相关产品推荐更多 >
万千商家帮你免费找货
0 人在求购买到急需产品
- 详细信息
- 文献和实验
- 技术资料
- 免疫原:
Synthetic peptide (KLH-coupled) within human TNNT2 1-100 aa.
- 形态:
liquid
- 保存条件:
Store at -20˚C
- 克隆性:
Polyclonal
- 适应物种:
Human;Mouse;Rat
- 保质期:
12 months
- 抗原来源:
Rabbit
- 供应商:
南京赛戈巍生物科技有限公司
- 宿主:
Rabbit
- 应用范围:
WB, IHC
- 靶点:
Uniprot:P45379
- 抗体英文名:
Cardiac Troponin /TTNNT2 Antibody
- 规格:
50ul/100ul
Cardiomyopathy dilated 1D (autosomal dominant) antibody
Cardiomyopathy hypertrophic 2 antibody
CMD1D antibody
CMH2 antibody
CMPD2 antibody
cTnT antibody
LVNC6 antibody
MGC3889 antibody
OTTHUMP00000033864 antibody
OTTHUMP00000033865 antibody
OTTHUMP00000033866 antibody
OTTHUMP00000033867 antibody
OTTHUMP00000033870 antibody
OTTHUMP00000218095 antibody
RCM3 antibody
TNNT 2 antibody
TNNT2 antibody
TNNT2_HUMAN antibody
TnTc antibody
Troponin T cardiac muscle antibody
Troponin T type 2 (cardiac) antibody
Troponin T type 2 cardiac antibody
Troponin T, cardiac muscle antibody
Troponin T2 cardiac antibody
计算分子量:36 kDa
配方:1*TBS (pH7.4), 1%BSA, 40%Glycerol. Preservative: 0.05% Sodium Azide.
应用详情:WB: 1:5000
IHC: 1:200
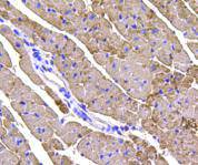
图片:

Western blot analysis of TNNT2 on different lysates using anti-TNNT2 antibody at 1/5,000 dilution.
,

Immunohistochemical analysis of paraffin-embedded mouse heart tissue using anti-TNNT2 antibody. Counter stained with hematoxylin.
风险提示:丁香通仅作为第三方平台,为商家信息发布提供平台空间。用户咨询产品时请注意保护个人信息及财产安全,合理判断,谨慎选购商品,商家和用户对交易行为负责。对于医疗器械类产品,请先查证核实企业经营资质和医疗器械产品注册证情况。
文献和实验Optimization of Cardiac Troponin I Pull-Down by Idm Affinity Beads and SELDI-TOF
Cardiac troponin I (cTnI) is a key regulator of cardiac muscle contraction. Upon myocardial cell injury, cTnI is lost from the cardiac myocyte and can be detected in serum, in some cases with specific disease-induced modifications, making
Assessment of patients with acute coronary syndromes (ACS), including chest pain, is often a diagnostic challenge to physicians. Biochemical markers of myocardial injury have become routine in assisting clinicians in confirming the diagnosis
Evaluation of the Cardiac Isoform of 2-Macroglobulin as a Factor Inducing Cardiac Hypertrophy
of cardiac hypertrophy. It was accompanied by enlargement of cardiac myocytes and induction of -myosin heavy chain (MHC) and MLC-2 gene expression. Multiple injections of 182-kDa protein-specific polyclonal antibody into the circulation of aorta-constricted
技术资料暂无技术资料 索取技术资料





![FGL2 Antibody[36481]](https://img1.dxycdn.com/p/s14/2025/0922/359/6146153295428599691.jpg!wh200)
![ALDH1B1 Polyclonal Antibody[40579]](https://img1.dxycdn.com/p/s14/2025/0922/568/0046652811090600791.jpg!wh200)

![GluR7 Conjugated Antibody[C33390]](https://img1.dxycdn.com/p/s14/2025/0923/278/4431488150116040791.jpg!wh200)

