相关产品推荐更多 >
万千商家帮你免费找货
0 人在求购买到急需产品
- 详细信息
- 文献和实验
- 技术资料
- 免疫原:
A synthetic peptide (around aa 20-60) from the N-terminus of human TACSTD1 protein
- 亚型:
IgG1
- 形态:
Liquid
- 保存条件:
Store as concentrated solution. Centrifuge briefly prior to opening vial. For short-term storage (1-2 weeks), store at 4ºC. For long-term storage, aliquot and store at -20ºC or below. Avoid multiple freeze-thaw cycles.
- 克隆性:
Monoclonal
- 标记物:
Unconjugated
- 适应物种:
Human
- 保质期:
12 months from the shipping date of the product.
- 抗原来源:
Human
- 目录编号:
GTX34704
- 级别:
Primary Antibodies
- 库存:
Available
- 供应商:
GeneTex
- 宿主:
Mouse
- 应用范围:
WB, ICC/IF, IHC-P, FACS
- 浓度:
0.2 mg/ml (Please refer to the vial label for the specific concentration.)
- 靶点:
We do not recommend use of this product for Mouse,Rat.
- 抗体英文名:
EpCAM antibody [EGP40/826]
- 抗体名:
EpCAM 抗体 [EGP40/826]
- 规格:
100 μg
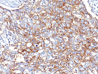
IHC-P analysis of human breast carcinoma tissue using GTX34704 EpCAM antibody [EGP40/826].
ICC/IF analysis of SK-OV-3 cells using GTX34704 EpCAM antibody [EGP40/826].
Green : Primary antibody
Red : Actin
Blue : DAPI
风险提示:丁香通仅作为第三方平台,为商家信息发布提供平台空间。用户咨询产品时请注意保护个人信息及财产安全,合理判断,谨慎选购商品,商家和用户对交易行为负责。对于医疗器械类产品,请先查证核实企业经营资质和医疗器械产品注册证情况。
文献和实验STM:广州医科大学刘铭/谢茂彬合作发现肝细胞癌的新潜在治疗靶点 Claudin 6
组于 Science Translational Medicine 杂志(STM)在线发表题为 Targeting tumor lineage plasticity in hepatocellular carcinoma using an anti-CLDN6 antibody-drug conjugate 的研究论文。这项研究揭示了细胞紧密连接(tight junction)蛋白 Claudin 6 通过调控肝癌细胞的谱系可塑性(lineage plasticity),促进肝癌进展与耐药的机制,并初步报道
Encapsulation of Cardiomyocytes in a Fibrin Hydrogel for Cardiac Tissue Engineering
0.2 micron filter Fisher Scientific SCGVT05RE Construct 40 micron cell strainers Fisher Scientific
。[37] 使用这种方法,可以检测活小鼠胃肠道内重组的发光沙门氏菌的定殖和不同的喂食物质对其的影响。[38] 肿瘤研究 与药物功效研究相同,肿瘤的生长与转移,可以通过活体中注射BL重组肿瘤细胞,再成像进行监测。[39] 另一种方式,初期的肿瘤和不确定的转移可以通过使用基因工程的发光细胞作为探针进行定位。[40] a human colon carcinoma xenograft 模式中已经开始使用双标记,一个标记检测特定基因的转录活性,另一个组成性表达,作为一个内参照物。[41] 细胞
技术资料暂无技术资料 索取技术资料







![Collagen IV antibody [MSVA-704R] HistoMAX](https://custom.dxycdn.com/trademd/upload/pic/2013/11/12/A1383891150.jpg!small.t.1)



