相关产品推荐更多 >
万千商家帮你免费找货
0 人在求购买到急需产品
- 详细信息
- 文献和实验
- 技术资料
- 免疫原:
recombinant protein
- 形态:
liquid
- 保存条件:
Store at -20˚C
- 克隆性:
Monoclonal antibody
- 适应物种:
Human;Mouse;Rat
- 保质期:
12 months
- 抗原来源:
Recombinant Rabbit
- 供应商:
南京赛戈巍生物科技有限公司
- 宿主:
Recombinant Rabbit
- 应用范围:
WB, ICC/IF, IHC, IP, FC
- 靶点:
Uniprot:P45973
- 抗体英文名:
HP1 alpha Rabbit mAb
- 规格:
50ul/100ul
CBX5 antibody
CBX5_HUMAN antibody
CG8409 antibody
Chromobox 5 antibody
Chromobox homolog 5 (HP1 alpha homolog, Drosophila) antibody
Chromobox homolog 5 antibody
Chromobox protein homolog 5 antibody
Epididymis luminal protein 25 antibody
HEL25 antibody
Heterochromatin protein 1 alpha antibody
Heterochromatin protein 1 antibody
Heterochromatin protein 1 homolog alpha antibody
HP1 alpha antibody
HP1 alpha homolog antibody
HP1 antibody
HP1A antibody
HP1Hs alpha antibody
Su(var)205 antibody
计算分子量:22 kDa
配方:1*TBS (pH7.4), 1%BSA, 40%Glycerol. Preservative: 0.05% Sodium Azide.
应用详情:WB: 1:1,000-5,000
IHC: 1:50-1:200
ICC: 1:50-1:200
FC: 1:50-1:100
图片:

Western blot analysis of HP1 alpha on different cell lysates using anti-HP1 alpha antibody at 1/1,000 dilution. Positive control:
Lane 1: MCF-7
Lane 2: Hela
,

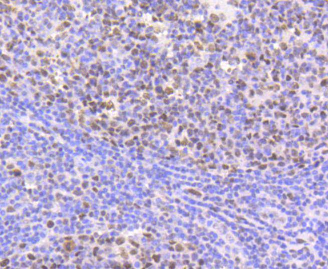
Immunohistochemical analysis of paraffin-embedded human tonsil tissue using anti-HP1 alpha antibody. Counter stained with hematoxylin.
,

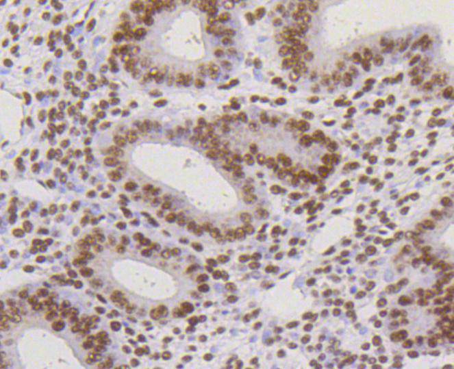
Immunohistochemical analysis of paraffin-embedded human breast carcinoma tissue using anti-HP1 alpha antibody. Counter stained with hematoxylin.
,

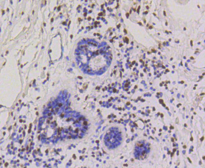
Immunohistochemical analysis of paraffin-embedded human uterus tissue using anti-HP1 alpha antibody. Counter stained with hematoxylin.
,

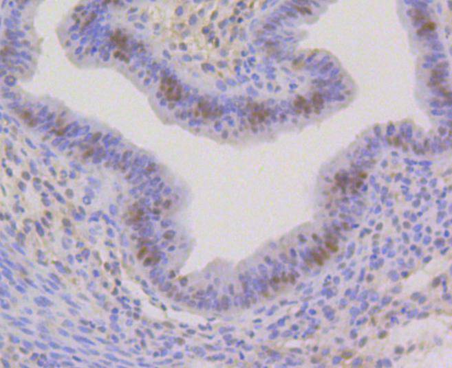
Immunohistochemical analysis of paraffin-embedded mouse uterus tissue using anti-HP1 alpha antibody. Counter stained with hematoxylin.
,

ICC staining HP1 alpha in Hela cells (green). The nuclear counter stain is DAPI (blue). Cells were fixed in paraformaldehyde, permeabilised with 0.25% Triton X100/PBS.
,

ICC staining HP1 alpha in MCF-7 cells (green). The nuclear counter stain is DAPI (blue). Cells were fixed in paraformaldehyde, permeabilised with 0.25% Triton X100/PBS.
,

Flow cytometric analysis of SH-SY-5Y cells with HP1 alpha antibody at 1/50 dilution (blue) compared with an unlabelled control (cells without incubation with primary antibody; red). Alexa Fluor 488-conjugated goat anti rabbit IgG was used as the secondary antibody.
风险提示:丁香通仅作为第三方平台,为商家信息发布提供平台空间。用户咨询产品时请注意保护个人信息及财产安全,合理判断,谨慎选购商品,商家和用户对交易行为负责。对于医疗器械类产品,请先查证核实企业经营资质和医疗器械产品注册证情况。
文献和实验Immunofluorescence: Rabbit Anti-Murine RELMα
for 25 minutes. 3. Incubate the tissue section with blocking buffer for 20 minutes. 4. Incubate the tissue section overnight at 4?C with Rabbit Anti-Murine RELMα at 4.0 ng/mL in 1X PBS with 0.01% Triton-X and 0.5% BSA. Wash the slide
In situ hybridisation to alpha satellite sequences (chromosome specific)
Alpha satellite sequences, whilst highly repetitive, are specific to each individual chromosome. These sequences flank the centromeres and can present a target measured in megabases. In this protocol a biotin or digoxigenin labelled DNA
:使用 Anti-phospho-Akt (Ser473) Rabbit mAb 对石蜡包埋的人乳腺癌组织进行免疫组织化学分析。(图 A)使用免疫组化试剂盒M&R HRP/DAB Detection IHC Kit,抗体 1:100 稀释;(图 B) 采用普通免疫组化试剂盒,抗体 1:25 稀释。 图 6 免疫组化实验检测 Erk1/2 表达 注:使用 Anti-Erk1/2 Mouse mAb与p44/42 MAPK (Erk1/2)Rabbit mAb 对正常小鼠心脏组织进行免疫
技术资料暂无技术资料 索取技术资料





![SLC1A4 Antibody[37031]](https://img1.dxycdn.com/p/s14/2025/0922/359/6146153295428599691.jpg!wh200)

![Ribosomal Protein L30 Polyclonal Conjugated Antibody[C41406]](https://img1.dxycdn.com/p/s14/2025/0923/278/4431488150116040791.jpg!wh200)
![Per1 Antibody[SAB272]](https://img1.dxycdn.com/p/s14/2025/0922/498/0460884283108299691.jpg!wh200)
