相关产品推荐更多 >
万千商家帮你免费找货
0 人在求购买到急需产品
- 详细信息
- 技术资料
- 免疫原:
recombinant protein
- 形态:
liquid
- 保存条件:
Store at -20˚C
- 克隆性:
Monoclonal
- 适应物种:
Human;Mouse;Rat
- 保质期:
12 months
- 抗原来源:
Recombinant Rabbit
- 供应商:
南京赛戈巍生物科技有限公司
- 宿主:
Recombinant Rabbit
- 应用范围:
WB IHC ICC/IF IP FC
- 靶点:
Uniprot:P09601
- 抗体英文名:
Heme Oxygenase 1(HO-1) Rabbit mAb
- 规格:
50ul/100ul
bK286B10 antibody
D8Wsu38e antibody
heat shock protein 32 kD antibody
heat shock protein 32kD antibody
Heat shock protein antibody
Heme oxygenase (decycling) 1 antibody
Heme oxygenase 1 antibody
Hemox antibody
HMOX 1 antibody
Hmox antibody
Hmox1 antibody
HMOX1_HUMAN antibody
HO 1 antibody
HO antibody
HO-1 antibody
HO1 antibody
Hsp32 antibody
计算分子量:33 kDa
配方:1*TBS (pH7.4), 1%BSA, 40%Glycerol. Preservative: 0.05% Sodium Azide.
应用详情:
IHC 1:1000~1:10000
ICC/IF 1:100~1:500
IP 1:50
FC 1:50
图片:

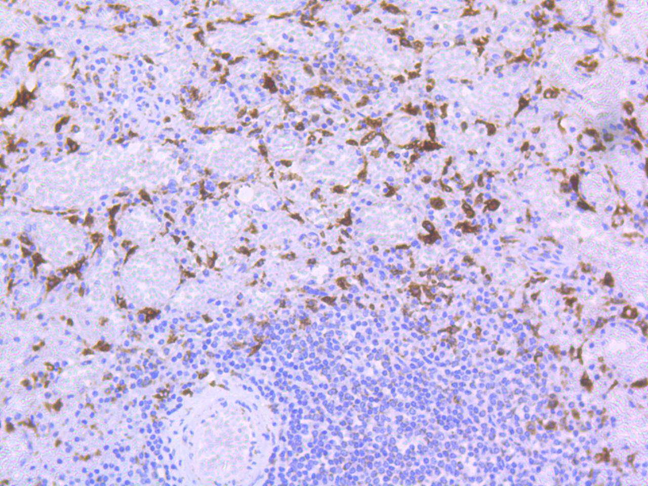
Immunohistochemical analysis of paraffin-embedded human spleen tissue using anti-HO-1 antibody. Counter stained with hematoxylin.
,

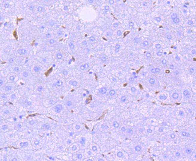
Immunohistochemical analysis of paraffin-embedded human liver tissue using anti-HO-1 antibody. Counter stained with hematoxylin.
,

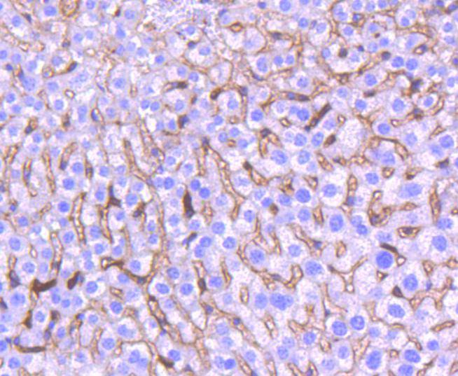
Immunohistochemical analysis of paraffin-embedded mouse liver tissue using anti-HO-1 antibody. Counter stained with hematoxylin.
,

Flow cytometric analysis of Jurkat cells with HO-1 antibody at 1/50 dilution (red) compared with an unlabelled control (cells without incubation with primary antibody; black). Alexa Fluor 488-conjugated goat anti rabbit IgG was used as secondary antibody.
风险提示:丁香通仅作为第三方平台,为商家信息发布提供平台空间。用户咨询产品时请注意保护个人信息及财产安全,合理判断,谨慎选购商品,商家和用户对交易行为负责。对于医疗器械类产品,请先查证核实企业经营资质和医疗器械产品注册证情况。
技术资料暂无技术资料 索取技术资料


![Heme Oxygenase 1(HO-1) Rabbit mAb[48715]](https://img1.dxycdn.com/p/s14/2025/0923/496/0462304380155040791.jpg)


![Recombinant IL6 Rabbit mAb(G12)[58001]](https://img1.dxycdn.com/p/s14/2025/0922/632/2321321568067599691.jpg!wh200)
![TRNT1 Polyclonal Antibody[30132]](https://img1.dxycdn.com/p/s14/2025/0923/305/2150219664296040791.jpg!wh200)
![Lactate Dehydrogenase C Rabbit mAb[52390]](https://img1.dxycdn.com/p/s14/2025/0922/498/0460884283108299691.jpg!wh200)
![Ubiquitin Conjugated Antibody[C33537]](https://img1.dxycdn.com/p/s14/2025/0923/278/4431488150116040791.jpg!wh200)
