相关产品推荐更多 >
万千商家帮你免费找货
0 人在求购买到急需产品
- 详细信息
- 文献和实验
- 技术资料
- 免疫原:
A synthetic peptide of 29 amino acids, KYPTTTPISTTTMVTPTPTPTGTQTPTTT from MUC2 protein, coupled to KLH.
- 亚型:
IgG1
- 形态:
Liquid
- 保存条件:
Store as concentrated solution. Centrifuge briefly prior to opening vial. For short-term storage (1-2 weeks), store at 4ºC. For long-term storage, aliquot and store at -20ºC or below. Avoid multiple freeze-thaw cycles.
- 克隆性:
Monoclonal
- 标记物:
Unconjugated
- 适应物种:
Human
- 保质期:
12 months from the shipping date of the product.
- 目录编号:
GTX34864
- 级别:
Primary Antibodies
- 库存:
Available
- 供应商:
GeneTex
- 宿主:
Mouse
- 应用范围:
IHC-P
- 浓度:
0.2 mg/ml (Please refer to the vial label for the specific concentration.)
- 靶点:
Recognizes a single glycoprotein of 520kDa, identified as mucin 2 (MUC2). This MAb shows no cross-reaction with human milk fat globule membranes, MUC1, or MUC3. Its epitope has been defined as GTQTP (GlyThrGlnThrPro).
- 抗体英文名:
MUC2 antibody [CCP58]
- 抗体名:
MUC2 抗体 [CCP58]
- 规格:
100 μg
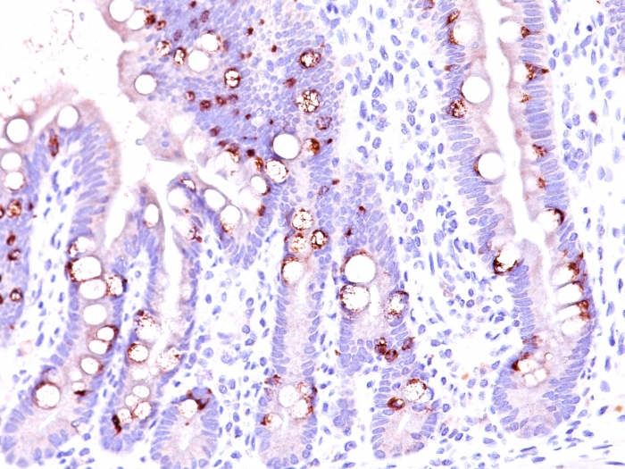
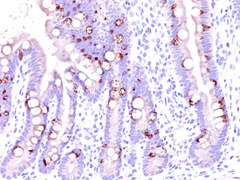
IHC-P analysis of human intestine tissue using GTX34864 MUC2 antibody [CCP58].
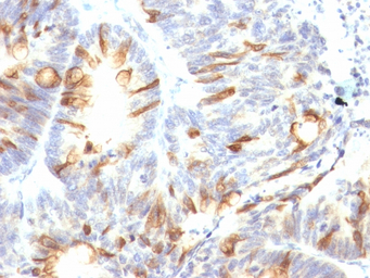
IHC-P analysis of human colon carcinoma tissue using GTX34864 MUC2 antibody [CCP58].
风险提示:丁香通仅作为第三方平台,为商家信息发布提供平台空间。用户咨询产品时请注意保护个人信息及财产安全,合理判断,谨慎选购商品,商家和用户对交易行为负责。对于医疗器械类产品,请先查证核实企业经营资质和医疗器械产品注册证情况。
文献和实验secondary antibody review -- data from 99 publications
cytometry used as a control to detect cell responses targeted antigen 7 Alexa Fluor 488 7 Cy3 8 goat IgG Alexa Fluor 488 1:2000 detect antibody binding in human embryonic kidney 293T cells Invitrogen 9 donkey
淋巴系细胞有B细胞和 T细胞两个系列,其中 B细胞是抗体形成细胞前体( antibody- forming cellprecursor),在胞膜表面具有以单一特异性抗体作为抗原受体,一旦与抗原结合就直接或借助于 T细胞进行增殖分化,结果成为高速度合成和分泌具有与受体同样特异性抗体的细胞,这些细胞总称为抗体形成细胞。 IgG抗体(免疫球蛋白 G), IgA抗体, IgE抗体(或许 IgD抗体)是在浆细胞内形成的。形成 IgG的浆细胞在脾及淋巴结等末梢淋巴系组织和肠粘膜固有膜和肺间质等全身
Antidiv (YA3498) (HY-P80983) www.medchemexpress.cn/antibody/cdx2-antibody.html 可用于结直肠癌组织的免疫组化分析 MUC2 Antidiv (YA5899) (HY-P86207) www.medchemexpress.cn/antibody/muc2-antibody-ya5899.html 可用于结直肠癌组织的免疫组化分析 SATB2 Antidiv (YA842) (HY-P80958) www.medchemexpress
技术资料暂无技术资料 索取技术资料





![ZNF703 antibody [GT372]](https://img1.dxycdn.com/2022/0329/939/3601984045895020453-14.jpg!wh200)


![ZFP57 antibody [GT1115]](https://img1.dxycdn.com/2022/0329/636/0934386650606020453-14.jpg!wh200)


