相关产品推荐更多 >
万千商家帮你免费找货
0 人在求购买到急需产品
- 详细信息
- 询价记录
- 文献和实验
- 技术资料
- 免疫原:
recombinant protein
- 形态:
liquid
- 保存条件:
Store at -20˚C
- 克隆性:
Monoclonal antibody
- 适应物种:
Human
- 保质期:
12 months
- 抗原来源:
Recombinant Rabbit
- 供应商:
南京赛戈巍生物科技有限公司
- 宿主:
Recombinant Rabbit
- 应用范围:
WB, ICC/IF, IHC, IP
- 靶点:
Uniprot:P13010
- 抗体英文名:
Ku80 Rabbit mAb
- 规格:
50ul/100ul
ATP dependent DNA helicase 2 subunit 2 antibody
ATP dependent DNA helicase II 80 kDa subunit antibody
ATP dependent DNA helicase II 86 Kd subunit antibody
ATP dependent DNA helicase II antibody
ATP-dependent DNA helicase 2 subunit 2 antibody
ATP-dependent DNA helicase II 80 kDa subunit antibody
CTC box binding factor 85 kDa antibody
CTC box-binding factor 85 kDa subunit antibody
CTC85 antibody
CTCBF antibody
DNA repair protein XRCC5 antibody
KARP 1 antibody
KARP1 antibody
Ku 80 antibody
Ku autoantigen 80kDa antibody
Ku80 antibody
Ku86 antibody
Ku86 autoantigen related protein 1 antibody
KUB 2 antibody
KUB2 antibody
Lupus Ku autoantigen protein p86 antibody
NFIV antibody
Nuclear factor IV antibody
Thyroid lupus autoantigen antibody
Thyroid-lupus autoantigen antibody
TLAA antibody
X ray repair complementing defective repair in Chinese hamster cells 5 (double strand break rejoining) antibody
X-ray repair complementing defective repair in Chinese hamster cells 5 (double-strand-break rejoining) antibody
X-ray repair cross-complementing protein 5 antibody
Xray repair complementing defective repair in Chinese hamster cells 5 antibody
XRCC 5 antibody
XRCC5 antibody
XRCC5_HUMAN antibody
计算分子量:83 kDa
配方:1*TBS (pH7.4), 1%BSA, 40%Glycerol. Preservative: 0.05% Sodium Azide.
应用详情:WB: 1:1,000-1:2,000
IHC: 1:50-1:200
ICC: 1:50-1:200
图片:

Western blot analysis of Ku80 on MCF-7 cells lysates using anti-Ku80 antibody at 1/1,000 dilution.
,

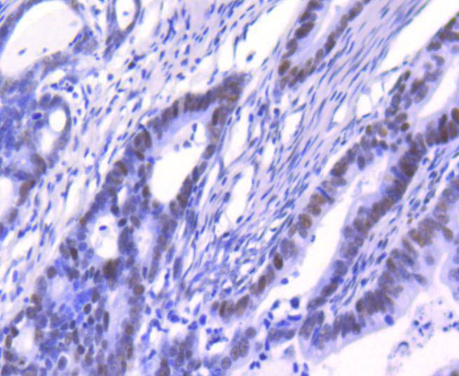
Immunohistochemical analysis of paraffin-embedded human colon cancer tissue using anti-Ku80 antibody. Counter stained with hematoxylin.
,

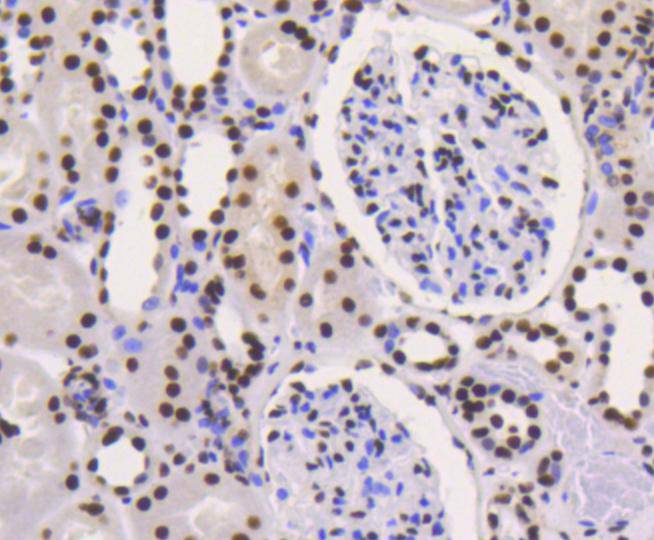
Immunohistochemical analysis of paraffin-embedded human kideny tissue using anti-Ku80 antibody. Counter stained with hematoxylin.
,

