相关产品推荐更多 >
万千商家帮你免费找货
0 人在求购买到急需产品
- 详细信息
- 文献和实验
- 技术资料
- 免疫原:
Crude neurofilament preparation from porcine spinal cord
- 亚型:
IgG
- 形态:
Liquid
- 保存条件:
Store as concentrated solution. Centrifuge briefly prior to opening vial. For short-term storage (1-2 weeks), store at 4ºC. For long-term storage, aliquot and store at -20ºC or below. Avoid multiple freeze-thaw cycles.
- 克隆性:
Monoclonal
- 标记物:
Unconjugated
- 适应物种:
Human, Rat, Bovine, Chicken, Pig
- 保质期:
12 months from the shipping date of the product.
- 抗原来源:
Pig
- 目录编号:
GTX34902
- 级别:
Primary Antibodies
- 库存:
Available
- 供应商:
GeneTex
- 宿主:
Mouse
- 应用范围:
ICC/IF, IHC-P, FACS
- 浓度:
0.2 mg/ml (Please refer to the vial label for the specific concentration.)
- 靶点:
NF-L
- 抗体英文名:
NF-L antibody [NR-4]
- 抗体名:
NF-L 抗体 [NR-4]
- 规格:
100 μg
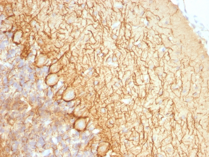
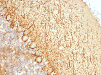
IHC-P analysis of rat cerebellum tissue using GTX34902 NF-L antibody [NR-4].
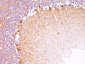
IHC-P analysis of human cerebellum tissue using GTX34902 NF-L antibody [NR-4].
FACS analysis of HEK293 cells using GTX34902 NF-L antibody [NR-4].
Blue : Primary antibody
Red : Isotype control
ICC/IF analysis of HEK293 cells using GTX34902 NF-L antibody [NR-4].
Green : Primary antibody
Red : Phalloidin
风险提示:丁香通仅作为第三方平台,为商家信息发布提供平台空间。用户咨询产品时请注意保护个人信息及财产安全,合理判断,谨慎选购商品,商家和用户对交易行为负责。对于医疗器械类产品,请先查证核实企业经营资质和医疗器械产品注册证情况。
文献和实验secondary antibody review -- data from 99 publications
cytometry used as a control to detect cell responses targeted antigen 7 Alexa Fluor 488 7 Cy3 8 goat IgG Alexa Fluor 488 1:2000 detect antibody binding in human embryonic kidney 293T cells Invitrogen 9 donkey
Immunohistochemistry / Immunocytochemistry Procedures
In these techniques an antibody is used to link a cellular antigen specifically to a stain that can be more readily seen with a microscope. Detection of antigens in tissues is known as
Studying Wound Repair in the Mouse
2 , or protocol 3 Normal goat serum (NGS; Vector Laboratories, cat. no. S1000) Anti‐cytokeratin 6 antibody (Abcam, cat. no. ab24646
技术资料暂无技术资料 索取技术资料








![HIF2 alpha antibody [N1N3]](https://img1.dxycdn.com/2022/0328/718/8832031954425200453-14.jpg!wh200)


