相关产品推荐更多 >
万千商家帮你免费找货
0 人在求购买到急需产品
- 详细信息
- 文献和实验
- 技术资料
- 免疫原:
Purified LRP1
- 亚型:
IgG1
- 形态:
Liquid
- 保存条件:
Store as concentrated solution. Centrifuge briefly prior to opening vial. For short-term storage (1-2 weeks), store at 4ºC. For long-term storage, aliquot and store at -20ºC or below. Avoid multiple freeze-thaw cycles.
- 克隆性:
Monoclonal
- 标记物:
Unconjugated
- 适应物种:
Human
- 保质期:
12 months from the shipping date of the product.
- 抗原来源:
Human
- 目录编号:
GTX75655
- 级别:
Primary Antibodies
- 库存:
Available
- 供应商:
GeneTex
- 宿主:
Mouse
- 应用范围:
WB, ICC/IF, IHC-Fr, FACS, IP, ELISA
- 浓度:
1.0 mg/ml (Please refer to the vial label for the specific concentration.)
- 靶点:
This antibody detects an epitope within the LRP515 chain of LRP1 (CD91).
- 抗体英文名:
LRP1 antibody [A2Mr alpha-2]
- 抗体名:
LRP1 抗体 [A2Mr alpha-2]
- 规格:
200 μg
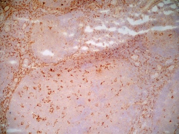
IHC-Fr analysis of human tonsil tissue using GTX75655 LRP1 antibody, red in A and Mouse anti Human CD21, clone LB21 GTX74728, green in B. C is the merged image with nuclei counterstained blue using DAPI.
IHC-Fr analysis of human tonsil tissue using GTX75655 LRP1 antibody [A2Mr alpha-2].
IHC-Fr analysis of human tonsil tissue using GTX75655 LRP1 antibody [A2Mr alpha-2].
IHC-Fr analysis of human tonsil tissue using GTX75655 LRP1 antibody [A2Mr alpha-2].
IHC-Fr analysis of human tonsil tissue using GTX75655 LRP1 antibody, red in A and Mouse anti Human CD21, clone LB21 GTX74728, green in B. C is the merged image with nuclei counterstained blue using DAPI.
IHC-Fr analysis of human tonsil tissue using GTX75655 LRP1 antibody [A2Mr alpha-2].
IHC-Fr analysis of human tonsil tissue using GTX75655 LRP1 antibody, red in A and Mouse anti Human CD21, clone LB21 GTX74728, green in B. C is the merged image with nuclei counterstained blue using DAPI.
风险提示:丁香通仅作为第三方平台,为商家信息发布提供平台空间。用户咨询产品时请注意保护个人信息及财产安全,合理判断,谨慎选购商品,商家和用户对交易行为负责。对于医疗器械类产品,请先查证核实企业经营资质和医疗器械产品注册证情况。
文献和实验大鼠腺苷 A2b 受体 (A2b R)ELISA 试剂盒 ( 用于血清、血浆、细胞培养上清液和其它生物体液内 ) 原理 本实验采用双抗体夹心 ABC-ELISA 法。用抗大鼠 A2b R 单抗包被于酶标板上,标准品和样品中的 A2b R 与单抗结合,加入生物素化的抗大鼠 A2b R ,形成免疫复合物连接在板上,辣根过氧化物酶标记的 Streptavidin 与生物素结合,加入底物工作液显蓝色,最后加终止液硫酸
In situ hybridisation to alpha satellite sequences (chromosome specific)
Alpha satellite sequences, whilst highly repetitive, are specific to each individual chromosome. These sequences flank the centromeres and can present a target measured in megabases. In this protocol a biotin or digoxigenin labelled DNA
人整合素a2b1(Integrin a2b1)ELISA试剂盒 说明书
第一抗体工作液( Biotinylated Antibody ) 12ml 终止液 (Stop Solution ) 12ml 准备试剂与收集血样 1. 收集标本:血清、血浆(EDTA )、细胞培养上清液、组织匀浆等尽早检测, 2-8 ℃ 保存48 小时;更长时间须
技术资料暂无技术资料 索取技术资料






![C5a R1 antibody [S5/1]](https://img1.dxycdn.com/2022/0328/522/1581005275164500453-14.jpg!wh200)
![MMP3 antibody [N1], N-term](https://img1.dxycdn.com/2022/0328/026/5184144822483200453-14.jpg!wh200)
![UBE2L6 antibody [k1H3]](https://img1.dxycdn.com/2022/0328/457/8289453791220500453-14.jpg!wh200)


