相关产品推荐更多 >
万千商家帮你免费找货
0 人在求购买到急需产品
- 详细信息
- 文献和实验
- 技术资料
- 免疫原:
Recombinant full-length human gamma catenin protein
- 亚型:
IgG1
- 形态:
Liquid
- 保存条件:
Store as concentrated solution. Centrifuge briefly prior to opening vial. For short-term storage (1-2 weeks), store at 4ºC. For long-term storage, aliquot and store at -20ºC or below. Avoid multiple freeze-thaw cycles.
- 克隆性:
Monoclonal
- 标记物:
Unconjugated
- 适应物种:
Human
- 保质期:
12 months from the shipping date of the product.
- 抗原来源:
Human
- 目录编号:
GTX34752
- 级别:
Primary Antibodies
- 库存:
Available
- 供应商:
GeneTex
- 宿主:
Mouse
- 应用范围:
WB, ICC/IF, IHC-P, FACS
- 浓度:
0.2 mg/ml (Please refer to the vial label for the specific concentration.)
- 靶点:
gamma Catenin
- 抗体英文名:
gamma Catenin antibody [CTNG/1664]
- 抗体名:
gamma Catenin 抗体 [CTNG/1664]
- 规格:
100 μg
ICC/IF analysis of PFA-fixed MCF-7 cells using GTX34752 gamma Catenin antibody [CTNG/1664].
Green : Primary antibody
Red : nucleus
IHC-P analysis of human prostate carcinoma tissue using GTX34752 gamma Catenin antibody [CTNG/1664].
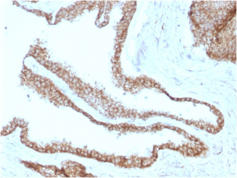
IHC-P analysis of human cervical carcinoma tissue using GTX34752 gamma Catenin antibody [CTNG/1664].
风险提示:丁香通仅作为第三方平台,为商家信息发布提供平台空间。用户咨询产品时请注意保护个人信息及财产安全,合理判断,谨慎选购商品,商家和用户对交易行为负责。对于医疗器械类产品,请先查证核实企业经营资质和医疗器械产品注册证情况。
文献和实验。 如果beta-catenin抗体不好使,或者EGFP太大影响定位的话,还可以构建Flag标签类载体,转染细胞,加入药物,用抗Flag抗体免疫荧光检测,荧光显微镜下观察就好了。 wangjh28 但按照事先的推测,处理了以后会下调该基因的表达 我觉得科学不能有事先的推测的结果,这样容易受思维定势的影响,而忽略了新发现 dongreyuan 我打算用SAB的β-catenin(Ab-37)Antibody,说明
secondary antibody review -- data from 99 publications
cytometry used as a control to detect cell responses targeted antigen 7 Alexa Fluor 488 7 Cy3 8 goat IgG Alexa Fluor 488 1:2000 detect antibody binding in human embryonic kidney 293T cells Invitrogen 9 donkey
祝贺〖雅裕睿安〗成为Signalway Antibody(SAB)独家
antibody unconjugated; 货号21337,产品描述:GAPDH Antibody;规格 50 ul / 100 ul; 货号3052,产品描述:Rabbit anti-Human IgG secondary antibody HRP conjugated; 货号300904050,产品描述:One-Hour Western kit,10 ml / bottle x 3;
技术资料暂无技术资料 索取技术资料











