相关产品推荐更多 >
万千商家帮你免费找货
0 人在求购买到急需产品
- 详细信息
- 文献和实验
- 技术资料
- 免疫原:
Recombinant human full-length TGF alpha protein
- 亚型:
IgG1
- 形态:
Liquid
- 保存条件:
Store as concentrated solution. Centrifuge briefly prior to opening vial. For short-term storage (1-2 weeks), store at 4ºC. For long-term storage, aliquot and store at -20ºC or below. Avoid multiple freeze-thaw cycles.
- 克隆性:
Monoclonal
- 标记物:
Unconjugated
- 适应物种:
Human
- 保质期:
12 months from the shipping date of the product.
- 抗原来源:
Human
- 目录编号:
GTX35107
- 级别:
Primary Antibodies
- 库存:
Available
- 供应商:
GeneTex
- 宿主:
Mouse
- 应用范围:
IHC-P
- 浓度:
0.2 mg/ml (Please refer to the vial label for the specific concentration.)
- 靶点:
This antibody reacts with the C-terminus of TGF alpha and shows no cross-reaction with EGF and the neuropeptide synenkephalin.
- 抗体英文名:
TGF alpha antibody [TGFA/1119]
- 抗体名:
TGF alpha 抗体 [TGFA/1119]
- 规格:
100 μg
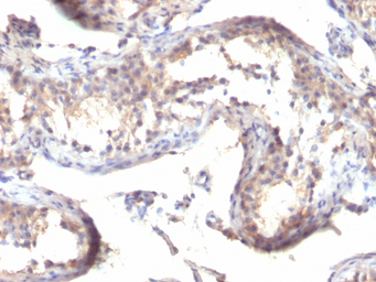
IHC-P analysis of human testicular carcinoma tissue using GTX35107 TGF alpha antibody [TGFA/1119].
风险提示:丁香通仅作为第三方平台,为商家信息发布提供平台空间。用户咨询产品时请注意保护个人信息及财产安全,合理判断,谨慎选购商品,商家和用户对交易行为负责。对于医疗器械类产品,请先查证核实企业经营资质和医疗器械产品注册证情况。
文献和实验In situ hybridisation to alpha satellite sequences (chromosome specific)
Alpha satellite sequences, whilst highly repetitive, are specific to each individual chromosome. These sequences flank the centromeres and can present a target measured in megabases. In this protocol a biotin or digoxigenin labelled DNA
secondary antibody review -- data from 99 publications
cytometry used as a control to detect cell responses targeted antigen 7 Alexa Fluor 488 7 Cy3 8 goat IgG Alexa Fluor 488 1:2000 detect antibody binding in human embryonic kidney 293T cells Invitrogen 9 donkey
上海西唐生物科技有限公司 021-55229872, 65333639 www.westang.com 狗转化生长因子 - b 1(TGF- b 1)ELISA 试剂盒 原理 本实验采用双抗体夹心 ABC-ELISA 法。用抗狗 TGF- b 1 单抗包被于酶标板上,标准品和样品中的 TGF- b 1 与单抗结合,加入生物素化的抗狗 TGF- b 1 ,形成免疫复合物连接在板上,辣根
技术资料暂无技术资料 索取技术资料





![Melan A antibody [M2-9E3]](https://img1.dxycdn.com/2022/0328/146/2809946994580700453-14.jpg!wh200)




