相关产品推荐更多 >
万千商家帮你免费找货
0 人在求购买到急需产品
- 详细信息
- 询价记录
- 文献和实验
- 技术资料
- 免疫原:
Recombinant full-length human WT1 protein
- 亚型:
IgG1, Kappa
- 形态:
Liquid
- 保存条件:
Store as concentrated solution. Centrifuge briefly prior to opening vial. For short-term storage (1-2 weeks), store at 4℃. For long-term storage, aliquot and store at -20℃ or below. Avoid multiple freeze-thaw cycles.
- 克隆性:
Monoclonal
- 标记物:
Unconjugated
- 适应物种:
Human, Mouse, Rat
- 保质期:
12 months from the shipping date of the product.
- 抗原来源:
Human
- 目录编号:
GTX35174
- 级别:
Primary Antibodies
- 库存:
Available
- 供应商:
GeneTex
- 宿主:
Mouse
- 应用范围:
IHC-P
- 浓度:
0.2 mg/ml(Please refer to the vial label for the specific concentration.)
- 靶点:
Wilms Tumor 1
- 抗体英文名:
Wilms Tumor 1 antibody [WT1/857]
- 抗体名:
Wilms Tumor 1 抗体 [WT1/857]
- 规格:
100 μg
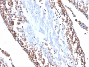
IHC-P analysis of human testis tissue using GTX35174 Wilms Tumor 1 antibody [WT1/857].
IHC-P analysis of human mesothelioma tissue using GTX35174 Wilms Tumor 1 antibody [WT1/857].
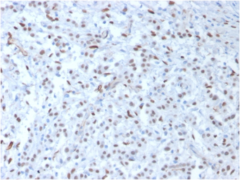
IHC-P analysis of rat testis tissue using GTX35174 Wilms Tumor 1 antibody [WT1/857].
风险提示:丁香通仅作为第三方平台,为商家信息发布提供平台空间。用户咨询产品时请注意保护个人信息及财产安全,合理判断,谨慎选购商品,商家和用户对交易行为负责。对于医疗器械类产品,请先查证核实企业经营资质和医疗器械产品注册证情况。
- 作者
- 内容
- 询问日期
文献和实验a subset of genomic DNA sequences of type 5'-(NNN )3 -3', whereas the 6ZF library would recognize a subset of genomic sequences of type 5'-(NNN )6 -3'. Given the zinc-finger domains used, both libraries were more likely to recognize (RNN)x -type sequences
:varicella zoster virus,水痘带状疱疹病毒 WT:Wilms tumor,肾母细胞瘤 Xerostomia:口腔干燥症
less frequently. DISORDERS Common dysfunctions of the endocrine system are classified as hypofunction and hyperfunction, inflammation, and tumor. Adrenal hypofunction Adrenal hypofunction is classified as primary or secondary
技术资料暂无技术资料 索取技术资料











