相关产品推荐更多 >
万千商家帮你免费找货
0 人在求购买到急需产品
- 详细信息
- 文献和实验
- 技术资料
- 免疫原:
Native UchL1 (PGP9.5) protein from brain
- 亚型:
IgG1
- 形态:
Liquid
- 保存条件:
Store as concentrated solution. Centrifuge briefly prior to opening vial. For short-term storage (1-2 weeks), store at 4ºC. For long-term storage, aliquot and store at -20ºC or below. Avoid multiple freeze-thaw cycles.
- 克隆性:
Monoclonal
- 标记物:
Unconjugated
- 适应物种:
Human, Mouse, Rat, Bovine, Pig
- 保质期:
12 months from the shipping date of the product.
- 目录编号:
GTX34970
- 级别:
Primary Antibodies
- 库存:
Available
- 供应商:
GeneTex
- 宿主:
Mouse
- 应用范围:
WB, ICC/IF, IHC-P
- 浓度:
0.2 mg/ml (Please refer to the vial label for the specific concentration.)
- 靶点:
PGP9.5
- 抗体英文名:
PGP9.5 antibody [SPM574]
- 抗体名:
PGP9.5 抗体 [SPM574]
- 规格:
100 μg
WB analysis of human brain tissue lysate using GTX34970 PGP9.5 antibody [SPM574].
IHC-P analysis of rat cerebellum tissue using GTX34970 PGP9.5 antibody [SPM574].
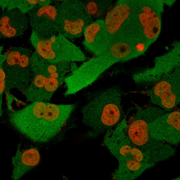
ICC/IF analysis of T98G cells using GTX34970 PGP9.5 antibody [SPM574].
Green : Primary antibody
Red : nucleus
风险提示:丁香通仅作为第三方平台,为商家信息发布提供平台空间。用户咨询产品时请注意保护个人信息及财产安全,合理判断,谨慎选购商品,商家和用户对交易行为负责。对于医疗器械类产品,请先查证核实企业经营资质和医疗器械产品注册证情况。
文献和实验Introduction to Atomic Force Microscopy (AFM) in Biology
Dammer, U., Hegner, M., Anselmetti, D., Wagner, P., Dreier, M., Huber, W., and Guntherodt, H.J. 1996. Specific antigen/antibody interactions measured by force microscopy. Biophys. J. 70:2437‐2441.
Measurement of Oxygen Radicals and Lipid Peroxidation in Neural Tissues
: dissolve 5 g of dry non‐fat milk in TBS (see recipe ) to a final volume of 100 ml Primary antibody for 4‐HNE, rabbit anti‐hydroxynonenal (HNE) (Alpha Diagnostics International cat. no. HNE
. Ferre‐D'Amare, A.R., Zhou, K., and Doudna, J.A. 1998. Crystal structure of a hepatitis delta virus ribozyme. Nature 395:567‐574.
技术资料暂无技术资料 索取技术资料







![Rb antibody [RB1/1754]](https://img1.dxycdn.com/2022/0328/964/9457842174501700453-14.jpg!wh200)
![Tyrosinase antibody [T311]](https://img1.dxycdn.com/2022/0328/549/6073967001058300453-14.jpg!wh200)


