相关产品推荐更多 >
万千商家帮你免费找货
0 人在求购买到急需产品
- 详细信息
- 文献和实验
- 技术资料
- 免疫原:
Recombinant human GCDFP-15 protein fragment (around aa 41-146) (exact sequence is proprietary)
- 亚型:
IgG2a
- 形态:
Liquid
- 保存条件:
Store as concentrated solution. Centrifuge briefly prior to opening vial. For short-term storage (1-2 weeks), store at 4ºC. For long-term storage, aliquot and store at -20ºC or below. Avoid multiple freeze-thaw cycles.
- 克隆性:
Monoclonal
- 标记物:
Unconjugated
- 适应物种:
Human
- 保质期:
12 months from the shipping date of the product.
- 抗原来源:
Human
- 目录编号:
GTX34753
- 级别:
Primary Antibodies
- 库存:
Available
- 供应商:
GeneTex
- 宿主:
Mouse
- 应用范围:
WB, ICC/IF, IHC-P, FACS, Protein Array
- 浓度:
0.2 mg/ml (Please refer to the vial label for the specific concentration.)
- 靶点:
GCDFP15
- 抗体英文名:
GCDFP15 antibody [PIP/1571]
- 抗体名:
GCDFP15 抗体 [PIP/1571]
- 规格:
100 μg
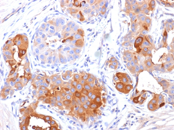
IHC-P analysis of human breast carcinoma tissue using GTX34753 GCDFP15 antibody [PIP/1571].
Analysis of Protein Array containing more than 19,000 full-length human proteins using GCDFP-15 (PIP) Mouse Monoclonal Antibody (PIP/1571). Z- and S- Score: The Z-score represents the strength of a signal that a monoclonal antibody produces when binding to a particular protein on the HuProtTM array. Z-scores are described in units of standard deviations (SD’s) above the mean value of all signals generated on that array. If targets on HuProtTM are arranged in descending order of the Z-score, the S-score is the difference (also in units of SD’s) between the Z-score. S-score therefore represents the relative target specificity of a Monoclonal Antibody to its intended target. A Monoclonal Antibody is considered to specific to its intended target if the Monoclonal Antibody has an S-score of at least 2.5. For example, if a Monoclonal Antibody binds to protein X with a Z-score of 43 and to protein Y with a Z-score of 14, then the S-score for the binding of that Monoclonal Antibody to protein X is equal to 29.
WB analysis of (A) human pancreas (B) HepG2 cell lysates using GTX34753 GCDFP15 antibody [PIP/1571].
风险提示:丁香通仅作为第三方平台,为商家信息发布提供平台空间。用户咨询产品时请注意保护个人信息及财产安全,合理判断,谨慎选购商品,商家和用户对交易行为负责。对于医疗器械类产品,请先查证核实企业经营资质和医疗器械产品注册证情况。
文献和实验人骨成型蛋白-15 ( BMP-15 )ELISA 试剂盒 ( 用于血清、血浆、细胞培养上清液和尿液、骨组织裂解物生物体液内 ) 原理 本实验采用双抗体夹心 ABC-ELISA 法。用抗人 BMP-15 单抗包被于酶标板上,标准品和样品中的 BMP-15与单抗结合,加入生物素化的抗人 BMP-15 ,形成免疫复合物连接在板上,辣根过氧化物酶标记的 Streptavidin 与生物素结合,加入底物
上海西唐生物科技有限公司 021-55229872, 65333639 www.westang.com 大鼠白介素 -15(IL-15)ELISA 试剂盒 ( 用于血清、血浆、细胞培养上清液和其它生物体液内 ) 原理 本实验采用双抗体夹心 ABC-ELISA 法。用抗大鼠 IL-15 单抗包被于酶标板上,标准品和样品中的 IL-15 与单抗结合,加入生物素化的抗大鼠 IL-15 ,形成免疫复合物连接
人生长分化因子-15(GDF-15)ELISA试剂盒 说明书
上海西唐生物科技有限公司 021-55229872, 65333639 www.westang.com 人生长分化因子-15 ( GDF-15 )ELISA 试剂盒 ( 用于血清、血浆、细胞培养上清液和其它生物体液内 ) 原理 本实验采用双抗体夹心 ABC-ELISA 法。用抗人 GDF-15 单抗包被于酶标板上,标准品和样品中的 GDF-15与单抗结合,加入生物
技术资料暂无技术资料 索取技术资料






![PFKFB4 antibody [N3C3]](https://img1.dxycdn.com/2022/0328/567/8806488773916200453-14.jpg!wh200)




