相关产品推荐更多 >
万千商家帮你免费找货
0 人在求购买到急需产品
- 详细信息
- 文献和实验
- 技术资料
- 免疫原:
recombinant protein
- 形态:
liquid
- 保存条件:
Store at -20˚C
- 克隆性:
Monoclonal antibody
- 适应物种:
Human;Mouse;Rat
- 保质期:
12 months
- 抗原来源:
Recombinant Rabbit
- 供应商:
南京赛戈巍生物科技有限公司
- 宿主:
Recombinant Rabbit
- 应用范围:
WB, IHC, IP, FC
- 靶点:
Uniprot:P15056
- 抗体英文名:
B Raf Rabbit mAb
- 规格:
50ul/100ul
94 kDa B raf protein antibody
B raf 1 antibody
B Raf proto oncogene serine threonine protein kinase antibody
B Raf proto oncogene, serine/threonine kinase antibody
B RAF1 antibody
B-Raf proto-oncogene serine/threonine-protein kinase (p94) antibody
BRAF 1 antibody
BRAF antibody
BRAF_HUMAN antibody
BRAF1 antibody
cRmil antibody
MGC126806 antibody
MGC138284 antibody
Murine sarcoma viral (v-raf) oncogene homolog B1 antibody
Murine sarcoma viral v raf oncogene homolog B1 antibody
NS7 antibody
Oncogen BRAF antibody
oncogene BRAF1 antibody
p94 antibody
Proto-oncogene B-Raf antibody
Proto-oncogene c-Rmil antibody
RAFB 1 antibody
RAFB1 antibody
RMIL antibody
Serine/threonine-protein kinase B-raf antibody
v raf murine sarcoma viral oncogene homolog B antibody
v raf murine sarcoma viral oncogene homolog B1 antibody
v-Raf murine sarcoma viral oncogene homolog B1 antibody
计算分子量:85 kDa
配方:1*TBS (pH7.4), 1%BSA, 40%Glycerol. Preservative: 0.05% Sodium Azide.
应用详情:WB: 1:1,000
IHC: 1:50-1:200
FC: 1:50-1:100
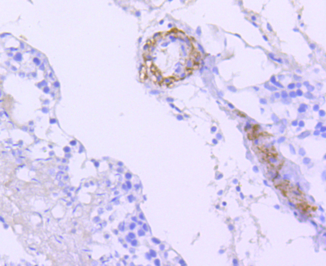
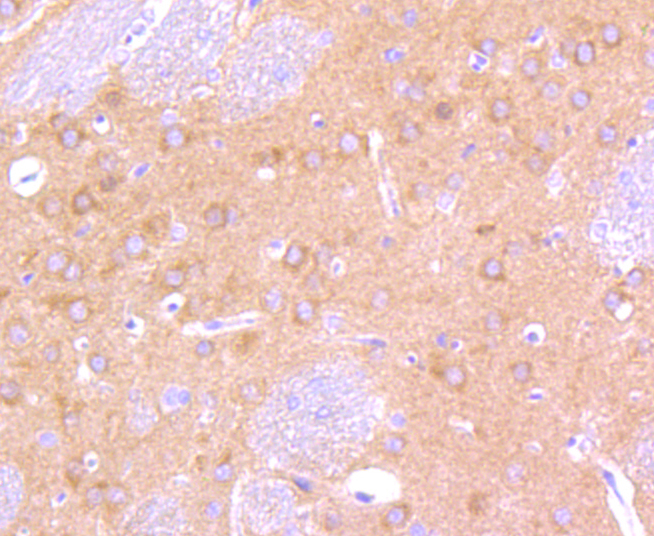
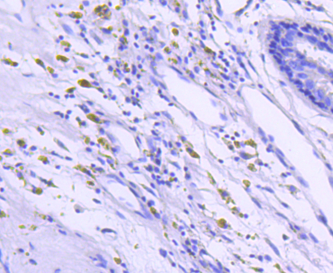
图片:

Immunohistochemical analysis of paraffin-embedded rat testis tissue using anti-B Raf antibody. Counter stained with hematoxylin.
,

Immunohistochemical analysis of paraffin-embedded rat brain tissue using anti-B Raf antibody. Counter stained with hematoxylin.
,

Immunohistochemical analysis of paraffin-embedded human breast carcinoma tissue using anti-B Raf antibody. Counter stained with hematoxylin.
,

Flow cytometric analysis of Hela cells with B Raf antibody at 1/50 dilution (red) compared with an unlabelled control (cells without incubation with primary antibody; black). Alexa Fluor 488-conjugated goat anti rabbit IgG was used as the secondary antibody
风险提示:丁香通仅作为第三方平台,为商家信息发布提供平台空间。用户咨询产品时请注意保护个人信息及财产安全,合理判断,谨慎选购商品,商家和用户对交易行为负责。对于医疗器械类产品,请先查证核实企业经营资质和医疗器械产品注册证情况。
文献和实验Monitoring Oncogenic B-RAF-Induced Senescence in Melanocytes
The B-RAF kinase is a downstream effector of the RAS family of proto-oncogenes and is constitutively activated in the majority of human melanomas. The common oncogenic B-RAFV600E mutant cooperates with additional genetic lesions to transform
Testing Rabbit Bleeds By Elisa
same amount of NaBH4 after 15''. Do a quick microfuge spin if there are too many bubbles. B. ELISA with Peptide conjugated to BSA Coat 10 ug/ml antigen (peptide conjugated to BSA) diluted in TBS (50 ul/well) ON at 4 deg C. Remove antigen
Deciphering Signaling Pathways In Vivo: The Ras/Raf/Mek/Erk Cascade
are still incompletely known. Here, we describe immunohistochemical and immunofluorescence methods that can be used to define the essential function(s) and the relevant downstream targets of Raf-1, B-Raf, and Mek-1 in in vivo models of organ development, remodeling
技术资料暂无技术资料 索取技术资料





![Stat5 (Phospho-Tyr694) Conjugated Antibody[C14172]](https://img1.dxycdn.com/p/s14/2025/0922/632/2321321568067599691.jpg!wh200)
![RGS19 Antibody[47190]](https://img1.dxycdn.com/p/s14/2025/0923/496/0462304380155040791.jpg!wh200)
![NOXIN Polyclonal Antibody[41930]](https://img1.dxycdn.com/p/s14/2025/0922/568/0046652811090600791.jpg!wh200)
![P Glycoprotein Rabbit mAb[52481]](https://img1.dxycdn.com/p/s14/2025/0922/498/0460884283108299691.jpg!wh200)
![PD-1 Conjugated Antibody[C27584]](https://img1.dxycdn.com/p/s14/2025/0923/305/2150219664296040791.jpg!wh200)
