相关产品推荐更多 >
万千商家帮你免费找货
0 人在求购买到急需产品
- 详细信息
- 技术资料
- 免疫原:
recombinant protein
- 形态:
liquid
- 保存条件:
Store at -20˚C
- 克隆性:
Monoclonal antibody
- 适应物种:
Human;Mouse;Rat
- 保质期:
12 months
- 抗原来源:
Recombinant Rabbit
- 供应商:
南京赛戈巍生物科技有限公司
- 宿主:
Recombinant Rabbit
- 应用范围:
WB, ICC, IHC, IP
- 靶点:
Uniprot:Q9NPH5
- 抗体英文名:
NADPH oxidase 4/NOX4 Rabbit mAb
- 规格:
50ul/100ul
Kidney superoxide-producing NADPH oxidase antibody
KOX 1 antibody
KOX antibody
Kox-1 antibody
NADPH antibody
NADPH oxidase 4 antibody
Nox4 antibody
NOX4_HUMAN antibody
Renal NAD(P)H-oxidase antibody
RENOX antibody
计算分子量:67 kDa
配方:1*TBS (pH7.4), 1%BSA, 40%Glycerol. Preservative: 0.05% Sodium Azide.
应用详情:WB: 1:1,000
IHC: 1:50-1:200
ICC: 1:50-1:100
图片:

Western blot analysis of NOX4 on PC-12 cell lysates using anti-NOX4 antibody at 1/1,000 dilution.
,

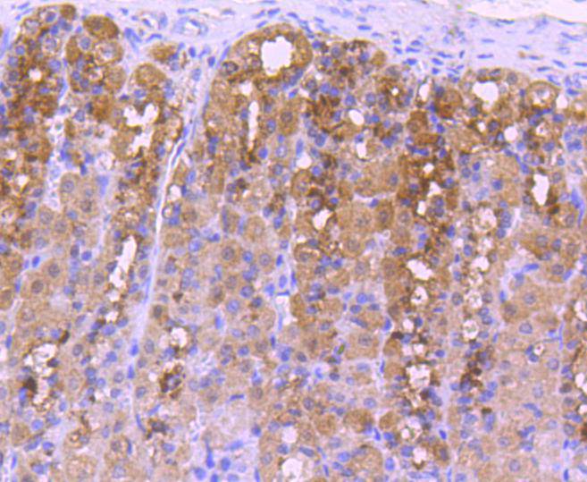
Immunohistochemical analysis of paraffin-embedded rat stomach tissue using anti-NOX4 antibody. Counter stained with hematoxylin.
,

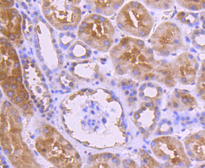
Immunohistochemical analysis of paraffin-embedded human kidney tissue using anti-NOX4 antibody. Counter stained with hematoxylin.
,

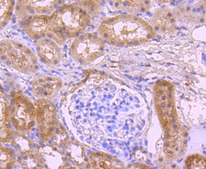
Immunohistochemical analysis of paraffin-embedded rat kidney tissue using anti-NOX4 antibody. Counter stained with hematoxylin.
,

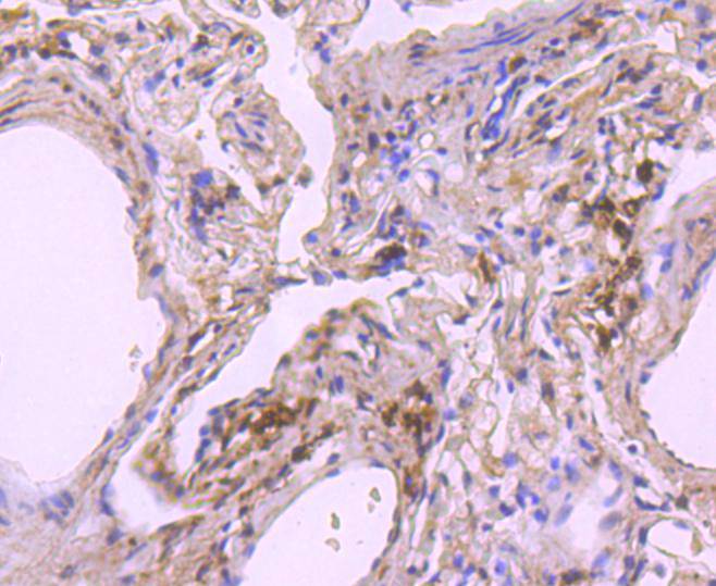
Immunohistochemical analysis of paraffin-embedded human lung tissue using anti-NOX4 antibody. Counter stained with hematoxylin.
,

ICC staining NOX4 in Hela cells (green). The nuclear counter stain is DAPI (blue). Cells were fixed in paraformaldehyde, permeabilised with 0.25% Triton X100/PBS.
,

ICC staining NOX4 in A431 cells (green). The nuclear counter stain is DAPI (blue). Cells were fixed in paraformaldehyde, permeabilised with 0.25% Triton X100/PBS.
,

ICC staining NOX4 in A549 cells (green). The nuclear counter stain is DAPI (blue). Cells were fixed in paraformaldehyde, permeabilised with 0.25% Triton X100/PBS.
风险提示:丁香通仅作为第三方平台,为商家信息发布提供平台空间。用户咨询产品时请注意保护个人信息及财产安全,合理判断,谨慎选购商品,商家和用户对交易行为负责。对于医疗器械类产品,请先查证核实企业经营资质和医疗器械产品注册证情况。
技术资料暂无技术资料 索取技术资料






![LC3A Mouse Monoclonal Antibody(5G10)[44176]](https://img1.dxycdn.com/p/s14/2025/0922/568/0046652811090600791.jpg!wh200)
![DKC1 Rabbit mAb[52254]](https://img1.dxycdn.com/p/s14/2025/0922/498/0460884283108299691.jpg!wh200)
![ANP32E Conjugated Antibody[C37693]](https://img1.dxycdn.com/p/s14/2025/0923/278/4431488150116040791.jpg!wh200)
