相关产品推荐更多 >
万千商家帮你免费找货
0 人在求购买到急需产品
- 详细信息
- 文献和实验
- 技术资料
- 免疫原:
peptide
- 形态:
liquid
- 保存条件:
Store at -20˚C
- 克隆性:
Polyclonal
- 适应物种:
Mouse
- 保质期:
12 months
- 抗原来源:
Rabbit
- 供应商:
南京赛戈巍生物科技有限公司
- 宿主:
Rabbit
- 应用范围:
WB,ICC,IHC
- 靶点:
Uniprot:Q9Z0E3
- 抗体英文名:
Autoimmune regulator Antibody
- 规格:
50ul/100ul
AIRE_HUMAN antibody
AIRE1 antibody
APECED antibody
APECED protein antibody
APS1 antibody
APSI antibody
Autoimmune polyendocrinopathy candidiasis ectodermal dystrophy protein antibody
Autoimmune regulator antibody
Autoimmune regulator protein antibody
PGA1 antibody
计算分子量:59 kDa
配方:1*TBS (pH7.4), 1%BSA, 40%Glycerol. Preservative: 0.05% Sodium Azide.
应用详情:WB: 1:2,000
IHC: 1:100
ICC: 1:500
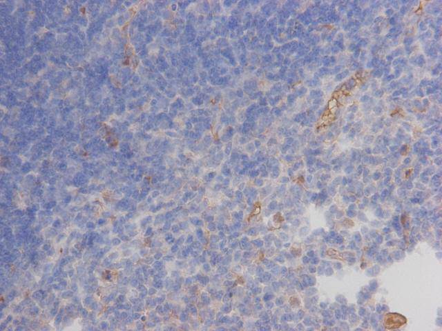
图片:

Western blot analysis on 293 cell (A) transfected and (B) none transfected with AIRE gene using anti-AIRE polyclonal antibody.
,

Immunohistochemistry- staining AIRE in mouse thymus by Immunohistochemistry using formalin-fixed, paraffin-embedded tissue.
,

AIRE staining (red) in mouse embryonic stem cells (D3) by immunocytochemistry, nuclear staining with DAPI (blue) and SSEA-1 staining (green).
风险提示:丁香通仅作为第三方平台,为商家信息发布提供平台空间。用户咨询产品时请注意保护个人信息及财产安全,合理判断,谨慎选购商品,商家和用户对交易行为负责。对于医疗器械类产品,请先查证核实企业经营资质和医疗器械产品注册证情况。
文献和实验Anticardiolipin Antibody and Anti-beta 2 Glycoprotein I Antibody Assays
Antiphospholipid syndrome (APS) is an autoimmune disease and is a risk factor for a number of clinical manifestations; the classic presentations include fetal death or thrombosis (arterial or venous thromboembolism), in the presence
Evaluating Modulators of “Regulator of G‐protein Signaling” (RGS) Proteins
Abstract Table of Contents Materials Figures Literature Cited Abstract ?Regulator of G
Mouse Models of Autoimmune Blistering Diseases Induced by the Passive Transfer of Antibodies
Passive transfer of IgG into neonatal mice is a potential method of reproducing antibody-mediated blistering skin diseases. The major autoantigen for bullous pemphigoid is collagen XVII (COL17)/BP180, which is an epidermal linker
技术资料暂无技术资料 索取技术资料





![MATK Antibody[35281]](https://img1.dxycdn.com/p/s14/2025/0922/359/6146153295428599691.jpg!wh200)
![HDGFRP2 Polyclonal Antibody[30944]](https://img1.dxycdn.com/p/s14/2025/0923/305/2150219664296040791.jpg!wh200)
![ZBTB43 Conjugated Antibody[C47708]](https://img1.dxycdn.com/p/s14/2025/0923/278/4431488150116040791.jpg!wh200)
