相关产品推荐更多 >
万千商家帮你免费找货
0 人在求购买到急需产品
- 详细信息
- 文献和实验
- 技术资料
- 免疫原:
von Willebrand Factor isolated from human plasma
- 亚型:
IgG1
- 形态:
Liquid
- 保存条件:
Store as concentrated solution. Centrifuge briefly prior to opening vial. For short-term storage (1-2 weeks), store at 4ºC. For long-term storage, aliquot and store at -20ºC or below. Avoid multiple freeze-thaw cycles.
- 克隆性:
Monoclonal
- 标记物:
Unconjugated
- 适应物种:
Human
- 保质期:
12 months from the shipping date of the product.
- 抗原来源:
Human
- 目录编号:
GTX35171
- 级别:
Primary Antibodies
- 库存:
Available
- 供应商:
GeneTex
- 宿主:
Mouse
- 应用范围:
IHC-P
- 浓度:
0.2 mg/ml (Please refer to the vial label for the specific concentration.)
- 靶点:
VWF
- 抗体英文名:
VWF antibody [F8/86]
- 抗体名:
VWF 抗体 [F8/86]
- 规格:
100 μg
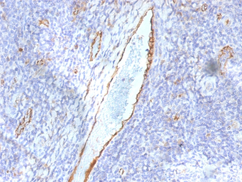
IHC-P analysis of human tonsil tissue using GTX35171 VWF antibody [F8/86].
风险提示:丁香通仅作为第三方平台,为商家信息发布提供平台空间。用户咨询产品时请注意保护个人信息及财产安全,合理判断,谨慎选购商品,商家和用户对交易行为负责。对于医疗器械类产品,请先查证核实企业经营资质和医疗器械产品注册证情况。
文献和实验Xu Y et al., Anticancer Res 2009 (PMID:20044623)
secondary antibody review -- data from 99 publications
cytometry used as a control to detect cell responses targeted antigen 7 Alexa Fluor 488 7 Cy3 8 goat IgG Alexa Fluor 488 1:2000 detect antibody binding in human embryonic kidney 293T cells Invitrogen 9 donkey
上海西唐生物科技有限公司 021-55229872, 65333639 www.westang.com 大鼠血管性血友病因子 (VWF)ELISA 试剂盒 ( 用于血清、血浆、细胞培养上清液和其它生物体液内 ) 原理 本实验采用双抗体夹心 ABC-ELISA 法。用抗大鼠 VWF 单抗包被于酶标板上,标准品和样品中的 VWF 与单抗结合,加入生物素化的抗大鼠 VWF ,形成免疫复合物连接在板上,辣根
上海西唐生物科技有限公司 021-55229872, 65333639 www.westang.com 小鼠血管性血友病因子 ( VWF )ELISA 试剂盒 ( 用于血清、血浆、细胞培养上清液和其它生物体液内 ) 原理 本实验采用双抗体夹心 ABC-ELISA 法。用抗小鼠 VWF 单抗包被于酶标板上,标准品和样品中的 VWF与单抗结合,加入生物素化的抗小鼠
技术资料暂无技术资料 索取技术资料





![CD45RO antibody [UCHL1]](https://img1.dxycdn.com/2022/0328/461/4153596208534500453-14.jpg!wh200)

![SND1 antibody [2D7]](https://img1.dxycdn.com/2022/0328/876/9883731783377500453-14.jpg!wh200)
![LRPAP1 antibody [009]](https://img1.dxycdn.com/2022/0328/865/3076681864338700453-14.png!wh200)
![EphB3 antibody [4A122D1]](https://img1.dxycdn.com/2022/0328/024/6854326842247500453-14.jpg!wh200)

