相关产品推荐更多 >
万千商家帮你免费找货
0 人在求购买到急需产品
- 详细信息
- 文献和实验
- 技术资料
- 免疫原:
Recombinant human Galectin-13 protein fragment (aa23-134)
- 亚型:
IgG2b
- 形态:
Liquid
- 保存条件:
Store as concentrated solution. Centrifuge briefly prior to opening vial. For short-term storage (1-2 weeks), store at 4ºC. For long-term storage, aliquot and store at -20ºC or below. Avoid multiple freeze-thaw cycles.
- 克隆性:
Monoclonal
- 标记物:
Unconjugated
- 适应物种:
Human
- 保质期:
12 months from the shipping date of the product.
- 抗原来源:
Human
- 目录编号:
GTX34747
- 级别:
Primary Antibodies
- 库存:
Available
- 供应商:
GeneTex
- 宿主:
Mouse
- 应用范围:
WB, ICC/IF, IHC-P, FACS
- 浓度:
0.2 mg/ml (Please refer to the vial label for the specific concentration.)
- 靶点:
Galectin 13
- 抗体英文名:
Galectin 13 antibody [PP13/1161]
- 抗体名:
Galectin 13 抗体 [PP13/1161]
- 规格:
100 μg
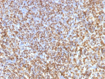
IHC-P analysis of human placenta tissue using GTX34747 Galectin 13 antibody [PP13/1161].
IHC-P analysis of human spleen tissue using GTX34747 Galectin 13 antibody [PP13/1161].
WB analysis of (A) recombinant human Galectin-13 fragment and (B) K562 cell lysates using GTX34747 Galectin 13 antibody [PP13/1161].
风险提示:丁香通仅作为第三方平台,为商家信息发布提供平台空间。用户咨询产品时请注意保护个人信息及财产安全,合理判断,谨慎选购商品,商家和用户对交易行为负责。对于医疗器械类产品,请先查证核实企业经营资质和医疗器械产品注册证情况。
文献和实验上海西唐生物科技有限公司 021-55229872, 65333639 www.westang.com 人sCD13 (sCD13)ELISA 试剂盒 ( 用于血清、血浆、细胞培养上清液和其它生物体液内 ) 原理 本实验采用双抗体夹心 ABC-ELISA 法。用抗人 sCD13 单抗包被于酶标板上,标准品和样品中的 sCD13与单抗结合,加入生物素化的抗人 sCD13 ,形成
大鼠Caspase-13(Caspase-13)ELISA试剂盒 说明书
上海西唐生物科技有限公司 021-55229872, 65333639 www.westang.com 大鼠 Caspase-13(Caspase-13)ELISA 试剂盒 ( 用于血清、血浆、细胞培养上清液和其它生物体液内 ) 原理 本实验采用双抗体夹心 ABC-ELISA 法。用抗大鼠 Caspase-13 单抗包被于酶标板上,标准品和样品中的 Caspase-13 与单抗结合,加入生物素化的抗大
Buffer and save the flowthrough.(12) Wash with 6 ml Buffer A, 6 ml Buffer B, and 6 ml Buffer A. Hold at room temperature for 30 minutes.(13) Wash with 6 ml Buffer B, 6 ml Buffer A, and 6 ml Buffer B. Wash with Storage Buffer and hold at 4°C.(14) To purify
技术资料暂无技术资料 索取技术资料





![TRP1 antibody [TYRP1/2340R]](https://img1.dxycdn.com/2022/0328/655/1764610780889700453-14.jpg!wh200)





