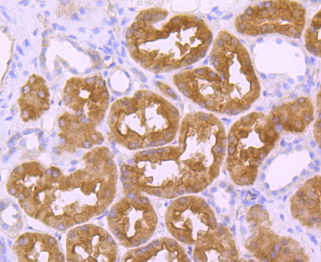
Immunohistochemical analysis of paraffin-embedded human kidney tissue using anti-EBP50 antibody. Counter stained with hematoxylin.
风险提示:丁香通仅作为第三方平台,为商家信息发布提供平台空间。用户咨询产品时请注意保护个人信息及财产安全,合理判断,谨慎选购商品,商家和用户对交易行为负责。对于医疗器械类产品,请先查证核实企业经营资质和医疗器械产品注册证情况。
文献和实验:使用 Anti-phospho-Akt (Ser473) Rabbit mAb 对石蜡包埋的人乳腺癌组织进行免疫组织化学分析。(图 A)使用免疫组化试剂盒M&R HRP/DAB Detection IHC Kit,抗体 1:100 稀释;(图 B) 采用普通免疫组化试剂盒,抗体 1:25 稀释。 图 6 免疫组化实验检测 Erk1/2 表达 注:使用 Anti-Erk1/2 Mouse mAb与p44/42 MAPK (Erk1/2)Rabbit mAb 对正常小鼠心脏组织进行免疫
h)即可。2. 修复大法——不仅仅是「煮一煮」微波炉修复:简单易行效果好,CST 推荐使用微波炉完成修复。合适的修复液:根据抗体说明书使用合适的修复液。用柠檬酸修复后,切片需浸泡在修复液中,自然冷却;而用 EDTA 修复后,切片可直接从修复缸中取出,直接进行下一步。注:使用不同的修复方式和不同生产商的抗体检测人肺癌组织中 EGFR 的表达。第一排为 CST 的 EGF Receptor (D38B1) XP® Rabbit mAb(#4267),EDTA 的修复方式明显优于柠檬酸盐及胃蛋白
到 PVDF 膜上,同时减少蛋白不必要降解,这对于最终获得清晰、可信结果也是需要考虑因素。抗体信息:1.ACC1, Recombinant Rabbit monoclonal IgG. HuaAn. HuaAn biotechnology , inc.2.ATGL, Mouse mAb IgG1, Cat#:RT1058. HuaAn biotechnology , inc.3.p-PERK(Thr981), Rabbit Polyclonal IgG primary antibodies, Cat
技术资料暂无技术资料 索取技术资料





![CD351 Mouse mAb[63368]](https://img1.dxycdn.com/p/s14/2025/0922/632/2321321568067599691.jpg!wh200)
![RuBisCO activase Polyclonal Antibody[42065]](https://img1.dxycdn.com/p/s14/2025/0922/568/0046652811090600791.jpg!wh200)

![BRF1 Conjugated Antibody[C46355]](https://img1.dxycdn.com/p/s14/2025/0923/305/2150219664296040791.jpg!wh200)
