相关产品推荐更多 >
万千商家帮你免费找货
0 人在求购买到急需产品
- 详细信息
- 询价记录
- 文献和实验
- 技术资料
- 免疫原:
Human recombinant p21 protein
- 亚型:
IgG1
- 形态:
Liquid
- 保存条件:
Store as concentrated solution. Centrifuge briefly prior to opening vial. For short-term storage (1-2 weeks), store at 4ºC. For long-term storage, aliquot and store at -20ºC or below. Avoid multiple freeze-thaw cycles.
- 克隆性:
Monoclonal
- 标记物:
Unconjugated
- 适应物种:
Human, Mouse, Rat, Monkey, Chimpanzee
- 保质期:
12 months from the shipping date of the product.
- 抗原来源:
Human
- 目录编号:
GTX34925
- 级别:
Primary Antibodies
- 库存:
Available
- 供应商:
GeneTex
- 宿主:
Mouse
- 应用范围:
ICC/IF, IHC-P, FACS
- 浓度:
0.2 mg/ml (Please refer to the vial label for the specific concentration.)
- 靶点:
This MAb recognizes a 21kDa protein, identified as the p21WAF1 tumor suppressor protein. It is highly specific to p21 and shows no cross-reaction with other closely related mitotic inhibitors.
- 抗体英文名:
p21 Cip1 antibody [HJ21]
- 抗体名:
p21 Cip1 抗体 [HJ21]
- 规格:
100 μg
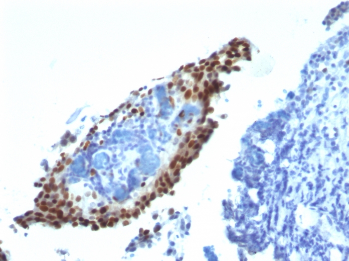
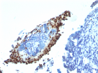
IHC-P analysis of bladder carcinoma tissue using GTX34925 p21 Cip1 antibody [HJ21].
风险提示:丁香通仅作为第三方平台,为商家信息发布提供平台空间。用户咨询产品时请注意保护个人信息及财产安全,合理判断,谨慎选购商品,商家和用户对交易行为负责。对于医疗器械类产品,请先查证核实企业经营资质和医疗器械产品注册证情况。
- 作者
- 内容
- 询问日期
文献和实验Analysis of p21CDKN1A Recruitment to DNA Excision Repair Foci in the UV-Induced DNA Damage Response
The cyclin-dependent kinase (CDK) inhibitor p21CDKN1A (also known as p21waf1/cip1 ) is a well known player of the G1 and G2 phase cell cycle checkpoints, which are activated in response to DNA damage. In addition, p21 interacts directly
-induced responses, including a down-regulation of the cyclin-dependent kinase (Cdk2) inhibitors p21CIP1 and p27KIP1 , while attachment to P-L-L did not. We conclude that engagement of the FN-receptor integrin α5β1 induces integrin signaling regulating
Quantification of Cell Cycle-Arresting Proteins
blockage is mainly mediated by the persistent upregulation of one or more cyclin-dependent kinase inhibitors (CKIs), including (though not limited to) p16 INK4A and p21 CIP1 and p27 KIP1 . CKIs operate by binding to cyclin-dependent kinases (CDKs
技术资料暂无技术资料 索取技术资料





![CD80 antibody [EPR1157(2)]](https://img1.dxycdn.com/2022/0329/995/1853194452565020453-14.jpg!wh200)


![CD45 antibody [X16/99]](https://img1.dxycdn.com/2022/0328/786/6779290187977700453-14.jpg!wh200)


