相关产品推荐更多 >
万千商家帮你免费找货
0 人在求购买到急需产品
- 详细信息
- 文献和实验
- 技术资料
- 免疫原:
Recombinant human hCDC47 protein
- 亚型:
IgG1
- 形态:
Liquid
- 保存条件:
Store as concentrated solution. Centrifuge briefly prior to opening vial. For short-term storage (1-2 weeks), store at 4ºC. For long-term storage, aliquot and store at -20ºC or below. Avoid multiple freeze-thaw cycles.
- 克隆性:
Monoclonal
- 标记物:
Unconjugated
- 适应物种:
Human
- 保质期:
12 months from the shipping date of the product.
- 抗原来源:
Human
- 目录编号:
GTX34821
- 级别:
Primary Antibodies
- 库存:
Available
- 供应商:
GeneTex
- 宿主:
Mouse
- 应用范围:
WB, ICC/IF, IHC-P, FACS
- 浓度:
0.2 mg/ml (Please refer to the vial label for the specific concentration.)
- 靶点:
MCM7
- 抗体英文名:
MCM7 antibody [SPM379]
- 抗体名:
MCM7 抗体 [SPM379]
- 规格:
100 μg
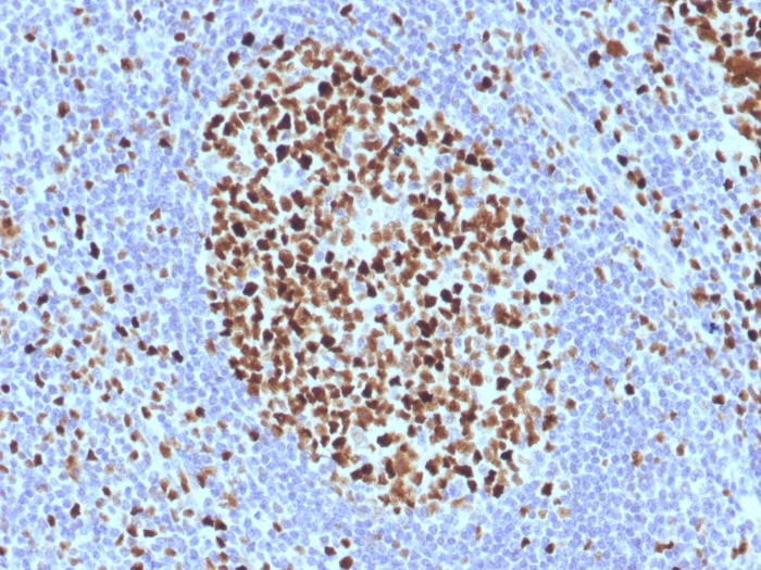
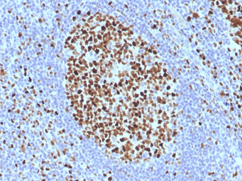
IHC-P analysis of human tonsil tissue using GTX34821 MCM7 antibody [SPM379].
WB analysis of MCF-7, HEK-293, A549, SKBr3, HepG2 lysates using GTX34821 MCM7 antibody [SPM379].
风险提示:丁香通仅作为第三方平台,为商家信息发布提供平台空间。用户咨询产品时请注意保护个人信息及财产安全,合理判断,谨慎选购商品,商家和用户对交易行为负责。对于医疗器械类产品,请先查证核实企业经营资质和医疗器械产品注册证情况。
文献和实验some words about how to improve your research ability
it, it's better use a known working antibody to a expessing stable protein,like CDK7,MCM7, never at the begining working with your own target protein. And I think, ponceau S staning is very important, from that, you know if you are suceesful boltted
Performing RNAi Experiments in Animals
hepatocytes for a period of 10 days. This treatment protected hepatocytes from Fas antibody and concanavalin A stimulated apoptosis, and protected mice from fulminant hepatitis [4]. Similarly, hydrodynamic tail vein injection of a caspase 8 siRNA protected
Western Blot with Platelet Protein
OUTLINE Western blot is a wide used technique to identify a target protein/s for the certain antibody. PROTOCOL Prepare platelets. Lyse washed platelets (109 platelets/ml) with 1ml of ice-cold complete
技术资料暂无技术资料 索取技术资料









![Human Papillomavirus type 16 E7 antibody [6F3]](https://img1.dxycdn.com/2022/0328/035/0991945889982500453-14.jpg!wh200)