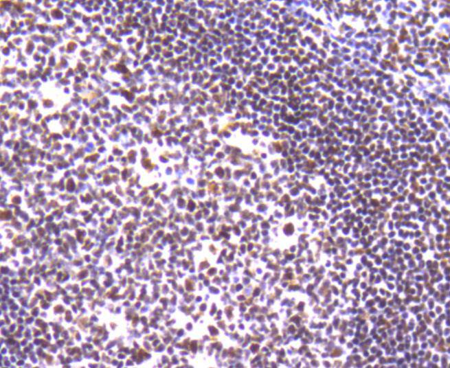
Immunohistochemical analysis of paraffin-embedded human tonsil tissue using anti-Ku80 antibody. Counter stained with hematoxylin.
,

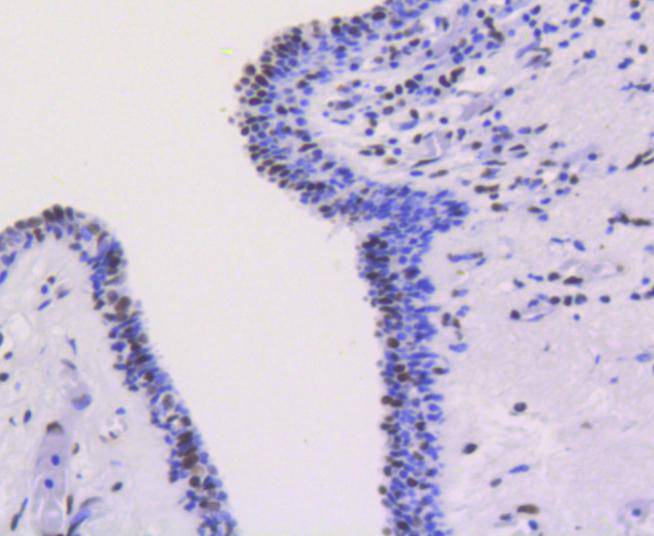
Immunohistochemical analysis of paraffin-embedded human breast carcinoma tissue using anti-Ku80 antibody. Counter stained with hematoxylin.
,

ICC staining Ku80 in Hela cells (green). The nuclear counter stain is DAPI (blue). Cells were fixed in paraformaldehyde, permeabilised with 0.25% Triton X100/PBS.
,

ICC staining Ku80 in A549 cells (green). The nuclear counter stain is DAPI (blue). Cells were fixed in paraformaldehyde, permeabilised with 0.25% Triton X100/PBS.
,

ICC staining Ku80 in SW480 cells (green). The nuclear counter stain is DAPI (blue). Cells were fixed in paraformaldehyde, permeabilised with 0.25% Triton X100/PBS.
风险提示:丁香通仅作为第三方平台,为商家信息发布提供平台空间。用户咨询产品时请注意保护个人信息及财产安全,合理判断,谨慎选购商品,商家和用户对交易行为负责。对于医疗器械类产品,请先查证核实企业经营资质和医疗器械产品注册证情况。
- 作者
- 内容
- 询问日期
文献和实验:使用 Anti-phospho-Akt (Ser473) Rabbit mAb 对石蜡包埋的人乳腺癌组织进行免疫组织化学分析。(图 A)使用免疫组化试剂盒M&R HRP/DAB Detection IHC Kit,抗体 1:100 稀释;(图 B) 采用普通免疫组化试剂盒,抗体 1:25 稀释。 图 6 免疫组化实验检测 Erk1/2 表达 注:使用 Anti-Erk1/2 Mouse mAb与p44/42 MAPK (Erk1/2)Rabbit mAb 对正常小鼠心脏组织进行免疫
h)即可。2. 修复大法——不仅仅是「煮一煮」微波炉修复:简单易行效果好,CST 推荐使用微波炉完成修复。合适的修复液:根据抗体说明书使用合适的修复液。用柠檬酸修复后,切片需浸泡在修复液中,自然冷却;而用 EDTA 修复后,切片可直接从修复缸中取出,直接进行下一步。注:使用不同的修复方式和不同生产商的抗体检测人肺癌组织中 EGFR 的表达。第一排为 CST 的 EGF Receptor (D38B1) XP® Rabbit mAb(#4267),EDTA 的修复方式明显优于柠檬酸盐及胃蛋白
到 PVDF 膜上,同时减少蛋白不必要降解,这对于最终获得清晰、可信结果也是需要考虑因素。抗体信息:1.ACC1, Recombinant Rabbit monoclonal IgG. HuaAn. HuaAn biotechnology , inc.2.ATGL, Mouse mAb IgG1, Cat#:RT1058. HuaAn biotechnology , inc.3.p-PERK(Thr981), Rabbit Polyclonal IgG primary antibodies, Cat
技术资料暂无技术资料 索取技术资料





![FAM3A Antibody[35867]](https://img1.dxycdn.com/p/s14/2025/0922/359/6146153295428599691.jpg!wh200)
![LDB3 Polyclonal Antibody[30932]](https://img1.dxycdn.com/p/s14/2025/0923/305/2150219664296040791.jpg!wh200)
![IL-1R1 Polyclonal Antibody FITC Conjugated[C91508FITC]](https://img1.dxycdn.com/p/s14/2025/0922/498/0460884283108299691.jpg!wh200)
