相关产品推荐更多 >
万千商家帮你免费找货
0 人在求购买到急需产品
- 详细信息
- 文献和实验
- 技术资料
- 免疫原:
Recombinant ZAP-70 protein including residues 1-254 and encompassing SH2 domains of human ZAP70
- 亚型:
IgG2a
- 形态:
Liquid
- 保存条件:
Store as concentrated solution. Centrifuge briefly prior to opening vial. For short-term storage (1-2 weeks), store at 4ºC. For long-term storage, aliquot and store at -20ºC or below. Avoid multiple freeze-thaw cycles.
- 克隆性:
Monoclonal
- 标记物:
Unconjugated
- 适应物种:
Human
- 保质期:
12 months from the shipping date of the product.
- 抗原来源:
Human
- 目录编号:
GTX35177
- 级别:
Primary Antibodies
- 库存:
Available
- 供应商:
GeneTex
- 宿主:
Mouse
- 应用范围:
ICC/IF, IHC-P, FACS
- 浓度:
0.2 mg/ml (Please refer to the vial label for the specific concentration.)
- 靶点:
ZAP70
- 抗体英文名:
ZAP70 antibody [2F3.2]
- 抗体名:
ZAP70 抗体 [2F3.2]
- 规格:
100 μg
FACS analysis of PFA-fixed Jurkat cells using GTX35177 ZAP70 antibody [2F3.2].
Blue : Primary antibody
Red : Isotype control
ICC/IF analysis of PFA-fixed Jurkat cells using GTX35177 ZAP70 antibody [2F3.2].
Green : Primary antibody
Red : nucleus
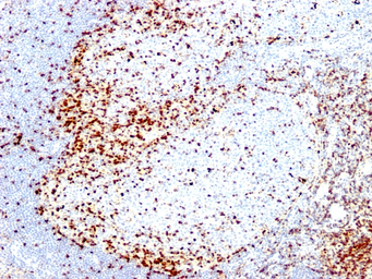
IHC-P analysis of human tonsil tissue using GTX35177 ZAP70 antibody [2F3.2].
风险提示:丁香通仅作为第三方平台,为商家信息发布提供平台空间。用户咨询产品时请注意保护个人信息及财产安全,合理判断,谨慎选购商品,商家和用户对交易行为负责。对于医疗器械类产品,请先查证核实企业经营资质和医疗器械产品注册证情况。
文献和实验to 1 liter with Qcheck to make sure pH is 3.0(2) Affigel Blue Running Buffer10 mM K2HPO4 2.28 g K2HPO40.15 M NaCl 8.2 g NaCl0.02% azide 0.2 g Na azideup to 1 liter with Q(3) 1.4 M NaCl8.1 g NaClup to 100 ml with Q(4) Saturated NH4SO4767 g NH4SO4add 1 liter Q
mls of PBS. Put 200 ul (3 mg/ml) of the antibody to an eppendorf tube. Add 0.8 mls of PBS. Pellet 1 ml of the cell suspension and discard the PBS supernatant. Add the antibody solution to the cell pellet, gently resuspend the cells
Antibody Staining of Ovaries 1. Dissect ovaries in EBR 2. Transfer ovaries into an Eppendorf tube and add 100 µl devitellinizing buffer and 600-µl heptane 3. Agitate gently for 10 minutes
技术资料暂无技术资料 索取技术资料











