相关产品推荐更多 >
万千商家帮你免费找货
0 人在求购买到急需产品
- 详细信息
- 文献和实验
- 技术资料
- 免疫原:
Recombinant protein
- 形态:
liquid
- 保存条件:
Store at -20˚C
- 克隆性:
Polyclonal
- 适应物种:
Human;Mouse
- 保质期:
12 months
- 抗原来源:
Rabbit
- 供应商:
南京赛戈巍生物科技有限公司
- 宿主:
Rabbit
- 应用范围:
WB,ICC,IHC,FC
- 靶点:
Uniprot:Q86UE4
- 抗体英文名:
Metadherin(LYRIC) Antibody
- 规格:
50ul/100ul
3D3/LYRIC antibody
AEG 1 antibody
AEG-1 antibody
AEG1 antibody
Astrocyte elevated gene 1 antibody
Astrocyte elevated gene-1 protein antibody
LYRIC antibody
LYRIC/3D3 antibody
LYRIC_HUMAN antibody
Lysine rich CEACAM1 associated protein antibody
Lysine rich CEACAM1 co isolated protein antibody
Lysine-rich CEACAM1 co-isolated protein antibody
Metadherin antibody
Metastasis adhesion protein antibody
MTDH antibody
Protein LYRIC antibody
计算分子量:64 kDa
配方:1*TBS (pH7.4), 1%BSA, 40%Glycerol. Preservative: 0.05% Sodium Azide.
应用详情:
WB: 1:500-1:2,000
IHC: 1:100-1:500
ICC: 1:50-1:200
FC: 1:50-1:200
图片:

Western blot analysis of Metadherin(LYRIC) on human skeletal muscle tissue (1) and MCF-7 cell (2) lysate using anti-Metadherin(LYRIC) antibody at 1/1,000 dilution.
,

Immunohistochemical analysis of paraffin-embedded human breast tissue using anti-Metadherin(LYRIC) antibody. Counter stained with hematoxylin.
,

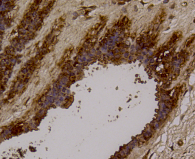
Immunohistochemical analysis of paraffin-embedded mouse brain tissue using anti-Metadherin(LYRIC) antibody. Counter stained with hematoxylin.
,

ICC staining Metadherin(LYRIC) in Hela cells (green). The nuclear counter stain is DAPI (blue). Cells were fixed in paraformaldehyde, permeabilised with 0.25% Triton X100/PBS.
,

ICC staining Metadherin(LYRIC) in MCF-7 cells (green). The nuclear counter stain is DAPI (blue). Cells were fixed in paraformaldehyde, permeabilised with 0.25% Triton X100/PBS.
,

ICC staining Metadherin(LYRIC) in N2A cells (green). The nuclear counter stain is DAPI (blue). Cells were fixed in paraformaldehyde, permeabilised with 0.25% Triton X100/PBS.
,

Flow cytometric analysis of SH-SY5Y cells with Metadherin(LYRIC) antibody at 1/100 dilution (red) compared with an unlabelled control (cells without incubation with primary antibody; black).
,

风险提示:丁香通仅作为第三方平台,为商家信息发布提供平台空间。用户咨询产品时请注意保护个人信息及财产安全,合理判断,谨慎选购商品,商家和用户对交易行为负责。对于医疗器械类产品,请先查证核实企业经营资质和医疗器械产品注册证情况。
文献和实验Generation of Antibody Molecules Through Antibody Engineering
been overcome to a large extent using genetic-engineering techniques to produce chimeric mouse/human and completely human antibodies. Such an approach is particularly suitable because of the domain structure of the antibody molecule ( 2 ), where functional
The importance of antibody molecules was first recognized in the 1890s, when it was shown that immunity to tetanus and diphtheria was caused by antibodies against the bacterial exotoxins (1 ). Around the same time, it was shown that antisera
General comments: Antibodies, like most proteins, do not like to be freeze-thawed. Avoid repetitive freezing of your solution. The best way to store your antibody is to keep a high protein concentration (>1 mg/ml), add some protease
技术资料暂无技术资料 索取技术资料





![MARCKS Polyclonal Antibody[27245]](https://img1.dxycdn.com/p/s14/2025/0923/305/2150219664296040791.jpg!wh200)

![Serum paraoxonase/arylesterase 1 Polyclonal Conjugated Antibody[C42298]](https://img1.dxycdn.com/p/s14/2025/0923/278/4431488150116040791.jpg!wh200)
![FSH receptor Polyclonal Antibody FITC Conjugated[C91499FITC]](https://img1.dxycdn.com/p/s14/2025/0922/498/0460884283108299691.jpg!wh200)
