相关产品推荐更多 >
万千商家帮你免费找货
0 人在求购买到急需产品
- 详细信息
- 询价记录
- 文献和实验
- 技术资料
- 免疫原:
Synthetic peptide within human RYR2 aa 1450-1550.
- 形态:
liquid
- 保存条件:
Store at -20˚C
- 克隆性:
Polyclonal
- 适应物种:
Human;Mouse;Rat
- 保质期:
12 months
- 抗原来源:
Rabbit
- 供应商:
南京赛戈巍生物科技有限公司
- 宿主:
Rabbit
- 应用范围:
WB,ICC,IHC,FC
- 靶点:
Uniprot:Q92736
- 抗体英文名:
RYR2 Antibody
- 规格:
50ul/100ul
ARVC2 antibody
ARVD2 antibody
Brain ryanodine receptor calcium release channel antibody
Brain type ryanodine receptor antibody
Cardiac muscle ryanodine receptor calcium release channel antibody
Cardiac muscle type ryanodine receptor antibody
CCO antibody
Central core disease of muscle antibody
HBRR antibody
hRYR 2 antibody
hRYR2 antibody
MHS antibody
MHS1 antibody
Ryanodine receptor 1 (skeletal) antibody
Ryanodine receptor 1 antibody
Ryanodine receptor 2 (cardiac) antibody
Ryanodine receptor 2 antibody
Ryanodine receptor 3 antibody
Ryanodine receptor type1 antibody
RYDR antibody
RYR 1 antibody
RYR 2 antibody
RYR 3 antibody
RYR antibody
RYR-1 antibody
RyR1 antibody
RYR1_HUMAN antibody
RYR2 antibody
RYR3 antibody
Sarcoplasmic reticulum calcium release channel antibody
Skeletal muscle calcium release channel antibody
Skeletal muscle ryanodine receptor antibody
Skeletal muscle type ryanodine receptor antibody
Skeletal muscle-type ryanodine receptor antibody
SKRR antibody
Type 1 like ryanodine receptor antibody
Type 1 ryanodine receptor antibody
VTSIP antibody
计算分子量:565 kDa
配方:1*TBS (pH7.4), 0.5%BSA, 50%Glycerol. Preservative: 0.05% Sodium Azide.
应用详情:WB: 1:500
IHC: 1:50-1:200
ICC: 1:50-1:100
FC: 1:50-1:100
图片:

Dot blot analysis of anti-RYR2 immunization peptide on PVDF. 1ug, 2ug and 4ug peptides were given in this test. Anti-RYR2 antibody was diluted with 1/500.
,

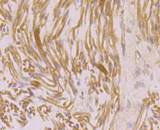
Immunohistochemical analysis of paraffin-embedded rat skeletal muscle tissue using anti-RYR2 antibody. Counter stained with hematoxylin.
,

Immunohistochemical analysis of paraffin-embedded human fetal skeletal muscle tissue using anti-RYR2 antibody. Counter stained with hematoxylin.
,

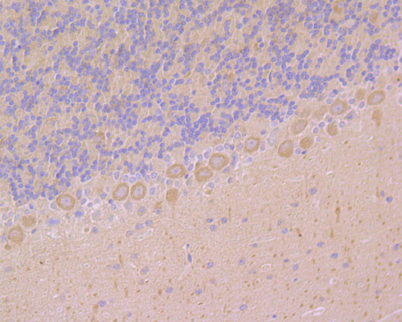
Immunohistochemical analysis of paraffin-embedded mouse cerebellum tissue using anti-RYR2 antibody. Counter stained with hematoxylin.
,

ICC staining RYR2 in 293T cells (green). The nuclear counter stain is DAPI (blue). Cells were fixed in paraformaldehyde, permeabilised with 0.25% Triton X100/PBS.
,

ICC staining RYR2 in LOVO cells (green). The nuclear counter stain is DAPI (blue). Cells were fixed in paraformaldehyde, permeabilised with 0.25% Triton X100/PBS.
,

ICC staining RYR2 in SH-SY-5Y cells (green). The nuclear counter stain is DAPI (blue). Cells were fixed in paraformaldehyde, permeabilised with 0.25% Triton X100/PBS.
,

Flow cytometric analysis of 293T cells with RYR2 antibody at 1/100 dilution (fuchsia) compared with an unlabelled control (cells without incubation with primary antibody; yellow). Alexa Fluor 488-conjugated goat anti-rabbit IgG was used as the secondary antibody.
风险提示:丁香通仅作为第三方平台,为商家信息发布提供平台空间。用户咨询产品时请注意保护个人信息及财产安全,合理判断,谨慎选购商品,商家和用户对交易行为负责。对于医疗器械类产品,请先查证核实企业经营资质和医疗器械产品注册证情况。
- 作者
- 内容
- 询问日期
文献和实验Generation of Antibody Molecules Through Antibody Engineering
been overcome to a large extent using genetic-engineering techniques to produce chimeric mouse/human and completely human antibodies. Such an approach is particularly suitable because of the domain structure of the antibody molecule ( 2 ), where functional
The importance of antibody molecules was first recognized in the 1890s, when it was shown that immunity to tetanus and diphtheria was caused by antibodies against the bacterial exotoxins (1 ). Around the same time, it was shown that antisera
General comments: Antibodies, like most proteins, do not like to be freeze-thawed. Avoid repetitive freezing of your solution. The best way to store your antibody is to keep a high protein concentration (>1 mg/ml), add some protease
技术资料暂无技术资料 索取技术资料





![RRP1 Conjugated Antibody[C47252]](https://img1.dxycdn.com/p/s14/2025/0923/278/4431488150116040791.jpg!wh200)
![PC antibody[38807]](https://img1.dxycdn.com/p/s14/2025/0922/359/6146153295428599691.jpg!wh200)
![TPH1 (phospho-Ser260) Polyclonal Antibody[13472]](https://img1.dxycdn.com/p/s14/2025/0922/498/0460884283108299691.jpg!wh200)
![APAF1 Antibody[48182]](https://img1.dxycdn.com/p/s14/2025/0923/496/0462304380155040791.jpg!wh200)

