相关产品推荐更多 >
万千商家帮你免费找货
0 人在求购买到急需产品
- 详细信息
- 文献和实验
- 技术资料
- 免疫原:
Subcellular fraction of human alveolar macrophages
- 亚型:
IgG1
- 形态:
Liquid
- 保存条件:
Store as concentrated solution. Centrifuge briefly prior to opening vial. For short-term storage (1-2 weeks), store at 4ºC. For long-term storage, aliquot and store at -20ºC or below. Avoid multiple freeze-thaw cycles.
- 克隆性:
Monoclonal
- 标记物:
Unconjugated
- 适应物种:
Human, Rabbit, Cat, Monkey
- 保质期:
12 months from the shipping date of the product.
- 抗原来源:
Human
- 目录编号:
GTX34543
- 级别:
Primary Antibodies
- 库存:
Available
- 供应商:
GeneTex
- 宿主:
Mouse
- 应用范围:
ICC/IF, IHC-P, FACS
- 浓度:
0.2 mg/ml (Please refer to the vial label for the specific concentration.)
- 靶点:
We do not recommend use of this product for Chicken,Dog,Pig.
- 抗体英文名:
CD68 antibody [SPM130]
- 抗体名:
CD68 抗体 [SPM130]
- 规格:
100 μg
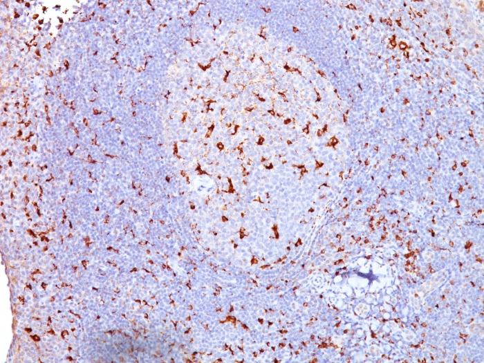
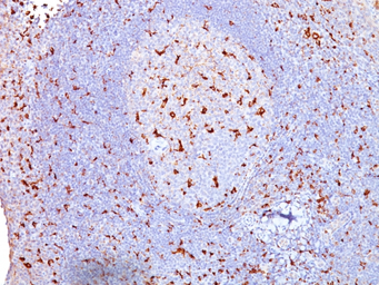
IHC-P analysis of human tonsil tissue using GTX34543 CD68 antibody [SPM130].
风险提示:丁香通仅作为第三方平台,为商家信息发布提供平台空间。用户咨询产品时请注意保护个人信息及财产安全,合理判断,谨慎选购商品,商家和用户对交易行为负责。对于医疗器械类产品,请先查证核实企业经营资质和医疗器械产品注册证情况。
文献和实验Hwang JC et al., Sci Adv 2022 (PMID:36103536)
Antibody Staining of Ovaries 1. Dissect ovaries in EBR 2. Transfer ovaries into an Eppendorf tube and add 100 µl devitellinizing buffer and 600-µl heptane 3. Agitate gently for 10 minutes
secondary antibody review -- data from 99 publications
cytometry used as a control to detect cell responses targeted antigen 7 Alexa Fluor 488 7 Cy3 8 goat IgG Alexa Fluor 488 1:2000 detect antibody binding in human embryonic kidney 293T cells Invitrogen 9 donkey
: 对于FcR高表达,或具有Fc高亲和性的细胞,例如髓系细胞系等,建议实验中添加FcR阻断剂,用于减少非特异反应;此外,对于检测或分析表达水平较低的表面抗原物时,也建议进行Fc阻断,以提高检测特异性。或处理复杂样本或复杂panel时,为了避免可能造成的非特异反应,也可尝试进行FcR阻断,以获得准确实验结果。 美天旎生物技术公司FcR阻断剂(130-059-901和130-092-575)开学大促,为您的实验增加一份准确度。 [1] Chiu ML, Goulet DR, Teplyakov
技术资料暂无技术资料 索取技术资料






![TNF Receptor II antibody [R204]](https://img1.dxycdn.com/2022/0328/247/5231840397488700453-14.jpg!wh200)
![6X His tag antibody [3H2201]](https://img1.dxycdn.com/2022/0329/803/4520521646844020453-14.jpg!wh200)



