相关产品推荐更多 >
万千商家帮你免费找货
0 人在求购买到急需产品
- 详细信息
- 技术资料
- 免疫原:
recombinant protein
- 形态:
liquid
- 保存条件:
Store at -20˚C
- 克隆性:
Monoclonal antibody
- 适应物种:
Human;Mouse;Rat
- 保质期:
12 months
- 抗原来源:
Recombinant Rabbit
- 供应商:
南京赛戈巍生物科技有限公司
- 宿主:
Recombinant Rabbit
- 应用范围:
WB, ICC/IF, IHC, IP, FC
- 靶点:
Uniprot:P17948
- 抗体英文名:
VEGF Receptor 1 Rabbit mAb
- 规格:
50ul/100ul
FLT 1 antibody
FLT antibody
Flt-1 antibody
FLT1 antibody
Fms like tyrosine kinase 1 antibody
Fms related tyrosine kinase 1 antibody
Fms related tyrosine kinase 1 (vascular endothelial growth factor/vascular permeability factor receptor) antibody
Fms related tyrosine kinase 1 vascular endothelial growth factor/vascular permeability factor receptor antibody
Fms-like tyrosine kinase 1 antibody
FRT antibody
Soluble VEGF receptor 1 14 antibody
Soluble VEGFR1 variant 2 antibody
Soluble VEGFR1 variant 21 antibody
Tyrosine protein kinase FRT antibody
Tyrosine protein kinase receptor FLT antibody
Tyrosine-protein kinase FRT antibody
Tyrosine-protein kinase receptor FLT antibody
Vascular endothelial growth factor receptor 1 antibody
Vascular endothelial growth factor vascular permeability factor receptor antibody
Vascular permeability factor receptor 1 antibody
Vascular permeability factor receptor antibody
VEGFR 1 antibody
VEGFR-1 antibody
VEGFR1 antibody
VGFR1_HUMAN antibody
计算分子量:151 kDa
配方:1*TBS (pH7.4), 1%BSA, 40%Glycerol. Preservative: 0.05% Sodium Azide.
应用详情:WB: 1:1,000-1:2,000
IHC: 1:50-1:200
ICC: 1:50-1:200
FC: 1:50-1:100
图片:

Western blot analysis of VEGF Receptor 1 on mouse lung lysates using anti-VEGF Receptor 1 antibody at 1/1,000 dilution.
,

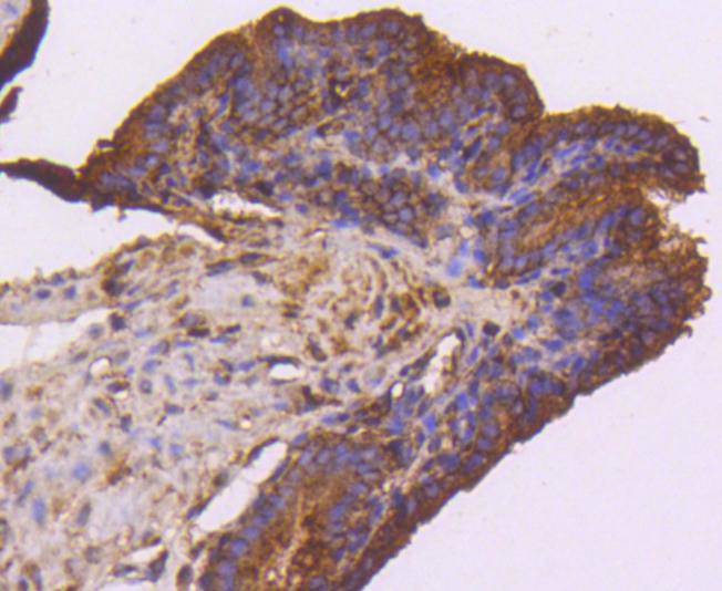
Immunohistochemical analysis of paraffin-embedded mouse placenta tissue using anti-VEGF Receptor 1 antibody. Counter stained with hematoxylin.
,

Immunohistochemical analysis of paraffin-embedded mouse brain tissue using anti-VEGF Receptor 1 antibody. Counter stained with hematoxylin.
,

ICC staining VEGF Receptor 1 in N2A cells (green). The nuclear counter stain is DAPI (blue). Cells were fixed in paraformaldehyde, permeabilised with 0.25% Triton X100/PBS.
,

ICC staining VEGF Receptor 1 in RH-35 cells (green). The nuclear counter stain is DAPI (blue). Cells were fixed in paraformaldehyde, permeabilised with 0.25% Triton X100/PBS.
,

ICC staining VEGF Receptor 1 in SHG-44 cells (green). The nuclear counter stain is DAPI (blue). Cells were fixed in paraformaldehyde, permeabilised with 0.25% Triton X100/PBS.
,

Flow cytometric analysis of A431 cells with VEGF Receptor 1 antibody at 1/50 dilution (red) compared with an unlabelled control (cells without incubation with primary antibody; black). Alexa Fluor 488-conjugated goat anti rabbit IgG was used as the secondary antibody.
风险提示:丁香通仅作为第三方平台,为商家信息发布提供平台空间。用户咨询产品时请注意保护个人信息及财产安全,合理判断,谨慎选购商品,商家和用户对交易行为负责。对于医疗器械类产品,请先查证核实企业经营资质和医疗器械产品注册证情况。
技术资料暂无技术资料 索取技术资料


![VEGF Receptor 1 Rabbit mAb[48718]](https://img1.dxycdn.com/p/s14/2025/0923/496/0462304380155040791.jpg)


![BSA Conjugated Antibody[C35643]](https://img1.dxycdn.com/p/s14/2025/0923/278/4431488150116040791.jpg!wh200)
![MCM2 (Phospho-Ser27) Conjugated Antibody[C14273]](https://img1.dxycdn.com/p/s14/2025/0922/632/2321321568067599691.jpg!wh200)
![SMAD3 Antibody[48228]](https://img1.dxycdn.com/p/s14/2025/0923/496/0462304380155040791.jpg!wh200)
![NQO1 Antibody[35365]](https://img1.dxycdn.com/p/s14/2025/0922/359/6146153295428599691.jpg!wh200)

