相关产品推荐更多 >
万千商家帮你免费找货
0 人在求购买到急需产品
- 详细信息
- 文献和实验
- 技术资料
- 免疫原:
Recombinant protein within human Bmi1 full sequence.
- 形态:
liquid
- 保存条件:
Store at -20˚C
- 克隆性:
Monoclonal
- 适应物种:
Human;Mouse;Rat
- 保质期:
12 months
- 抗原来源:
Mouse
- 供应商:
南京赛戈巍生物科技有限公司
- 宿主:
Mouse
- 应用范围:
WB, ICC, IHC, FC
- 靶点:
Uniprot:P35226
- 抗体英文名:
Bmi1 Antibody
- 规格:
50ul/100ul
B lymphoma Mo MLV insertion region 1 homolog antibody
Bmi 1 antibody
BMI1 antibody
BMI1 polycomb ring finger oncogene antibody
BMI1_HUMAN antibody
Flvi 2/bmi 1 antibody
FLVI2/BMI1 antibody
MGC12685 antibody
Murine leukemia viral (bmi 1) oncogene homolog antibody
Oncogene BMI 1 antibody
PCGF 4 antibody
PCGF4 antibody
Polycomb complex protein BMI 1 antibody
Polycomb complex protein BMI-1 antibody
Polycomb group protein Bmi1 antibody
Polycomb group ring finger 4 antibody
Polycomb group RING finger protein 4 antibody
RING finger protein 51 antibody
RNF 51 antibody
RNF51 antibody
计算分子量:37kDa
配方:1*TBS (pH7.4), 1%BSA, 40%Glycerol. Preservative: 0.05% Sodium Azide.
应用详情:WB: 1:1,000
IHC: 1:200
ICC: 1:200
FC: 1:100-1:200
图片:

Western blot analysis of Bmi1 on different lysates using anti-Bmi1 antibody at 1/1,000 dilution.
Positive control: Lane 1: 293T Lane 2: Jurkat Lane 3: Hela Lane 4: MCF-7 Lane 5: HepG2 Lane 6: NIH/3T3 Lane 7: PC12 Lane 8: Mouse kidney Lane 9: Human kidney Lane 10: K562 Lane 11: Human brain,

Immunohistochemical analysis of paraffin-embedded human tonsil tissue using anti-Bmi1 antibody. Counter stained with hematoxylin.
,

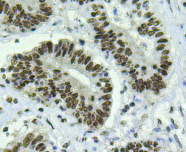
Immunohistochemical analysis of paraffin-embedded human colon cancer tissue using anti-Bmi1 antibody. Counter stained with hematoxylin.
,

Immunohistochemical analysis of paraffin-embedded human breast cancer tissue using anti-BMI1 antibody. Counter stained with hematoxylin.
,

ICC staining Bmi1 in A549 cells (red). Cells were fixed in paraformaldehyde, permeabilised with 0.25% Triton X100/PBS.
,

ICC staining Bmi1 in Lovo cells (red). Cells were fixed in paraformaldehyde, permeabilised with 0.25% Triton X100/PBS.
,

ICC staining Bmi1 in Hela cells (red). Cells were fixed in paraformaldehyde, permeabilised with 0.25% Triton X100/PBS.
,

Flow cytometric analysis of Hela cells with BMI1 antibody at 1/100 dilution (blue) compared with an unlabelled control (cells without incubation with primary antibody; red). Goat anti mouse IgG (FITC) was used as the secondary antibody.
风险提示:丁香通仅作为第三方平台,为商家信息发布提供平台空间。用户咨询产品时请注意保护个人信息及财产安全,合理判断,谨慎选购商品,商家和用户对交易行为负责。对于医疗器械类产品,请先查证核实企业经营资质和医疗器械产品注册证情况。
文献和实验Generation of Antibody Molecules Through Antibody Engineering
been overcome to a large extent using genetic-engineering techniques to produce chimeric mouse/human and completely human antibodies. Such an approach is particularly suitable because of the domain structure of the antibody molecule ( 2 ), where functional
The importance of antibody molecules was first recognized in the 1890s, when it was shown that immunity to tetanus and diphtheria was caused by antibodies against the bacterial exotoxins (1 ). Around the same time, it was shown that antisera
General comments: Antibodies, like most proteins, do not like to be freeze-thawed. Avoid repetitive freezing of your solution. The best way to store your antibody is to keep a high protein concentration (>1 mg/ml), add some protease
技术资料暂无技术资料 索取技术资料





![ADGRA1 Antibody[47777]](https://img1.dxycdn.com/p/s14/2025/0923/496/0462304380155040791.jpg!wh200)
![Bag1 Conjugated Antibody[C57042]](https://img1.dxycdn.com/p/s14/2025/0922/632/2321321568067599691.jpg!wh200)
![GFM2 Antibody[34668]](https://img1.dxycdn.com/p/s14/2025/0922/359/6146153295428599691.jpg!wh200)

