相关产品推荐更多 >
万千商家帮你免费找货
0 人在求购买到急需产品
- 详细信息
- 文献和实验
- 技术资料
- 免疫原:
A hexadecapeptide corresponding to aa115-130 (NGVELRDNQLVVPSEG) of human TNF- , conjugated to thyroglobulin
- 亚型:
IgM
- 形态:
Liquid
- 保存条件:
Store as concentrated solution. Centrifuge briefly prior to opening vial. For short-term storage (1-2 weeks), store at 4ºC. For long-term storage, aliquot and store at -20ºC or below. Avoid multiple freeze-thaw cycles.
- 克隆性:
Monoclonal
- 标记物:
Unconjugated
- 适应物种:
Human, Mouse, Rat, Zebrafish, Rabbit, Cat, Dog
- 保质期:
12 months from the shipping date of the product.
- 抗原来源:
Human
- 目录编号:
GTX35133
- 级别:
Primary Antibodies
- 库存:
Available
- 供应商:
GeneTex
- 宿主:
Mouse
- 应用范围:
ICC/IF, IHC-P, FACS
- 浓度:
0.2 mg/ml (Please refer to the vial label for the specific concentration.)
- 靶点:
TNF alpha
- 抗体英文名:
TNF alpha antibody [P/T2]
- 抗体名:
TNF alpha 抗体 [P/T2]
- 规格:
100 μg
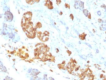
IHC-P analysis of human pancreas tissue using GTX35133 TNF alpha antibody [P/T2].
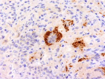
IHC-P analysis of human erdheim-chester disease (also known as polyostotic sclerosing histiocytosis) tissue using GTX35133 TNF alpha antibody [P/T2].
风险提示:丁香通仅作为第三方平台,为商家信息发布提供平台空间。用户咨询产品时请注意保护个人信息及财产安全,合理判断,谨慎选购商品,商家和用户对交易行为负责。对于医疗器械类产品,请先查证核实企业经营资质和医疗器械产品注册证情况。
文献和实验【求助】有什么办法可以阻滞LPS刺激的TNF-alpha分泌?
sonny_zan 我实验的关键步骤,现在就是不知道有什么办法可以阻滞LPS刺激后PBMC分泌TNF-alpha,考虑过用p38 MAPK抑制剂SB203580,后来查到一篇文献说SB203580对LPS刺激后p38 MAPK的活性影响甚微或无。 请各位大侠给点意见啦!我快急死了~~~ xiongran 拿抗体把PBMC表面的TLR4封闭掉试试看! pureclear 可以考虑
LABELING ALPHA-ACTININ WITH IATR
of injection buffer)and reading OD555. D/P = {OD555 x 41 / 60,000} / {(mg/ml)/ 100,000} 13.Dilute to 5 mg/ml for microinjection if necessary.Extra conjugated alpha-actinin can be stored as aliquots in liquid N2.
ALPHA FACTOR ARREST AND RELEASE
of approximately 3 x 10�5 M, while bar1 strains require much lower pheromone concentrations (10-8 M). To release cells from alpha factor arrest, spin down cells and wash twice (using a large volume, dependent on the size of the cell pellet anticipated
技术资料暂无技术资料 索取技术资料








![SSU72 antibody [AT45E2]](https://img1.dxycdn.com/2022/0328/934/6350952303550800453-14.jpg!wh200)
![GRASP1 antibody [N3C2], Internal](https://img1.dxycdn.com/2022/0328/656/9543442745064300453-14.jpg!wh200)

