相关产品推荐更多 >
万千商家帮你免费找货
0 人在求购买到急需产品
- 详细信息
- 文献和实验
- 技术资料
- 免疫原:
Recombinant protein
- 形态:
liquid
- 保存条件:
Store at -20˚C
- 克隆性:
Polyclonal
- 适应物种:
Human;Mouse
- 保质期:
12 months
- 抗原来源:
Rabbit
- 供应商:
南京赛戈巍生物科技有限公司
- 宿主:
Rabbit
- 应用范围:
ICC,IHC,FC
- 靶点:
Uniprot:P02786
- 抗体英文名:
CD71 Antibody
- 规格:
50ul/100ul
CD71 antibody
CD71 antigen antibody
IMD46 antibody
OTTHUMP00000208523 antibody
OTTHUMP00000208524 antibody
OTTHUMP00000208525 antibody
p90 antibody
sTfR antibody
T9 antibody
TFR 1 antibody
TfR antibody
TfR1 antibody
TFR1_HUMAN antibody
TFRC antibody
TR antibody
Transferrin receptor (p90 CD71) antibody
Transferrin receptor protein 1, serum form antibody
Trfr antibody
计算分子量:84 kDa
配方:1*TBS (pH7.4), 0.5%BSA, 50%Glycerol. Preservative: 0.05% Sodium Azide.
应用详情:
IHC: 1:50-1:200
ICC: 1:50-1:200
FC: 1:50-1:100
图片:

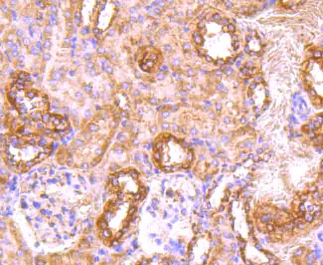
Immunohistochemical analysis of paraffin-embedded mouse kidney tissue using anti-CD71 antibody. Counter stained with hematoxylin.
,

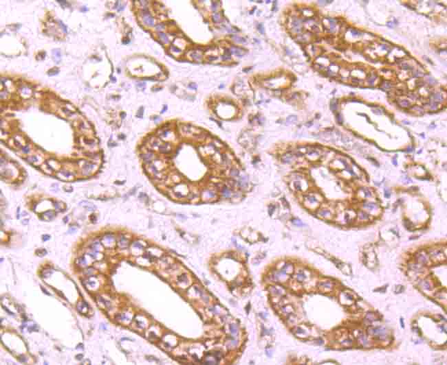
Immunohistochemical analysis of paraffin-embedded human kidney tissue using anti-CD71 antibody. Counter stained with hematoxylin.
,

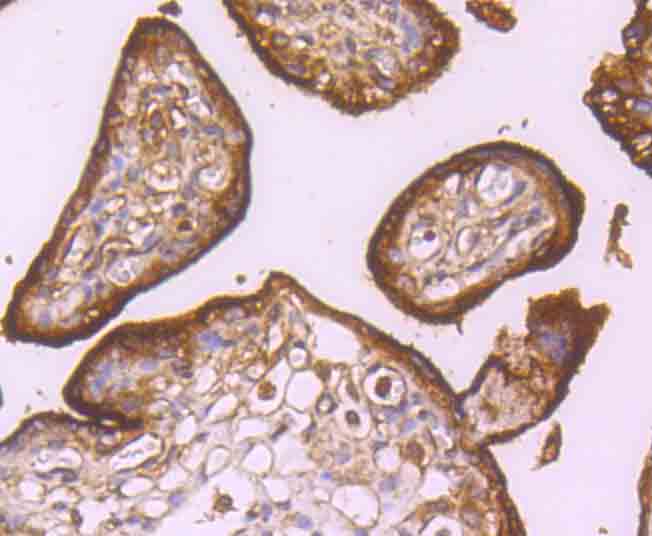
Immunohistochemical analysis of paraffin-embedded human placenta tissue using anti-CD71 antibody. Counter stained with hematoxylin.
,

Immunohistochemical analysis of paraffin-embedded mouse brain tissue using anti-CD71 antibody. Counter stained with hematoxylin.
,

ICC staining CD71 in PC-3M cells (green). The nuclear counter stain is DAPI (blue). Cells were fixed in paraformaldehyde, permeabilised with 0.25% Triton X100/PBS.
,

ICC staining CD71 in A549 cells (green). The nuclear counter stain is DAPI (blue). Cells were fixed in paraformaldehyde, permeabilised with 0.25% Triton X100/PBS.
,

ICC staining CD71 in MCF-7 cells (green). The nuclear counter stain is DAPI (blue). Cells were fixed in paraformaldehyde, permeabilised with 0.25% Triton X100/PBS.
,

Flow cytometric analysis of HL-60 cells with CD71 antibody at 1/100 dilution (red) compared with an unlabelled control (cells without incubation with primary antibody; black). Alexa Fluor 488-conjugated Goat anti rabbit IgG was used as the secondary antibody.
风险提示:丁香通仅作为第三方平台,为商家信息发布提供平台空间。用户咨询产品时请注意保护个人信息及财产安全,合理判断,谨慎选购商品,商家和用户对交易行为负责。对于医疗器械类产品,请先查证核实企业经营资质和医疗器械产品注册证情况。
文献和实验CD71 分子 CD71 常用单克隆抗体或代号: OKT9;(TfR) 主要表达细胞: Mac,增殖细胞 [NL] 分子质量(kDa)和结构: p95(同源二聚体) 功 能:结合白细胞生长 CD71 Aka transferrin receptor Present on actively proliferating cells; essential for iron
Generation of Antibody Molecules Through Antibody Engineering
been overcome to a large extent using genetic-engineering techniques to produce chimeric mouse/human and completely human antibodies. Such an approach is particularly suitable because of the domain structure of the antibody molecule ( 2 ), where functional
The importance of antibody molecules was first recognized in the 1890s, when it was shown that immunity to tetanus and diphtheria was caused by antibodies against the bacterial exotoxins (1 ). Around the same time, it was shown that antisera
技术资料暂无技术资料 索取技术资料





![AGXT2L2 Antibody[36066]](https://img1.dxycdn.com/p/s14/2025/0922/359/6146153295428599691.jpg!wh200)
![ELOVL6 Conjugated Antibody[C37545]](https://img1.dxycdn.com/p/s14/2025/0923/278/4431488150116040791.jpg!wh200)

![4E-BP1 Mouse mAb[63000]](https://img1.dxycdn.com/p/s14/2025/0922/632/2321321568067599691.jpg!wh200)
![Rabbit Anti-Mouse IgG (H&L) - AF790[L35639]](https://img1.dxycdn.com/p/s14/2025/0922/498/0460884283108299691.jpg!wh200)

