相关产品推荐更多 >
万千商家帮你免费找货
0 人在求购买到急需产品
- 详细信息
- 文献和实验
- 技术资料
- 免疫原:
recombinant protein
- 形态:
liquid
- 保存条件:
Store at -20˚C
- 克隆性:
Monoclonal antibody
- 适应物种:
Human;Mouse;Rat
- 保质期:
12 months
- 抗原来源:
Recombinant Rabbit
- 供应商:
南京赛戈巍生物科技有限公司
- 宿主:
Recombinant Rabbit
- 应用范围:
WB, ICC, IHC, FC
- 靶点:
Uniprot:Q8WTV0
- 抗体英文名:
Scavenging Receptor SR-BI Rabbit mAb
- 规格:
50ul/100ul
CD36 antibody
CD36 Antigen like 1 antibody
CD36 antigen-like 1 antibody
CD36L1 antibody
CLA 1 antibody
CLA-1 antibody
CLA1 antibody
Collagen type I receptor antibody
HDLQTL6 antibody
MGC138242 antibody
SCARB1 antibody
Scavebger Receptor Class B Member 1 antibody
Scavenger receptor class B member 1 antibody
Scavenger Receptor Class B Type 1 antibody
SCRB1_HUMAN antibody
SR BI antibody
SR-BI antibody
SRB1 antibody
SRBI antibody
Thrombospondin receptor like 1 antibody
thrombospondin receptor-like 1 antibody
计算分子量:80 kDa
配方:1*TBS (pH7.4), 1%BSA, 40%Glycerol. Preservative: 0.05% Sodium Azide.
应用详情:WB: 1:1,000-5,000
IHC: 1:50-1:200
ICC: 1:50-1:200
FC: 1:50-1:200
图片:

Western blot analysis of Scavenging Receptor SR-BI on different lysates using anti-Scavenging Receptor SR-BI antibody at 1/1,000 dilution. Positive control:
Lane 1: Human liver
Lane 2: Mouse liver
,

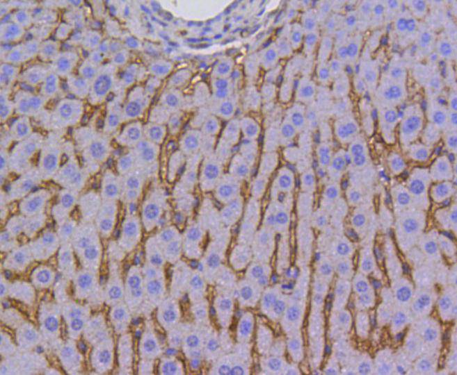
Immunohistochemical analysis of paraffin-embedded human liver tissue using anti-Scavenging Receptor SR-BI antibody. Counter stained with hematoxylin.
,

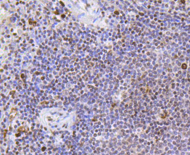
Immunohistochemical analysis of paraffin-embedded human spleen tissue using anti-Scavenging Receptor SR-BI antibody. Counter stained with hematoxylin.
,

Immunohistochemical analysis of paraffin-embedded mouse liver tissue using anti-Scavenging Receptor SR-BI antibody. Counter stained with hematoxylin.
,

ICC staining Scavenging Receptor SR-BI in CRC cells (green). The nuclear counter stain is DAPI (blue). Cells were fixed in paraformaldehyde, permeabilised with 0.25% Triton X100/PBS.
,

ICC staining Scavenging Receptor SR-BI in PC-12 cells (green). The nuclear counter stain is DAPI (blue). Cells were fixed in paraformaldehyde, permeabilised with 0.25% Triton X100/PBS.
风险提示:丁香通仅作为第三方平台,为商家信息发布提供平台空间。用户咨询产品时请注意保护个人信息及财产安全,合理判断,谨慎选购商品,商家和用户对交易行为负责。对于医疗器械类产品,请先查证核实企业经营资质和医疗器械产品注册证情况。
文献和实验h)即可。2. 修复大法——不仅仅是「煮一煮」微波炉修复:简单易行效果好,CST 推荐使用微波炉完成修复。合适的修复液:根据抗体说明书使用合适的修复液。用柠檬酸修复后,切片需浸泡在修复液中,自然冷却;而用 EDTA 修复后,切片可直接从修复缸中取出,直接进行下一步。注:使用不同的修复方式和不同生产商的抗体检测人肺癌组织中 EGFR 的表达。第一排为 CST 的 EGF Receptor (D38B1) XP® Rabbit mAb(#4267),EDTA 的修复方式明显优于柠檬酸盐及胃蛋白
Muscle contraction is affected by the rapid release of Ca2+ ions through Ca2+ - conducting channels localized in an intracellular mem- brane compartment, the sarcoplasmic reticulum (SR). The rabbit skel- etal muscle SR Ca2+ release channel
The OP9-DL1 System: Generation of T-Lymphocytes from Embryonic or Hematopoietic Stem Cells In Vitro
al. 2006b ). MATERIALS Reagents Anti-CD24 monoclonal antibody (mAb) (J11d clone) (for Protocol 3) Use either culture supernatant that contains anti-CD24 mAb or purified anti-CD24 mAb (see Step 55). BDPharmLyse (red blood cell lysing
技术资料暂无技术资料 索取技术资料





![CD4 Rabbit mAb[48889]](https://img1.dxycdn.com/p/s14/2025/0923/496/0462304380155040791.jpg!wh200)
![60S ribosomal protein L5 Polyclonal Conjugated Antibody[C42357]](https://img1.dxycdn.com/p/s14/2025/0923/278/4431488150116040791.jpg!wh200)
![PD-L1 Conjugated Antibody[C49251]](https://img1.dxycdn.com/p/s14/2025/0923/305/2150219664296040791.jpg!wh200)
![EPHB4 Antibody[33819]](https://img1.dxycdn.com/p/s14/2025/0922/359/6146153295428599691.jpg!wh200)
