相关产品推荐更多 >
万千商家帮你免费找货
0 人在求购买到急需产品
- 详细信息
- 文献和实验
- 技术资料
- 免疫原:
recombinant protein
- 形态:
liquid
- 保存条件:
Store at -20˚C
- 克隆性:
Monoclonal antibody
- 适应物种:
Human;Mouse;Rat
- 保质期:
12 months
- 抗原来源:
Recombinant Rabbit
- 供应商:
南京赛戈巍生物科技有限公司
- 宿主:
Recombinant Rabbit
- 应用范围:
WB, ICC/IF, IHC, IP, FC
- 靶点:
Uniprot:P08648
- 抗体英文名:
Integrin alpha 5 Rabbit mAb
- 规格:
50ul/100ul
CD49e antibody
Fibronectin receptor subunit alpha antibody
Fibronectin receptor, alpha subunit antibody
FNRA antibody
Integrin alpha 5 (fibronectin receptor alpha) antibody
Integrin alpha-5 antibody
Integrin alpha-5 light chain antibody
Integrin alpha-F antibody
Integrin, alpha 5 (fibronectin receptor, alpha polypeptide) antibody
ITA5_HUMAN antibody
Itga5 antibody
Very late activation protein 5, alpha subunit antibody
VLA-5 antibody
VLA5 antibody
VLA5A antibody
计算分子量:150 kDa
配方:1*TBS (pH7.4), 1%BSA, 40%Glycerol. Preservative: 0.05% Sodium Azide.
应用详情:WB: 1:1,000
IHC: 1:50-1:200
ICC: 1:50-1:200
FC: 1:50-1:100
图片:

Western blot analysis of Integrin alpha 5 on Hela cells lysates using anti-Integrin alpha 5 antibody at 1/1,000 dilution.
,

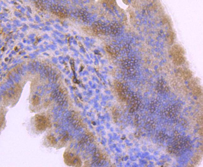
Immunohistochemical analysis of paraffin-embedded human tonsil tissue using anti-Integrin alpha 5 antibody. Counter stained with hematoxylin.
,

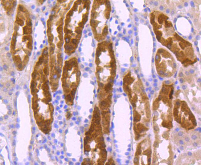
Immunohistochemical analysis of paraffin-embedded human kidney tissue using anti-Integrin alpha 5 antibody. Counter stained with hematoxylin.
,

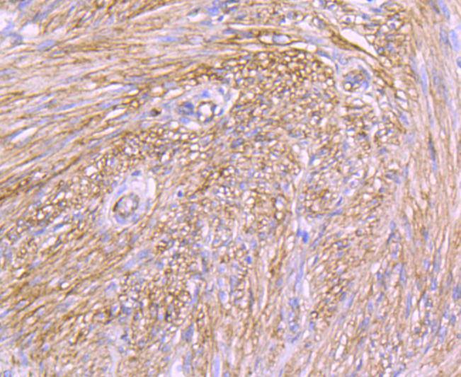
Immunohistochemical analysis of paraffin-embedded human uterus tissue using anti-Integrin alpha 5 antibody. Counter stained with hematoxylin.
,

Immunohistochemical analysis of paraffin-embedded mouse uterus tissue using anti-Integrin alpha 5 antibody. Counter stained with hematoxylin.
,

ICC staining Integrin alpha 5 in Hela cells (green). The nuclear counter stain is DAPI (blue). Cells were fixed in paraformaldehyde, permeabilised with 0.25% Triton X100/PBS.
,

ICC staining Integrin alpha 5 in A549 cells (green). The nuclear counter stain is DAPI (blue). Cells were fixed in paraformaldehyde, permeabilised with 0.25% Triton X100/PBS.
,

Flow cytometric analysis of Jurkat cells with Integrin alpha 5 antibody at 1/50 dilution (red) compared with an unlabelled control (cells without incubation with primary antibody; black). Alexa Fluor 488-conjugated goat anti rabbit IgG was used as the secondary antibody.
风险提示:丁香通仅作为第三方平台,为商家信息发布提供平台空间。用户咨询产品时请注意保护个人信息及财产安全,合理判断,谨慎选购商品,商家和用户对交易行为负责。对于医疗器械类产品,请先查证核实企业经营资质和医疗器械产品注册证情况。
文献和实验Immunohistochemistry / Immunocytochemistry Procedures
of fixative for each antigen. However frozen sections give less morphological detail and resolution than other methods. Rabbit anti-alpha-internexin (Cat No. AB5354
High‐Throughput, Multiplexed Analysis of 3‐Nitrotyrosine in Individual Proteins
.1 ) Phosphate‐buffered saline (PBS; Fisher Scientific) Alexa Fluor 546–conjugated goat anti—rabbit IgG (Invitrogen, cat. no. A‐11035
技术资料暂无技术资料 索取技术资料





![CREB Conjugated Antibody[C48601]](https://img1.dxycdn.com/p/s14/2025/0923/305/2150219664296040791.jpg!wh200)
![PYK2 Rabbit mAb[49000]](https://img1.dxycdn.com/p/s14/2025/0923/496/0462304380155040791.jpg!wh200)
![POLR2A (Phospho-Ser1616) Antibody[12664]](https://img1.dxycdn.com/p/s14/2025/0922/568/0046652811090600791.jpg!wh200)
