相关产品推荐更多 >
万千商家帮你免费找货
0 人在求购买到急需产品
- 详细信息
- 文献和实验
- 技术资料
- 免疫原:
recombinant protein
- 形态:
liquid
- 保存条件:
Store at -20˚C
- 克隆性:
Monoclonal antibody
- 适应物种:
Human;Mouse;Rat
- 保质期:
12 months
- 抗原来源:
Recombinant Rabbit
- 供应商:
南京赛戈巍生物科技有限公司
- 宿主:
Recombinant Rabbit
- 应用范围:
WB, ICC/IF, IHC, IP, FC
- 靶点:
Uniprot:P41594
- 抗体英文名:
Metabotropic glutamate receptor 5 Rabbit mAb
- 规格:
50ul/100ul
GPRC1E antibody
Grm5 antibody
GRM5_HUMAN antibody
Metabotropic glutamate receptor 5 antibody
Metabotropic glutamate receptor 5 variant F antibody
Metabotropic glutamate receptor 5 variant G antibody
Metabotropic glutamate receptor 5 variant H antibody
mGlu5 antibody
mGluR5 antibody
PPP1R86 antibody
Protein phosphatase 1 regulatory subunit 86 antibody
计算分子量:132 kDa
配方:1*TBS (pH7.4), 1%BSA, 40%Glycerol. Preservative: 0.05% Sodium Azide.
应用详情:WB: 1:1,000-1:2,000
IHC: 1:200-1:500
ICC: 1:50-1:200
FC: 1:50-1:100
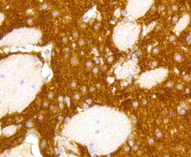
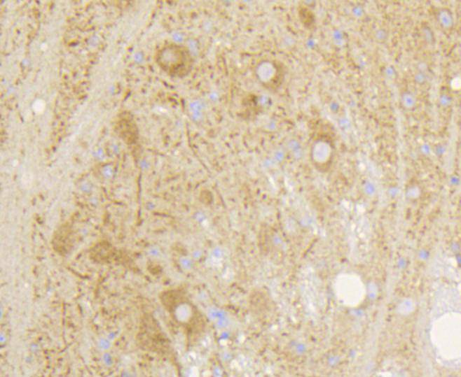
图片:

Immunohistochemical analysis of paraffin-embedded rat brain tissue using anti-GRM5 antibody. Counter stained with hematoxylin.
,

Immunohistochemical analysis of paraffin-embedded mouse brain tissue using anti-GRM5 antibody. Counter stained with hematoxylin.
,

ICC staining GRM5 in JAR cells (green). The nuclear counter stain is DAPI (blue). Cells were fixed in paraformaldehyde, permeabilised with 0.25% Triton X100/PBS.
,

ICC staining GRM5 in PC12 cells (green). The nuclear counter stain is DAPI (blue). Cells were fixed in paraformaldehyde, permeabilised with 0.25% Triton X100/PBS.
,

ICC staining GRM5 in SHG-44 cells (green). The nuclear counter stain is DAPI (blue). Cells were fixed in paraformaldehyde, permeabilised with 0.25% Triton X100/PBS.
,

Flow cytometric analysis of SH-SY-5Y cells with GRM5 antibody at 1/50 dilution (blue) compared with an unlabelled control (cells without incubation with primary antibody; red). Alexa Fluor 488-conjugated goat anti rabbit IgG was used as the secondary antibody.
风险提示:丁香通仅作为第三方平台,为商家信息发布提供平台空间。用户咨询产品时请注意保护个人信息及财产安全,合理判断,谨慎选购商品,商家和用户对交易行为负责。对于医疗器械类产品,请先查证核实企业经营资质和医疗器械产品注册证情况。
文献和实验Functional Study of Glutamate Receptor Channels in Brain Slices
Glutamate is the major excitatory neurotransmitter in the central nervous system (CNS). Glutamate binds to and activates receptors coupled to both ligand-gated ion channels (ionotropic) and G proteins (metabotropic
Receptor Knock-Out and Knock-In Strategies
-out of the receptor. This is called the third generation knock-out. In the following sections, we introduce examples of the materials and methods based on our in vivo analyses of the metabotropic glutamate receptor-subtype 1 (mGluR1).
Isolation of Receptor Clones by Expression Screening in Xenopus Oocytes
, a metabotropic glutamate receptor (mGluR) clone was also identified with the oocyte system (5 ).
技术资料暂无技术资料 索取技术资料





![HTRA2 Mouse mAb[63757]](https://img1.dxycdn.com/p/s14/2025/0922/632/2321321568067599691.jpg!wh200)
![JNK1/2 Polyclonal Antibody[30394]](https://img1.dxycdn.com/p/s14/2025/0923/305/2150219664296040791.jpg!wh200)
![HMGCR Rabbit mAb[49355]](https://img1.dxycdn.com/p/s14/2025/0923/496/0462304380155040791.jpg!wh200)
![Macrophage mannose receptor 1 Polyclonal Antibody APC Conjugated[C92218APC]](https://img1.dxycdn.com/p/s14/2025/0922/498/0460884283108299691.jpg!wh200)
