相关产品推荐更多 >
万千商家帮你免费找货
0 人在求购买到急需产品
- 详细信息
- 文献和实验
- 技术资料
- 免疫原:
KLH conjugated synthetic peptide derived from human SEMA3A. Please contact us for the exact immunogen sequence.
- 亚型:
IgG
- 形态:
Liquid
- 保存条件:
Store as concentrated solution. Centrifuge briefly prior to opening vial. For short-term storage (1-2 weeks), store at 4ºC. For long-term storage, aliquot and store at -20ºC or below. Avoid multiple freeze-thaw cycles.
- 克隆性:
Polyclonal
- 标记物:
Unconjugated
- 适应物种:
Human, Mouse, Rat
- 保质期:
12 months from the shipping date of the product.
- 抗原来源:
Human
- 目录编号:
GTX37550
- 级别:
Primary Antibodies
- 库存:
Available
- 供应商:
GeneTex
- 宿主:
Rabbit
- 应用范围:
WB, IHC-P, IHC-Fr
- 浓度:
0.5 mg/ml (Please refer to the vial label for the specific concentration.)
- 靶点:
Semaphorin 3A
- 抗体英文名:
Semaphorin 3A antibody
- 抗体名:
Semaphorin 3A 抗体
- 规格:
100 μg
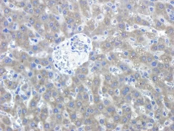
IHC-P analysis of rat liver tissue using GTX37550 Semaphorin 3A antibody.
Dilution : 1:100
WB analysis of rat lung (Lane 1), rat brain (Lane 2), mouse brain (Lane 3),rat kidney (Lane 4), rat skin (Lane 5), human breast cancer (Lane 6) tissue lysates using GTX37550 Semaphorin 3A antibody.
Dilution : 0.5μg/ml
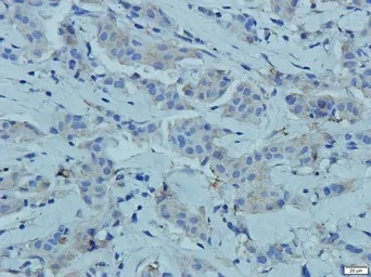
IHC-P analysis of human breast cancer tissue using GTX37550 Semaphorin 3A antibody.
Dilution : 2.5μg/ml
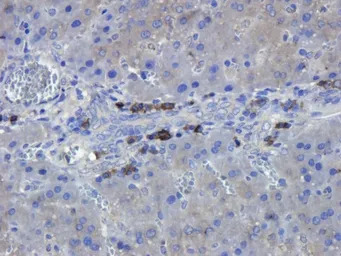
IHC-Fr analysis of mouse lung tissue using GTX37550 Semaphorin 3A antibody.
Dilution : 1:200
IHC-P analysis of rat liver tissue using GTX37550 Semaphorin 3A antibody.
Dilution : 1:200
风险提示:丁香通仅作为第三方平台,为商家信息发布提供平台空间。用户咨询产品时请注意保护个人信息及财产安全,合理判断,谨慎选购商品,商家和用户对交易行为负责。对于医疗器械类产品,请先查证核实企业经营资质和医疗器械产品注册证情况。
文献和实验Hu R et al., PeerJ 2022 (PMID:35990904)
Sabag AD et al., Immunol Res 2019 (PMID:30613859)
上海西唐生物科技有限公司 021-55229872, 65333639 www.westang.com 大鼠 Sema3A(Sema3A)ELISA 试剂盒 原理 本实验采用双抗体夹心 ABC-ELISA 法。用抗大鼠 Sema3A 单抗包被于酶标板上,标准品和样品中的 Sema3A 与单抗结合,加入生物素化的抗大鼠 Sema3A ,形成免疫复合物连接在板上,辣根过氧化物酶标记的 Streptavidin 与生物素结合
人补体C3a (C3a)ELISA 试剂盒 ( 用于血清、血浆、细胞培养上清液和其它生物体液内 ) 原理 本实验采用双抗体夹心 ABC-ELISA 法。用抗人 C3a 单抗包被于酶标板上,标准品和样品中的 C3a与单抗结合,加入生物素化的抗人 C3a ,形成免疫复合物连接在板上,辣根过氧化物酶标记的 Streptavidin 与生物素结合,加入
上海西唐生物科技有限公司 021-55229872, 65333639 www.westang.com 小鼠补体C3a (C3a)ELISA 试剂盒 ( 用于血清、血浆、细胞培养上清液和尿液、唾液生物体液内 ) 原理 本实验采用双抗体夹心 ABC-ELISA 法。用抗小鼠 C3a 单抗包被于酶标板上,标准品和样品中的 C3a与单抗结合,加入生物素化的抗小鼠 C3a
技术资料暂无技术资料 索取技术资料





![Fibronectin antibody [2F4]](https://img1.dxycdn.com/2022/0328/997/8791050548223500453-14.jpg!wh200)



![Glutamine synthetase antibody [GT7711]](https://img1.dxycdn.com/2022/0329/114/2344925683395020453-14.jpg!wh200)

