相关产品推荐更多 >
万千商家帮你免费找货
0 人在求购买到急需产品
- 详细信息
- 文献和实验
- 技术资料
- 免疫原:
Recombinant human Alpha-1-Antitrypsin (AAT) protein fragment
- 亚型:
IgG1
- 形态:
Liquid
- 保存条件:
Store as concentrated solution. Centrifuge briefly prior to opening vial. For short-term storage (1-2 weeks), store at 4ºC. For long-term storage, aliquot and store at -20ºC or below. Avoid multiple freeze-thaw cycles.
- 克隆性:
Monoclonal
- 标记物:
Unconjugated
- 适应物种:
Human
- 保质期:
12 months from the shipping date of the product.
- 抗原来源:
Human
- 目录编号:
GTX34404
- 级别:
Primary Antibodies
- 库存:
Available
- 供应商:
GeneTex
- 宿主:
Mouse
- 应用范围:
WB, IHC-P
- 浓度:
0.2 mg/ml (Please refer to the vial label for the specific concentration.)
- 靶点:
alpha 1 Antitrypsin
- 抗体英文名:
alpha 1 Antitrypsin antibody [AAT/1379]
- 抗体名:
alpha 1 Antitrypsin 抗体 [AAT/1379]
- 规格:
100 μg
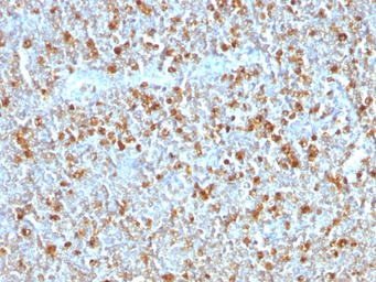
IHC-P analysis of human tonsil tissue using GTX34404 alpha 1 Antitrypsin antibody [AAT/1379].
风险提示:丁香通仅作为第三方平台,为商家信息发布提供平台空间。用户咨询产品时请注意保护个人信息及财产安全,合理判断,谨慎选购商品,商家和用户对交易行为负责。对于医疗器械类产品,请先查证核实企业经营资质和医疗器械产品注册证情况。
文献和实验[资源] 所有的看家基因(housekeeping genes)列表+引物设计服务
acyltransferase, alpha) (AGPAT1), mRNA 742 NM_021134 Homo sapiens mitochondrial ribosomal protein L23 (MRPL23), mRNA 771 NM_021974 Homo sapiens polymerase (RNA) II (DNA directed) polypeptide F (POLR2F), mRNA 1169 NM_006808 Homo sapiens protein
【资源】全面归类网址:毕赤酵母表达各种来源蛋白(细菌,真菌,植物,人类等)
, functional524Antibody: single-chain Fv-Fc fusionsS, 4 mg/L, active525Antibody: catalytic scFvS, α-MF, 4 mg/L, activeAntibody: Fab (against atrazine)S, α-MF, 40 mg/L, active530Antithrombinactiveα1-antitrypsin (α1-AT)S, inulinase signal sequence[198]β2
and alveolar edema, which is evident in dependent lung areas and can be visualized as whitened areas on chest X-rays. Alveolar closing pressure then exceeds pulmonary pressures, and alveolar closure and collapse begin. In ARDS, fluid accumulation
技术资料暂无技术资料 索取技术资料









![THAP11 antibody [3F3]](https://img1.dxycdn.com/2022/0328/647/7521262087327500453-14.jpg!wh200)

