相关产品推荐更多 >
万千商家帮你免费找货
0 人在求购买到急需产品
- 详细信息
- 文献和实验
- 技术资料
- 免疫原:
Peptide
- 形态:
liquid
- 保存条件:
Store at -20˚C
- 克隆性:
Polyclonal
- 适应物种:
Human;Mouse;Rat
- 保质期:
12 months
- 抗原来源:
Rabbit
- 供应商:
南京赛戈巍生物科技有限公司
- 宿主:
Rabbit
- 应用范围:
WB, ICC, IHC
- 靶点:
Uniprot:P11142
- 抗体英文名:
Hsc70 Antibody
- 规格:
50ul/100ul
Constitutive heat shock protein 70 antibody
Epididymis luminal protein 33 antibody
Epididymis secretory sperm binding protein Li 72p antibody
Heat shock 70 kDa protein 8 antibody
Heat shock 70kD protein 10 antibody
Heat shock 70kD protein 8 antibody
Heat shock 70kDa protein 8 antibody
Heat shock cognate 71 kDa protein antibody
Heat shock cognate protein 54 antibody
Heat shock cognate protein 71 kDa antibody
Heat shock protein 8 antibody
Heat shock protein A8 antibody
Heat shock protein family A (Hsp70) member 8 antibody
Heat-shock70-KD protein 10, formerly antibody
HEL 33 antibody
HEL S 72p antibody
HSC54 antibody
HSC71 antibody
Hsc73 antibody
HSP71 antibody
HSP73 antibody
HSP7C_HUMAN antibody
HSPA10 antibody
HSPA8 antibody
LAP1 antibody
Lipopolysaccharide associated protein 1 antibody
LPS associated protein 1 antibody
LPS associated protein antibody
MGC102007 antibody
MGC106514 antibody
MGC114311 antibody
MGC118485 antibody
MGC131511 antibody
MGC29929 antibody
N-myristoyltransferase inhibitor protein 71 antibody
NIP71 antibody
计算分子量:71 kDa
配方:1*TBS (pH7.4), 1%BSA, 40%Glycerol. Preservative: 0.05% Sodium Azide.
应用详情:WB: 1:500-1:1,000
IHC: 1:50-1:200
ICC: 1:50-1:200
图片:

Western blot analysis of HSC70 on different cell lysate using anti- HSC70 antibody at 1/1,000 dilution. Positive control?? Lane1: HepG2
Lane2: Hela
Lane3: NIH-3T3
Lane4: F9
Lane5: PC-12
,

Immunohistochemical analysis of paraffin-embedded human breast tissue using anti- HSC70 antibody. Counter stained with hematoxylin.
,

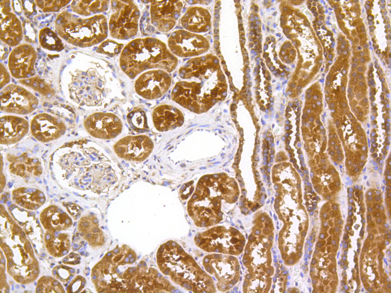
Immunohistochemical analysis of paraffin-embedded human kidney tissue using anti- HSC70 antibody. Counter stained with hematoxylin.
,

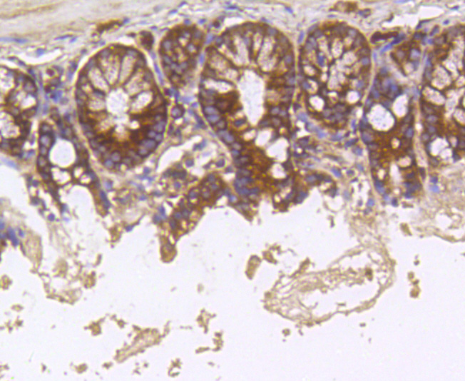
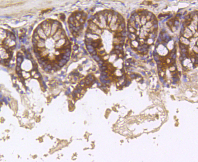
Immunohistochemical analysis of paraffin-embedded mouse colon tissue using anti- HSC70 antibody. Counter stained with hematoxylin.
,

,

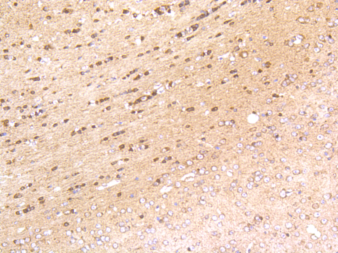
Immunohistochemical analysis of paraffin-embedded mouse brain tissue using anti- HSC70 antibody. Counter stained with hematoxylin.
,

ICC staining HSC70 in Hela cells (green). The nuclear counter stain is DAPI (blue). Cells were fixed in paraformaldehyde, permeabilised with 0.25% Triton X100/PBS.
,

ICC staining HSC70 in MCF-7 cells (green). The nuclear counter stain is DAPI (blue). Cells were fixed in paraformaldehyde, permeabilised with 0.25% Triton X100/PBS.
,

ICC staining HSC70 in SW480 cells (green). The nuclear counter stain is DAPI (blue). Cells were fixed in paraformaldehyde, permeabilised with 0.25% Triton X100/PBS.
风险提示:丁香通仅作为第三方平台,为商家信息发布提供平台空间。用户咨询产品时请注意保护个人信息及财产安全,合理判断,谨慎选购商品,商家和用户对交易行为负责。对于医疗器械类产品,请先查证核实企业经营资质和医疗器械产品注册证情况。
文献和实验Generation of Antibody Molecules Through Antibody Engineering
been overcome to a large extent using genetic-engineering techniques to produce chimeric mouse/human and completely human antibodies. Such an approach is particularly suitable because of the domain structure of the antibody molecule ( 2 ), where functional
The importance of antibody molecules was first recognized in the 1890s, when it was shown that immunity to tetanus and diphtheria was caused by antibodies against the bacterial exotoxins (1 ). Around the same time, it was shown that antisera
General comments: Antibodies, like most proteins, do not like to be freeze-thawed. Avoid repetitive freezing of your solution. The best way to store your antibody is to keep a high protein concentration (>1 mg/ml), add some protease
技术资料暂无技术资料 索取技术资料





![SLC18A3 Antibody[47454]](https://img1.dxycdn.com/p/s14/2025/0923/496/0462304380155040791.jpg!wh200)
![MADD Antibody[33997]](https://img1.dxycdn.com/p/s14/2025/0922/359/6146153295428599691.jpg!wh200)
![SIGLEC12 Antibody[40105]](https://img1.dxycdn.com/p/s14/2025/0922/568/0046652811090600791.jpg!wh200)
