相关产品推荐更多 >
万千商家帮你免费找货
0 人在求购买到急需产品
- 详细信息
- 文献和实验
- 技术资料
- 免疫原:
Synthetic 17 amino acid peptide from C-terminus of human DRD4 / Dopamine Receptor D4.
- 亚型:
IgG
- 形态:
Liquid
- 保存条件:
Store as concentrated solution. Centrifuge briefly prior to opening vial. For short-term storage (1-2 weeks), store at 4ºC. For long-term storage, aliquot and store at -20ºC or below. Avoid multiple freeze-thaw cycles.
- 克隆性:
Polyclonal
- 标记物:
Unconjugated
- 适应物种:
Human, Monkey
- 保质期:
12 months from the shipping date of the product.
- 抗原来源:
Human
- 目录编号:
GTX71827
- 级别:
Primary Antibodies
- 库存:
Available
- 供应商:
GeneTex
- 宿主:
Rabbit
- 应用范围:
IHC-P
- 浓度:
1 mg/ml (Please refer to the vial label for the specific concentration.)
- 靶点:
Dopamine Receptor D4
- 抗体英文名:
Dopamine Receptor D4 antibody
- 抗体名:
Dopamine Receptor D4 抗体
- 规格:
25 μg
IHC-P analysis of brain, hippocampus, dentate gyrus tissue using GTX71827 Dopamine Receptor D4 antibody.
IHC-P analysis of human brain, glioblastoma tissue using GTX71827 Dopamine Receptor D4 antibody.
Antigen retrieval : Heat-induced antigen retrieval
IHC-P analysis of human ovary, carcinoma tissue using GTX71827 Dopamine Receptor D4 antibody.
Antigen retrieval : Heat-induced antigen retrieval
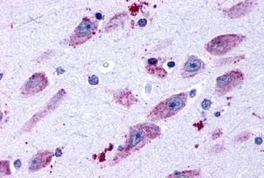
IHC-P analysis of human brain, neurons and glia tissue using GTX71827 Dopamine Receptor D4 antibody.
Antigen retrieval : Heat-induced antigen retrieval
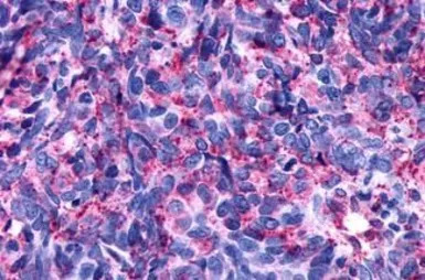
IHC-P analysis of human lung, small cell carcinoma tissue using GTX71827 Dopamine Receptor D4 antibody.
Antigen retrieval : Heat-induced antigen retrieval
风险提示:丁香通仅作为第三方平台,为商家信息发布提供平台空间。用户咨询产品时请注意保护个人信息及财产安全,合理判断,谨慎选购商品,商家和用户对交易行为负责。对于医疗器械类产品,请先查证核实企业经营资质和医疗器械产品注册证情况。
文献和实验Genomic Strategies for the Identification of Dopamine Receptor Genes in Zebrafish
In this chapter, we describe the identification and cloning of D2-like dopamine receptor (DR) genes in zebrafish, a vertebrate model genetic organism. To identify DR genes, we performed searches of the zebrafish genomic sequence database
Transcription Mechanisms for Dopamine Receptor Genes
pharmacologic observations in parkinsonian and schizophrenic patients, the D2 dopamine receptor has traditionally been thought to be the main mediator of the motor and behavioral effects of dopamine (1 ,6 ). More recent molecular and neurophysiologic advances
Dopamine Receptor Binding and Quantitative Autoradiographic Study
of neuropsychiatric disorders such as schizophrenia and Parkinson’s disease. Until 1990, the dopamine receptor population in the brain and periphery was believed to consist of two subtypes, D1 and D2 , which were distinguished by their pharmacology and coupling
技术资料暂无技术资料 索取技术资料





![Alkaline Phosphatase (Tissue Non-Specific) antibody [2F4]](https://img1.dxycdn.com/2022/0328/924/5965897950323500453-14.jpg!wh200)





