相关产品推荐更多 >
万千商家帮你免费找货
0 人在求购买到急需产品
- 详细信息
- 文献和实验
- 技术资料
- 免疫原:
Recombinant protein
- 形态:
liquid
- 保存条件:
Store at -20˚C
- 克隆性:
Monoclonal
- 适应物种:
Human;Mouse
- 保质期:
12 months
- 抗原来源:
Mouse
- 供应商:
南京赛戈巍生物科技有限公司
- 宿主:
Mouse
- 应用范围:
WB, IHC, FC
- 靶点:
Uniprot:Q5VWX1
- 抗体英文名:
KHDRBS2 Antibody
- 规格:
50ul/100ul
6330586C16Rik antibody
bA535F17.1 antibody
FLJ38664 antibody
hSLM 1 antibody
hSLM-1 antibody
KH domain containing, RNA binding, signal transduction associated 2 antibody
KH domain-containing antibody
KHDR2_HUMAN antibody
khdrbs2 antibody
MGC26664 antibody
RNA-binding antibody
Sam68 like mammalian protein 1 antibody
Sam68-like mammalian protein 1 antibody
signal transduction-associated protein 2 antibody
SLM 1 antibody
SLM-1 antibody
SLM1 antibody
计算分子量:39 kDa
配方:1*TBS (pH7.4), 1%BSA, 40%Glycerol. Preservative: 0.05% Sodium Azide.
应用详情:WB: 1:500-1:2,000
IHC: 1:50-1:200
FC: 1:50-1:100
图片:

Western blot analysis of KHDRBS2 on human KHDRBS2 recombinant protein using anti-KHDRBS2 antibody at 1/1,000 dilution.
,

Western blot analysis of KHDRBS2 on different cell lysate using anti-KHDRBS2 antibody at 1/1,000 dilution. Positive control?? Line1: K562 Line2: HEK293 Line3: NTERA-2 Line4: Hela Line5: HepG2 Line6: Jurkat Line7: A431 Line8: NIH/3T3
,

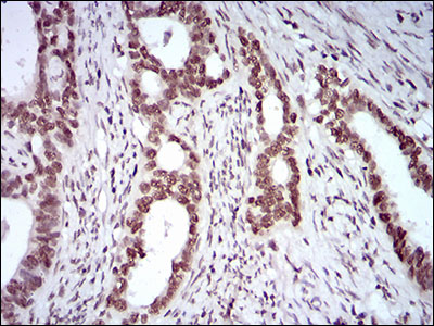
Immunohistochemical analysis of paraffin-embedded human cervical cancer tissue using anti-KHDRBS2 antibody. Counter stained with hematoxylin.
,

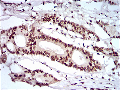
Immunohistochemical analysis of paraffin-embedded human colon cancer tissue using anti-KHDRBS2 antibody. Counter stained with hematoxylin.
,

Flow cytometric analysis of K562 cells with KHDRBS2 antibody at 1/100 dilution (green) compared with an unlabelled control (cells without incubation with primary antibody; red).
风险提示:丁香通仅作为第三方平台,为商家信息发布提供平台空间。用户咨询产品时请注意保护个人信息及财产安全,合理判断,谨慎选购商品,商家和用户对交易行为负责。对于医疗器械类产品,请先查证核实企业经营资质和医疗器械产品注册证情况。
文献和实验Generation of Antibody Molecules Through Antibody Engineering
been overcome to a large extent using genetic-engineering techniques to produce chimeric mouse/human and completely human antibodies. Such an approach is particularly suitable because of the domain structure of the antibody molecule ( 2 ), where functional
The importance of antibody molecules was first recognized in the 1890s, when it was shown that immunity to tetanus and diphtheria was caused by antibodies against the bacterial exotoxins (1 ). Around the same time, it was shown that antisera
General comments: Antibodies, like most proteins, do not like to be freeze-thawed. Avoid repetitive freezing of your solution. The best way to store your antibody is to keep a high protein concentration (>1 mg/ml), add some protease
技术资料暂无技术资料 索取技术资料






![TXN2 Antibody[42778]](https://img1.dxycdn.com/p/s14/2025/0922/568/0046652811090600791.jpg!wh200)
![GPC5 Antibody[35326]](https://img1.dxycdn.com/p/s14/2025/0922/359/6146153295428599691.jpg!wh200)
![ALKBH5 Polyclonal Antibody[48826]](https://img1.dxycdn.com/p/s14/2025/0922/632/2321321568067599691.jpg!wh200)
![RC3H1 Polyclonal Antibody[29344]](https://img1.dxycdn.com/p/s14/2025/0923/305/2150219664296040791.jpg!wh200)

