相关产品推荐更多 >
万千商家帮你免费找货
0 人在求购买到急需产品
- 详细信息
- 文献和实验
- 技术资料
- 免疫原:
peptide
- 形态:
liquid
- 保存条件:
Store at -20˚C
- 克隆性:
Polyclonal
- 适应物种:
Human;Mouse;Rat
- 保质期:
12 months
- 抗原来源:
Rabbit
- 供应商:
南京赛戈巍生物科技有限公司
- 宿主:
Rabbit
- 应用范围:
IHC
- 靶点:
Uniprot:P29474
- 抗体英文名:
eNOS Antibody
- 规格:
50ul/100ul
EC NOS antibody
EC-NOS antibody
ecNOS antibody
Endothelial nitric oxidase synthase antibody
Endothelial nitric oxide synthase antibody
Endothelial nitric oxide synthase 3 antibody
Endothelial NOS antibody
eNOS antibody
Nitric oxide synthase 3 (endothelial cell) antibody
Nitric oxide synthase 3 antibody
Nitric oxide synthase 3 endothelial cell antibody
Nitric oxide synthase endothelial antibody
Nitric oxide synthase, endothelial antibody
NOS 3 antibody
NOS III antibody
NOS type III antibody
NOS3 antibody
NOS3_HUMAN antibody
NOSIII antibody
配方:1*TBS (pH7.4), 1%BSA, 40%Glycerol. Preservative: 0.05% Sodium Azide.
应用详情:
IHC: 1:50-1:100
图片:

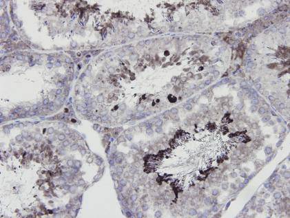
Immunohistochemical analysis of paraffin-embedded mouse testis tissue using anti- eNOS rabbit polyclonal antibody.
,

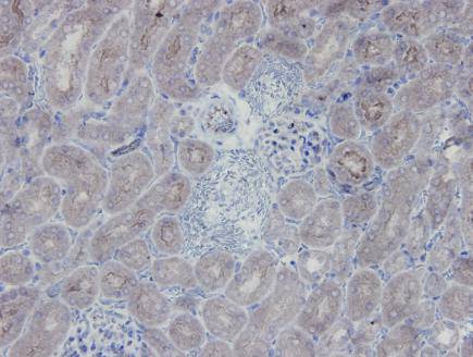
Immunohistochemical analysis of paraffin-embedded mouse kidney tissue using anti- eNOS rabbit polyclonal antibody.
,

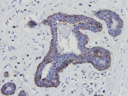
Immunohistochemical analysis of paraffin-embedded human mammary gland tissue using anti-eNOS rabbit polyclonal antibody.
,

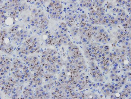
Immunohistochemical analysis of paraffin-embedded human liver carcinoma tissue using anti-eNOS rabbit polyclonal antibody.
风险提示:丁香通仅作为第三方平台,为商家信息发布提供平台空间。用户咨询产品时请注意保护个人信息及财产安全,合理判断,谨慎选购商品,商家和用户对交易行为负责。对于医疗器械类产品,请先查证核实企业经营资质和医疗器械产品注册证情况。
文献和实验【求助】使用eNOS的抑制剂L-NAME后对eNOS的磷酸化有影响吗?
cwqq2003 请问大家使用eNOS的抑制剂L-NAME后对eNOS的磷酸化有影响吗? freecell 以前的研究结果: http://www.actaps.com.cn/qikan/cpaper/zhaiyao.asp?bsid=599454 jempoo Circulation. 2002 Mar 26;105(12):1497-502.
Expression of Human eNOS in Cardiac and Endothelial Cells
In this chapter we provide a detailed technique-focused protocol for expression of human endothelial nitric oxide synthase (eNOS) gene delivered by replication-deficient adenovirus. It includes construction of recombinant plasmid with human
Generation of Antibody Molecules Through Antibody Engineering
been overcome to a large extent using genetic-engineering techniques to produce chimeric mouse/human and completely human antibodies. Such an approach is particularly suitable because of the domain structure of the antibody molecule ( 2 ), where functional
技术资料暂无技术资料 索取技术资料





![Gamma-aminobutyric acid receptor-associated protein-like 2 Polyclonal Antibody[42395]](https://img1.dxycdn.com/p/s14/2025/0922/568/0046652811090600791.jpg!wh200)
![Retinoid X Receptor γ Conjugated Antibody[C33481]](https://img1.dxycdn.com/p/s14/2025/0923/278/4431488150116040791.jpg!wh200)
![HDAC6 Polyclonal Antibody[29073]](https://img1.dxycdn.com/p/s14/2025/0923/305/2150219664296040791.jpg!wh200)


